セラミックで仕上げる歯並び、令和では平面が大事!
こんにちは、ワイズデンタルキュアです。
セラミックにて歯並び修正をするポイントの一つ、
平面についてお話します。

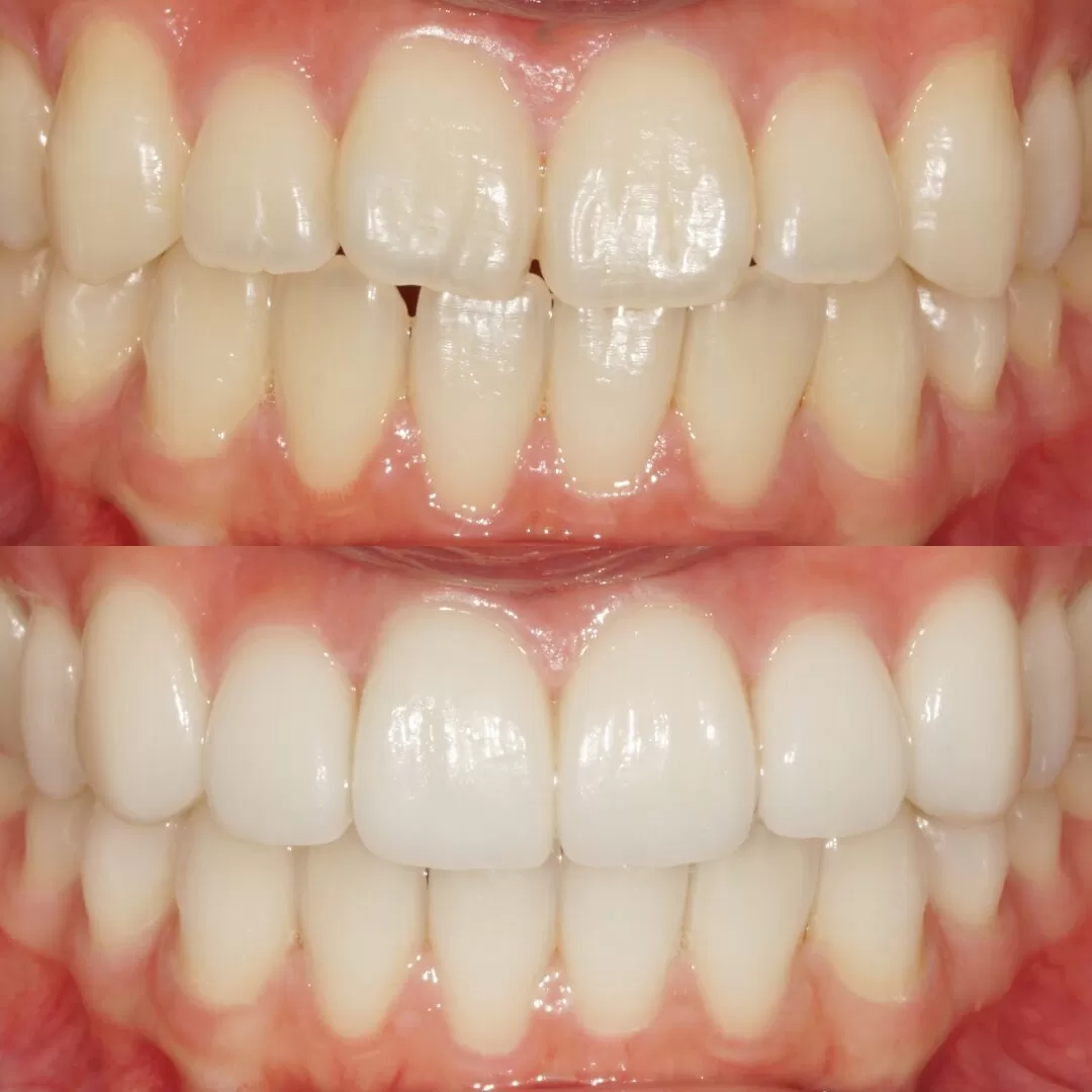
上の状態を下の状態に仕上げました。
大事なのは平面なのです。下を見てください。

このようなことを大事にして修正をしているのです。

平面計測はこのようにします。
瞳孔線を目安にして上の顎の歪み、下の顎の歪みを把握してセラミックを作成します。

歯を削ったところを平面計測、この情報があればお顔に対してまっすぐな
歯並びが作れるのです。

何気ないことですが、平面が歪んでいると違和感を感じます。
2025.05.14 セラミック, 審美歯科, 無料検査・カウンセリング, 顎関節
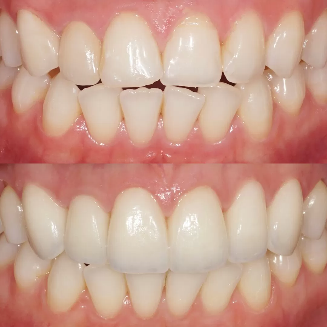
黄金比をセラミック治療に生かす。
こんにちは、ワイズデンタルキュアです。
黄金比というものをご存じですか?
たくさんの自然物に隠された、1:1.618の比率です。
我々はこの比率を、歯の技工物にサイズ感の目安として使用しています。

