顎関節症とはなにか?第一回 症状編①
顎関節症を顎がカクっとなる症状だけだと軽んじてませんか?
指がポキッと鳴らすことが得意な方もいると思います。
あれとは違うのです。
音を出しているのは軟骨。それはどういう状態なのか?
顎関節というのはこの赤い丸です。

次の動画を見てください。閲覧注意です。説明音声あります。
この動画は以前海外の先生にいただきました。もう20年くらい前です。
ほら、あまり呑気にできなくなったでしょ?
カクって音がする人~笑 大丈夫かな自分って思ってこないですか?
そうです。大丈夫じゃないのです。日々関節の軟骨はカクカクいう度
削れていってます。破損していってます。
ではふつうはどうなの?ってのを見てみましょう。
普通のというか、理想的な関節の動きをお見せするとこうです。
解剖学の動画なのでとってもリアルというかホンモノです。
説明していきます。

赤丸のところを動画の画像をキャプチャーして実線でなぞります。
正常な顎関節 閉じているところ

顎の関節は動画をみてもらえばわかる通り、
大きくお口を開けるとダイナミックに前進するよう
動く、体の中で3Dで動く唯一の関節です。
正常な関節 大きくお口を開けたところ

軟骨は青の線の関節窩と赤い線の関節頭の間を余裕持った幅で
存在できて、自由に機能しています。
改めてカクっと音がする関節を見てみてください。
それでは、カクっと音がする顎関節を実線を引いて説明します。

赤丸の部分です。


軟骨が存在できるスペースが恐ろしく狭くなっているのがわかりますか?
これが関節の圧迫です。
軟骨に実線を引いてみます。

関節窩と関節頭との間の軟骨はこんなに圧迫されペラペラ
本当はこんなに分厚いのに。

怖くないですか?こんなに顎の音が鳴るということは
怖いことなのです。
次回に続きます。
読んでいただきありがとうございました。
ご相談いつでもお受けしております。
ローンはスルガ銀行、
スルガ銀行は一年間元金据え置きローンもあるので、
月三千円代から歯列矯正ができます。
私たちはあなたの口元のコンプレックスのお悩みを解決します。
もう手でお口を隠して笑わなくてすみます。
メール相談大募集!
歯を白くしたい!歯並び!噛み合わせ!歯がない!虫歯!噛めない!
入れ歯とわからないようにしたい!
などなど、幅広くお答えします。
このような方、お気軽にご相談ください。ワイズは世間のイメージと違い
逆にお口が崩壊しているような
画像のような症例が得意です。
