1:マメロンてなんだ?あなたのセラミックの前歯が偽物に見える訳。
マメロンてわかりますか?これを知らないでセラミックの前歯なんか
入れちゃダメ。
9月より治療全般の価格改正を行います。
今回の改正のコンセプトは価格のシンプル化。
よりわかりやすい価格設定を目指します。
(今現在のカウンセリングの方々には適応しております。)
さて今回の価格改正で一番変わるのは、セラミック系です。
今までの、いったい何が違うんだろう?というものをよりシンプルにしていきます。
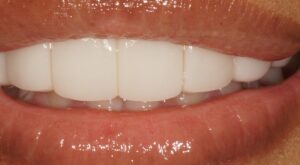
◆マメロンとは何か?◆
マメロンとは、前歯の先っぽの内部構造のことです。


色調を変えてみましょう。

マメロンとはこの〇で囲んだ部分の内部構造です。

わかりますか?普通だと半透明なエナメル質に覆われているので
光の加減で見えたりするこの構造。
この唇からさらっと見えるこの構造が
人にホンモノとニセモノを認識させるのです。

この程度しか見えない状態で歯がホンモノであるのかニセモノであるのか。
ニセモノという言葉はよくないですね、代替品とでも呼びましょうか。
ホンモノなのか、治療あとの代替品なのかはすぐわかるはずです。
よく見るようなセラミックの前歯はこんなですよね?

こういう歯を綺麗、という方もいるので趣味手稿は別にして
本来審美歯科というところは
綺麗だけど初めて会う方には治したことがわからずに
最初からずっと綺麗だった、と魔法をかけるところなはずです。
こちらはこの明らかに治した、とわかるようなセラミックに
嫌気がさされ、交換をご希望になられた方のセラミック交換後です。

前歯マメロン構造セラミック クラウン、ラミネートべニア混合治療
¥165000(税込)×6本
次回2回目はマメロン構造とマメロン構造のあるセラミックとないセラミック
の比較、その見分け方などお話していきます。
ご相談いつでもお受けしております。
ローンはスルガ銀行、アプラス、
スルガ銀行は一年間元金据え置きローンもあるので、
月三千円代から歯列矯正ができます。
私たちはあなたの口元のコンプレックスのお悩みを解決します。
もう手でお口を隠して笑わなくてすみます。
メール相談大募集!
歯を白くしたい!歯並び!噛み合わせ!歯がない!虫歯!
噛めない!
入れ歯とわからないようにしたい!
などなど、幅広くお答えします。
このような方、お気軽にご相談ください。
ワイズは世間のイメージと違い
逆にお口が崩壊しているような
画像のような症例が得意です。
◇◇お気軽にLINE、メールでご相談ください。◇◇
歯並び、噛み合わせ、多発性の虫歯のお悩みは、
まずは各種オンライン相談で!
その方法は???
1.こちらのサイトのお問い合わせフォームから
お問い合わせいただく
https://ys-dentalcure.gd-demo-cfbx.net/
2.公式LINEから相談をいただく。
3.直接メールをいただく。
info@ys-dentalcure.gd-demo-cfbx.net
噛み合わせや、その他歯のお悩みは
そのままお困りの内容をご記載ください。
歯並びのご相談の場合はご希望の治療内容と
三方向の歯並び画像と一緒に
送ってください。
お待ちしております。
□□□□□□□□□□□□□□□□□□□□□□□□□□□□□□□□□□□□□□□
ご予約 お電話はこちらへ03-3953-8766
お問い合わせはこちらまでお願いします。
医療法人社団 デンタルキュア
ワイズデンタルキュア
https://ys-dentalcure.gd-demo-cfbx.net/
info@ys-dentalcure.gd-demo-cfbx.net
東京都豊島区目白3-4-11目白NCKビル3F
お電話はこちらへ03-3953-8766
JR山手線 目白駅 徒歩1分
改札口から100メートルもありません!!
再度、日本人の歯を綺麗にする・・・・BIGIN the 綺麗 をテーマに
再始動します!
⭐️⭐️⭐️⭐️ 歯周病の程度や、歯牙の崩壊、本数が少ない場合、虫歯のリスクの高い人、歯根吸収のリスクが高い人、リード楽器等歯で咥えて吹く楽器の奏者の人、糖尿病やリウマチ、血液疾患があり、治療が優先的ではない人、重度の顎関節症の人、心身衰弱の人、はホワイトニングや歯並びの治療は適応ではありません。
またセラミックによる歯牙形態修正、歯髄除去をした場合、使用方法、環境により歯牙自体の寿命が短くなる場合、以下の症状が発生する場合があります。
これらの症状の発生の有無及び程度は、ご自身の体質や、治療期間中の体調、ご自身の口腔内清掃の状態により異なります。
歯の痛み、虫歯、歯肉炎、口内炎、歯根吸収、顎関節の違和感、歯槽骨吸収、歯周病、アレルギー症状、歯肉退縮