見えている上の歯は、セラミックで作製した、かぶせ物です。
このような見え方の比率を目安にすることで、治療をしています。ときにこの比率を覆すケースもあるのですが、それはまたいずれお話いたします。
無料カウンセリングスケッチ⑤ 本当の治療計画
こんにちは、ワイズデンタルキュアです。
先日のカウンセリングの方の 前歯の7本セラミックの違和感なのですが

奥歯に原因があるとお話いたしました。

奥歯の噛み合わせの高さが違う
これが顎のズレにつながり、歯の真ん中もズレている
本当はどうしたらよいか
歯列矯正をして歪みを治したうえで前歯のセラミックの再調整です。

このように矯正とセラミックの融合が綺麗な歯並びを作ります。
監修者
日本歯科大学新潟歯学部(現・新潟生命歯学部)卒業後、勤務医として東京都渋谷区、北区で勤務、
2007年Y’s Dental Cure開院無料カウンセリングスケッチ④ 無理やりな改善
こんにちは、ワイズデンタルキュアです。
先日のこちらのスケッチですが

前歯をセラミックで作成しても変な形なのは奥歯のせいだとお話しました。
これを
時間的、期間的、現実的に大掛かりな治療を望まないのであれば
どちらかというと無理やりな改善となります。
それはこうです。

前歯の位置の悪い二本を抜くということです。
奥からブリッジと考えることが妥当です。
少々無理やりな改善となりますが、こういったご依頼に
落ち着く方も多いことも事実です。
では本当はどうしたらよいか、理想論をお話いたします。
東京都の矯正治療・セラミック治療専門審美歯科
『ワイズデンタルキュア東京』
住所:東京都豊島区目白3丁目4−11 Nckビル 3階
TEL:03-3953-8766無料カウンセリングスケッチ③ 出っ歯になってしまう
こんにちは、ワイズデンタルキュアです。
前歯を7本にてセラミックを使用した歯並び修正を試みていた患者さんの
お悩みカウンセリングです。

スケッチしてみました。
前歯に注目してください。真ん中から左右別物
特に向かって左は、外側に飛び出しています。
これはどうしてか?
これは奥歯の軸に起因しています。
赤い線をみてみてください。
右の軸は立っている
左の軸は倒れています。
これは前歯の角度に影響します。
では前歯をシンメトリーにするには、どうしたらいいのか?
お話します。
東京都の矯正治療・セラミック治療専門審美歯科
『ワイズデンタルキュア東京』
住所:東京都豊島区目白3丁目4−11 Nckビル 3階
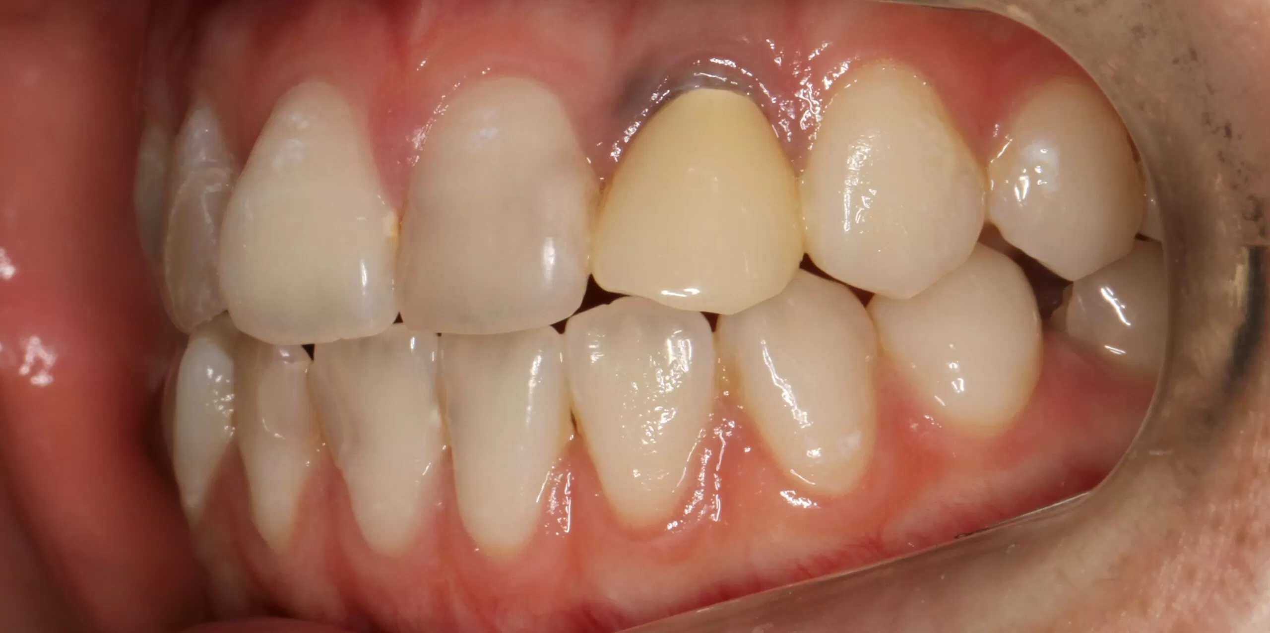
TEL:03-3953-8766無料カウンセリングスケッチ② セラミックを入れて歯茎が腫れている場合
こんにちは、ワイズデンタルキュアです。
前歯6本のセラミックでの歯並び修正をされた方。
なにやら歯茎の状態がよろしくないよう。腫れているとのこと。
印象としては、確かに赤い部分もあるなと思いました。
二軒の歯医者さんが、それに関して
バッドジョイント、つまりかぶせ物の合いが悪い
綺麗にピッタリ入ってないからだと診断したそうです。
しかしながらその見解は違うと思いました。
まあまあうまく入っていたのです。
じゃあなぜ腫れる部分ができたのか?