◇◇お気軽にLINE、メールでご相談ください。◇◇
歯並び、噛み合わせ、多発性の虫歯のお悩みは、
まずは各種オンライン相談で!
その方法は???
1.こちらのサイトのお問い合わせフォームから
お問い合わせいただく
https://ys-dentalcure.gd-demo-cfbx.net/
2.公式LINEから相談をいただく。
3.直接メールをいただく。
info@ys-dentalcure.gd-demo-cfbx.net
そのままお困りの内容をご記載ください。
お待ちしております。
□□□□□□□□□□□□□□□□□□□□□□□□□□□□□□□□□□□□□□□ご予約 お電話はこちらへ03-3953-8766
お問い合わせはこちらまでお願いします。
医療法人社団 デンタルキュア
ワイズデンタルキュア
https://ys-dentalcure.gd-demo-cfbx.net/info@ys-dentalcure.gd-demo-cfbx.net
東京都豊島区目白3-4-11目白NCKビル3F
お電話はこちらへ03-3953-8766
JR山手線 目白駅 徒歩1分
改札口から100メートルもありません!!
再度、日本人の歯を綺麗にする・・・・BIGIN the 綺麗 をテーマに再始動します!
⭐️⭐️⭐️⭐️ 歯周病の程度や、歯牙の崩壊、本数が少ない場合、虫歯のリスクの高い人、歯根吸収のリスクが高い人、リード楽器等歯で咥えて吹く楽器の奏者の人、糖尿病やリウマチ、血液疾患があり、治療が優先的ではない人、重度の顎関節症の人、心身衰弱の人、はホワイトニングや歯並びの治療は適応ではありません。
またセラミックによる歯牙形態修正、歯髄除去をした場合、使用方法、環境により歯牙自体の寿命が短くなる場合、以下の症状が発生する場合があります。
これらの症状の発生の有無及び程度は、ご自身の体質や、治療期間中の体調、ご自身の口腔内清掃の状態により異なります。
歯の痛み、虫歯、歯肉炎、口内炎、歯根吸収、顎関節の違和感、歯槽骨吸収、歯周病、アレルギー症状、歯肉退縮2022.03.17 セラミック, セラミック矯正, 受け口, 噛み合わせ, 審美歯科, 歯列矯正, 虫歯, 裏側矯正, 顎関節症
③他院のリカバリー。歯列矯正もやりかた次第です。
前回の続きとなります。
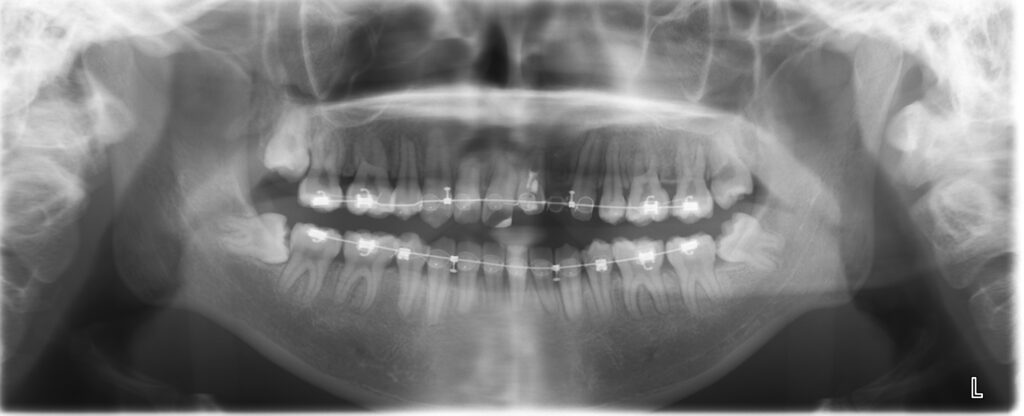
さて、かなりの骨や歯の根にダメージをもらうこととなってしまった、この患者さんです。

