噛み合わせ検査についてパート1
みんな知らない、噛み合わせ検査の重要性

今回は、ワイズデンタルキュアに相談に来られた、「虫歯と受け口について」のお話しです。
————
何度も何度も歯医者に、通い続けている20代の女性です。
歯を磨いているのに、治療にもよく通っているのに、どんどん、虫歯でかぶせる歯が大きくなり、近いうちに歯がなくなるんだろうな。
って思っていたと。
————
それは、真面目に歯医者に通い治療を受けていたが故にすごいお悩みだったと思います。
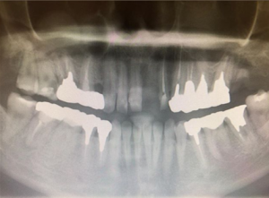
これが、そのエックス線画像。

白いところは人工物。金属です。薄い白いのが神経を取った後。
これは、よくある保険での治療です。
そして、患者さんの主訴は、前歯の歯並びが上下逆になっていること。

いわゆる反対咬合という下の顎が出ているような状態です。
そしてまず、これが現在の直接的な問題点。

ここの赤丸のところがすごく虫歯になっていそうです。。。
そして、特筆すべきは先ほど紹介した、エックス線画像である。
上下の奥歯・右も左もすべて銀歯。みーんな銀歯。つまり、この患者さんに与えられている噛み合わせは、元からではなく、担当した歯科医師が作ったものと。考えられる。
凄いことに歯科医師が治療を進める事に、どんどんシャクレ(受け口)になっていった。