それは上の歯だけまっすぐにして、下の歯はガタガタで
歯のあたりが強いところが出来てしまっているのです。
あたりが強いところの歯茎は腫れます。
そもそも歯は上下で噛むもの
下がガタガタなら、上もガタガタ
それが正論です。
そういう時どうするのか?
こちらはウチの症例ですが

下の歯は歯並びが悪いままです。
本来は下のガタガタに合わせた上なのですから、この状態は
ある意味異常と言えます。
そのまま上の歯並び優先にすれば歯は揺らされ歯茎は腫れます。
これは表側が平で裏が下の歯並びにある程度合わせてあるということです。
このように上だけセラミックで整えるということも
まっすぐになればよいではなく、下との噛み合わせを
合わせるということをしないと当たりが強い部分と、弱い部分ができて
強い部分の歯が揺らされて、歯茎が腫れるということです。
今回のお悩みはまさに
木を見て森を見ずという診断を繰り返していた、ということになります。
セラミック矯正などと気軽にお話している方々がいますが
歯並びがガタガタの時よりも、無理やり整えた時の方が
セラミックでやるにせよ、歯列矯正にせよ
噛み合わせは悪くなることがある。
検査の元、行うことでそれは避けられるのです。
東京都の矯正治療・セラミック治療専門審美歯科
『ワイズデンタルキュア東京』
住所:東京都豊島区目白3丁目4−11 Nckビル 3階
TEL:03-3953-87662025.04.15 くいしばり, セラミック, セラミック矯正, 咬合, 噛み合わせ, 審美歯科, 歯列矯正, 無料検査・カウンセリング
無料カウンセリングスケッチ① 治療法は無限、ご本人の中にベストがある
こんにちは、ワイズデンタルキュアです。
今日の無料カウンセリングから、ご相談をご紹介します。
綺麗な透明感のある大きな前歯の女性。
しかしながら