さてどのように治したのか?お話しします。
歯並びは一見いいんです。
上の噛み合わせ面

下の噛み合わせ面

並んではいますよね?しかしながら患者さんからは噛めないとのお話をいただいておりました。
その原因は、力を抜いた時の顎の位置を取らせていただくとわかります。
なぜなら顎は噛まなくともどうにか噛むように顎は3次元的に自由に動く関節。
前後左右動きますので、本来は顎の位置ってどこだ?ということには
このぽけーっとしているときの顎の位置を基準として考えます。
その位置から上下の歯をかみ合わせていくと
かまない!
そのあとズリっと顎をずらして噛んでいるのがわかります。

しかも歯の根がかなり溶けていて針金を外せば歯はグラグラ。
そこで提案は
まず、歯は繋がないと強度が保てない。固定をする。
噛み合わせを正すことも無駄な力の発生を防ぎ、歯の固定につながる。
それであるならいっそ、歯をある程度セラミックとして繋いで噛み合わせも
ズレをなくして噛ませたらどうか?
どのみち、前歯、奥歯共に治療跡が多く審美的ではない。

美容的欲求があればありかと提案させていただきました。

治療としてはこのエックス線で白く見えるところを分割もしながら
セラミックで噛み合わせと固定、そして美容的に治させていただきました。


噛み合わせも奥歯で高さを上げ、ズレを改善。
前歯の出ている感じも下の顎の位置の正し方で治しました。

前から見たところです。


噛み合わせ面から、治療前後をお見せします。上から。


下です。


今回このような形で治療は終わりましたが、結果としてよくても
実際は歯列矯正で済むはずだったはずです。
治療は、スタンダードな内容で行わないととんでもないことになる
という戒めとして理解してください。
読んでいただきありがとうございました。
ご相談いつでもお受けしております。
ローンはスルガ銀行、
スルガ銀行は一年間元金据え置きローンもあるので、
月三千円代から歯列矯正ができます。
私たちはあなたの口元のコンプレックスのお悩みを解決します。
もう手でお口を隠して笑わなくてすみます。
メール相談大募集!
歯を白くしたい!歯並び!噛み合わせ!歯がない!虫歯!噛めない!
入れ歯とわからないようにしたい!
などなど、幅広くお答えします。
このような方、お気軽にご相談ください。ワイズは世間のイメージと違い
逆にお口が崩壊しているような
画像のような症例が得意です。
◇◇お気軽にLINE、メールでご相談ください。◇◇
歯並び、噛み合わせ、多発性の虫歯のお悩みは、
まずは各種オンライン相談で!
その方法は???
1.こちらのサイトのお問い合わせフォームから
お問い合わせいただく
https://ys-dentalcure.gd-demo-cfbx.net/
2.公式LINEから相談をいただく。
3.直接メールをいただく。
info@ys-dentalcure.gd-demo-cfbx.net
そのままお困りの内容をご記載ください。
お待ちしております。
□□□□□□□□□□□□□□□□□□□□□□□□□□□□□□□□□□□□□□□ご予約 お電話はこちらへ03-3953-8766
お問い合わせはこちらまでお願いします。
医療法人社団 デンタルキュア
ワイズデンタルキュア
https://ys-dentalcure.gd-demo-cfbx.net/info@ys-dentalcure.gd-demo-cfbx.net
東京都豊島区目白3-4-11目白NCKビル3F
お電話はこちらへ03-3953-8766
JR山手線 目白駅 徒歩1分
改札口から100メートルもありません!!
再度、日本人の歯を綺麗にする・・・・BIGIN the 綺麗 をテーマに再始動します!
⭐️⭐️⭐️⭐️ 歯周病の程度や、歯牙の崩壊、本数が少ない場合、虫歯のリスクの高い人、歯根吸収のリスクが高い人、リード楽器等歯で咥えて吹く楽器の奏者の人、糖尿病やリウマチ、血液疾患があり、治療が優先的ではない人、重度の顎関節症の人、心身衰弱の人、はホワイトニングや歯並びの治療は適応ではありません。
またセラミックによる歯牙形態修正、歯髄除去をした場合、使用方法、環境により歯牙自体の寿命が短くなる場合、以下の症状が発生する場合があります。
これらの症状の発生の有無及び程度は、ご自身の体質や、治療期間中の体調、ご自身の口腔内清掃の状態により異なります。
歯の痛み、虫歯、歯肉炎、口内炎、歯根吸収、顎関節の違和感、歯槽骨吸収、歯周病、アレルギー症状、歯肉退縮②他院のリカバリー。歯列矯正もやりかた次第です。
今回は前回の続きです。
前回のワイズデンタルキュアブログです。
https://ys-dentalcure.gd-demo-cfbx.net/blog/3147
それでは昨日の歯列矯正をされて大失敗なされた方のお話の続きです。

このお方。
今日はエックス線とCTスキャンからなにが起きているのかお話します。

こちらがエックス線です。

赤く塗っているところが本来歯の根があったであろう場所です。
これ、この急速矯正の歯医者さん、普通の二倍の速度で終わるということを売りにしている
歯医者さんで失敗して歯の根が溶けちゃったんです。
それでは解説いたしますので動画をご覧ください↓
という状態です。
強い力すぎる歯列矯正はこうなります。
歯列矯正は歯の根と骨に影響を与えるのだということに気が付かないとなりません。
セラミックは自分の歯を削るから~ダメとかではなく、
セラミックで前歯を整えることは歯にダメージを与えることもある。
歯列矯正で歯並びを整えることは骨と歯の根にダメージを与えることもある。
どのみち綺麗になる整う代わりのデメリットがあるのです。
錬金術というものは、何かを失い何かを得る。という考え方だそうです。
何かを得るなら、何かを失う、すべては自然の理なんです。
それでも得るものに魅力を感じるのならば得ることのほうに意義があるのです。
今回失ったものの動画です。しかしながらこれは失いすぎだと思います。ご説明しています↓
さて次回はここからどのように治したのか?というお話です。
続く。
ご相談いつでもお受けしております。
ローンはスルガ銀行、
スルガ銀行は一年間元金据え置きローンもあるので、
月三千円代から歯列矯正ができます。
私たちはあなたの口元のコンプレックスのお悩みを解決します。
もう手でお口を隠して笑わなくてすみます。
メール相談大募集!
歯を白くしたい!歯並び!噛み合わせ!歯がない!虫歯!噛めない!
入れ歯とわからないようにしたい!
などなど、幅広くお答えします。
このような方、お気軽にご相談ください。ワイズは世間のイメージと違い
逆にお口が崩壊しているような
画像のような症例が得意です。
◇◇お気軽にLINE、メールでご相談ください。◇◇
歯並び、噛み合わせ、多発性の虫歯のお悩みは、
まずは各種オンライン相談で!
その方法は???
1.こちらのサイトのお問い合わせフォームから
お問い合わせいただく
https://ys-dentalcure.gd-demo-cfbx.net/
2.公式LINEから相談をいただく。
3.直接メールをいただく。
info@ys-dentalcure.gd-demo-cfbx.net
そのままお困りの内容をご記載ください。
お待ちしております。
□□□□□□□□□□□□□□□□□□□□□□□□□□□□□□□□□□□□□□□ご予約 お電話はこちらへ03-3953-8766
お問い合わせはこちらまでお願いします。
医療法人社団 デンタルキュア
ワイズデンタルキュア
https://ys-dentalcure.gd-demo-cfbx.net/info@ys-dentalcure.gd-demo-cfbx.net
東京都豊島区目白3-4-11目白NCKビル3F
お電話はこちらへ03-3953-8766
JR山手線 目白駅 徒歩1分
改札口から100メートルもありません!!
再度、日本人の歯を綺麗にする・・・・BIGIN the 綺麗 をテーマに再始動します!
⭐️⭐️⭐️⭐️ 歯周病の程度や、歯牙の崩壊、本数が少ない場合、虫歯のリスクの高い人、歯根吸収のリスクが高い人、リード楽器等歯で咥えて吹く楽器の奏者の人、糖尿病やリウマチ、血液疾患があり、治療が優先的ではない人、重度の顎関節症の人、心身衰弱の人、はホワイトニングや歯並びの治療は適応ではありません。
またセラミックによる歯牙形態修正、歯髄除去をした場合、使用方法、環境により歯牙自体の寿命が短くなる場合、以下の症状が発生する場合があります。
これらの症状の発生の有無及び程度は、ご自身の体質や、治療期間中の体調、ご自身の口腔内清掃の状態により異なります。
歯の痛み、虫歯、歯肉炎、口内炎、歯根吸収、顎関節の違和感、歯槽骨吸収、歯周病、アレルギー症状、歯肉退縮2022.03.03 セラミック, セラミック矯正, ハーモニー矯正, 受け口, 噛み合わせ, 審美歯科, 歯列矯正, 虫歯, 裏側矯正
①他院のリカバリー。歯列矯正もやりかた次第です。
みなさん、歯列矯正って値段だけで選んでませんか?
少なからず当医院の新患さんでも、治療内容よりも
値段だけを気にされている方がいます。
まあもちろん気持ちはわかるのですが、
大事なのはどう治すか、どう治るか?
ではないでしょうか?
さて、今回はそんな中から
期間だけ
を気になさってしまい、
大失敗をされた方の顛末をお伝えします。
この画像をみてください。

よくある歯列矯正ですが、
この矯正治療をしている歯科医院のウリは
他院よりも急速矯正であるということ。通常の半分の時間で
歯列矯正が済むというお話だそうです。

いかにも強そうな針金ですね(笑)
反対側です。

上から

下から

いかにもガッチリです。
さてこの患者さん、
他院よりも急速矯正であるということ。通常の半分の時間で
歯列矯正が済むというお話だそうです。
ということではじめられたこの歯列矯正、治療開始一年の
この状態でワイズデンタルキュアへご来院されました。
主訴は
1.噛めない まず調べてみました。
調べてみると、お口の力を抜いたぽけーっとした位置から噛もうと
すると、いったん顎をずらさないとなりませんでした。
これでは、無理やりでないと噛めません。
2.歯がものすごく揺れる
歯列矯正は途中では歯が動いていくので多少の揺れはあるものですが
ワイヤーが付いている状態でもかなりの揺れを感じるとのこと。
調べてみました。