向かって左側は半分ほど、虫歯の治療跡、
内部は黒くなって来ている。
ご要望は、隣の透明感のある綺麗な歯と全く同じ
前歯にしてほしいとのこと
ラミネートべニアで出来ませんか?と聞かれました。
見本となる向かって右側の歯は非常に綺麗なマメロン構造を持つ
透明感のある歯でした。
ある程度合わせることはできそうだが、まったくわからないと言われると
その後要望には内部構造からちゃんと製作する
クラウンのほうがよいと話しました。
が、しかし虫歯は幸い、マメロン構造が残っており、それならば
再度、CR充填で治されたら?とお話しましたが
色が変わるのが嫌だとのこと。
結果、できる限り削らないでクラウンとお勧めいたしました。
しかしながら、なぜこの部分だけに大きい虫歯ができるのかが
本当は論点。
そこに関しましてはお話いたしませんでしたが、多分に噛み合わせで
負荷が強いところです。
それならば歯列矯正も視野に入る。どこまでがベストなのか
というのは私たちは決められません。
正解はご自身にあるのです。
東京都の矯正治療・セラミック治療専門審美歯科
『ワイズデンタルキュア東京』
住所:東京都豊島区目白3丁目4−11 Nckビル 3階
TEL:03-3953-87662025.04.12 くいしばり, セラミック, 咬合, 噛み合わせ, 審美歯科, 歯列矯正, 無料検査・カウンセリング, 虫歯
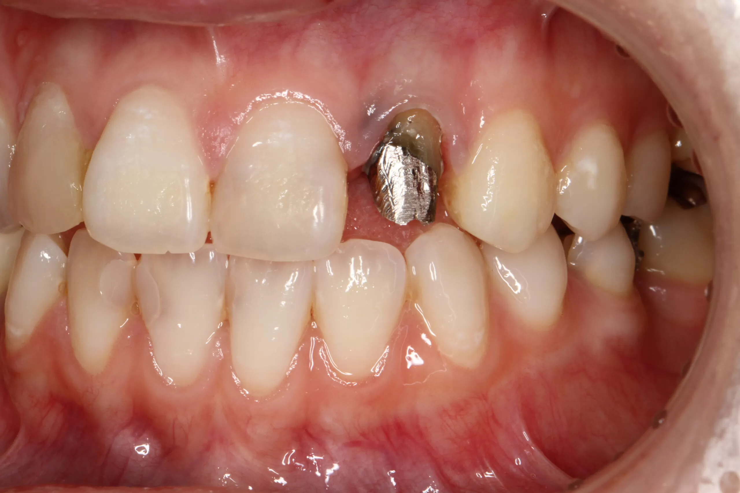
かぶせ物をしているところの歯茎、黒いんですけど?
こんにちは、ワイズデンタルキュアです。
かぶせ物の交換の理由に
歯茎が黒くなっていることがあります。

よく金属を使ったかぶせ物だからだ、色が透けているんだと言われますが
実際は

かぶせ物を外しても歯茎は黒いままです。
まあ内部に今はあまり使わないであろう、金属のコアが入っていますが
これはメタルタトゥと言われるものです。つまり入れ墨状態。
メタルコアを入れてから歯を削ったら、歯と一緒に金属も削れ
金属粉が出ます。
それが歯茎にかかり入れ墨になってしまうのです。
この場合は入れ墨のようにレーザーや、実質的に摘出しないと取れません。
東京都の矯正治療・セラミック治療専門審美歯科
『ワイズデンタルキュア東京』
住所:東京都豊島区目白3丁目4−11 Nckビル 3階
TEL:03-3953-87662025.04.10 セラミック, 審美歯科, 無料検査・カウンセリング, 虫歯
セラミックで前歯をデザイン勢に知っておいてほしいこと④ 前歯を後ろにすることで顎はどこにいく?
こんにちは、ワイズデンタルキュアです。
昨日前歯を内向きにすると、下の顎が後方に移動し噛む位置が変わってしまう
お話をいたしました。

前歯が内側傾斜するということは下の顎は自然に奥歯噛みの噛み合わせになります。
そうすると顎の関節は

大きい黒い丸が耳の穴です。
顎の関節は奥に移動して耳を圧迫します。
結果、頭痛、耳鳴り、めまい、難聴、くいしばりなどの症状がでる噛み合わせのなります。
顎関節症です。
上の前歯が適正位置の時は

下の顎は適正位置に行き

前方に来るのです。
これは教科書的な良い位置です。
前歯を美容目的だけで内向きにしようと考えると
このようなデメリットがあり、健康を害します。
こういうことをわかっていて美容と向き合うことと
知らないでなんとなくやっちゃうのでは随分話が違います。
2025.04.09 くいしばり, セラミック, 咬合, 噛み合わせ, 審美歯科, 無料検査・カウンセリング, 顎関節症
セラミックで前歯をデザイン勢に知っておいてほしいこと③ 内向きが歯列矯正でもおきる顎関節症の正体
こんにちは、ワイズデンタルキュアです。
先日、内向きの歯の模型を用意してみました。
まず、横から見やすいよう歯を半分外して前歯の当たり方をご覧ください。
前歯の正常な誘導の仕方でした。
さて内向きですとどうなるでしょう?
すでに噛ませた状態で、顎は後方移動しています。この状態のデメリットをお話しします。
どれだけ少々の傾斜の違いで力がかかるのかがわかるかと思います。
この力は顎関節を圧迫して、顎関節症を引き起こします。くいしばり、頭痛ももちろんです。
難聴さえ引き起こすのです。
セラミックはもちろん、誤った歯列矯正もこのようなかみ合わせになるのです。
ひっこめたいひっこめたいは、考えないとたいへんなこととなります。
2025.04.08 くいしばり, セラミック, 咬合, 噛み合わせ, 審美歯科, 歯列矯正, 無料検査・カウンセリング, 顎関節, 顎関節症