エックス線をとってビックリです。

ところどころ根の先がないのです!
こちらを次回詳しく解説いたします。
続く。
ご相談いつでもお受けしております。
ローンはスルガ銀行、
スルガ銀行は一年間元金据え置きローンもあるので、
月三千円代から歯列矯正ができます。
私たちはあなたの口元のコンプレックスのお悩みを解決します。
もう手でお口を隠して笑わなくてすみます。
メール相談大募集!
歯を白くしたい!歯並び!噛み合わせ!歯がない!虫歯!噛めない!
入れ歯とわからないようにしたい!
などなど、幅広くお答えします。
このような方、お気軽にご相談ください。ワイズは世間のイメージと違い
逆にお口が崩壊しているような
画像のような症例が得意です。
◇◇お気軽にLINE、メールでご相談ください。◇◇
歯並び、噛み合わせ、多発性の虫歯のお悩みは、
まずは各種オンライン相談で!
その方法は???
1.こちらのサイトのお問い合わせフォームから
お問い合わせいただく
https://ys-dentalcure.gd-demo-cfbx.net/
2.公式LINEから相談をいただく。
3.直接メールをいただく。
info@ys-dentalcure.gd-demo-cfbx.net
そのままお困りの内容をご記載ください。
お待ちしております。
□□□□□□□□□□□□□□□□□□□□□□□□□□□□□□□□□□□□□□□ご予約 お電話はこちらへ03-3953-8766
お問い合わせはこちらまでお願いします。
医療法人社団 デンタルキュア
ワイズデンタルキュア
https://ys-dentalcure.gd-demo-cfbx.net/info@ys-dentalcure.gd-demo-cfbx.net
東京都豊島区目白3-4-11目白NCKビル3F
お電話はこちらへ03-3953-8766
JR山手線 目白駅 徒歩1分
改札口から100メートルもありません!!
再度、日本人の歯を綺麗にする・・・・BIGIN the 綺麗 をテーマに再始動します!
⭐️⭐️⭐️⭐️ 歯周病の程度や、歯牙の崩壊、本数が少ない場合、虫歯のリスクの高い人、歯根吸収のリスクが高い人、リード楽器等歯で咥えて吹く楽器の奏者の人、糖尿病やリウマチ、血液疾患があり、治療が優先的ではない人、重度の顎関節症の人、心身衰弱の人、はホワイトニングや歯並びの治療は適応ではありません。
またセラミックによる歯牙形態修正、歯髄除去をした場合、使用方法、環境により歯牙自体の寿命が短くなる場合、以下の症状が発生する場合があります。
これらの症状の発生の有無及び程度は、ご自身の体質や、治療期間中の体調、ご自身の口腔内清掃の状態により異なります。
歯の痛み、虫歯、歯肉炎、口内炎、歯根吸収、顎関節の違和感、歯槽骨吸収、歯周病、アレルギー症状、歯肉退縮2022.03.02 セラミック, デジタルスキャン, 受け口, 噛み合わせ, 審美歯科, 歯列矯正, 虫歯, 裏側矯正
セラミックのリスク?
今回は、セラミックという虫歯治療の仕方の話しです。
セラミックのリスク、、、それは!
ズバリ、割れることです。壊れるんです。
無駄な力が掛かり過ぎた時です。そういう時、セラミックは割れる。
でも!そのかわり、歯の方がなんでもないんです。
では、証拠写真を

ね!真っ二つに割れてるのに歯に虫歯がない。
しかも割れた歯の反対側、下の歯並びに無理があるのを注目して!!
つまりさ、
—–
銀歯のところで話した「力」が掛かり、歯の方が強度ないから歯を壊していく。<<銀歯の記事はこちら>>
—–セラミックは、噛み合わせの力が無駄に掛かり過ぎてしまえば、セラミックが割れるので、歯自身に影響が少ないの。
車の交通事故で例えると、車のボンネットはグシャリだけど、乗ってる人は生きている。
つまり、衝突安全ボディ。
=============
衝突安全ボディとは、
前面正面衝突や側面衝突といった衝突による衝撃を和らげ、乗員の安全を確保できるように設計された自動車用の車体のこと。
=============
銀歯と違いセラミックは、
その突然の事故からセラミックが割れることで、歯に掛かる負担を軽減すること。
セラミックが壊れても、自分の歯が生きていることが大事!!
割れるリスク。でもそれは自分を守る。
問題は、割れる噛み合わせにある!事故を起こすような乱暴な運転と同じ。
しかも、1日何回噛むと思う??現代は減ってきた言われているけど、それでも一回の食事で600回。
たくさん使う歯なんだから、歯を大事にしようよ。
3、4日で割れるわけじゃない。
噛み合わせ次第でもあるけど、10年とか平気で持つし。
ワイズデンタルキュアは、噛み合わせ検査をしてますので、これを機に一緒に噛み合わせも治そう!
<<噛み合わせのおすすめ記事はこちら>>
2019.02.05 セラミック

