歯列矯正で口元を引っ込めたい!でも私の矯正はひっこむのかな?DM質問コーナー。
メール、LINE相談大募集!
◆詳細は記事の後をお読みください。◆
本日は好評の質問コーナーです。

ご質問ありがとうございます。
いつものようにインスタグラムのDMからのご質問の回答です。
正直、画像もみたわけでもなく、ましてや当方の患者さんでもありませんので
正確な判断ができるわけもなく、推測の部分が多い回答となってしましそうです。
それを前提でお話いたします。
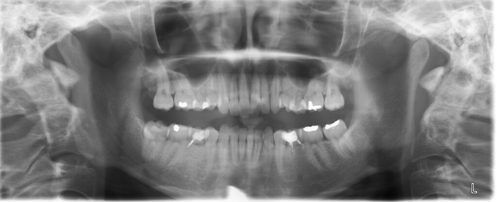
なにより歯列矯正をするにあたって、精密に検査をするとこのような図形が一つの
指標としてでます。
プロフィログラムというものです。

こちらは成人女性の実際の患者さんのものです。
赤い線が成人女性の平均値です。
黒い線がこの方のお顔のバランスということになります。

この青丸の部分が上の前歯、下の前歯の傾斜にあたる部分で
ここでお話しているところの
突出
ということになります。
平均値に比べてかなり前方にありますので
いわゆる出っ歯という状態です。
顎の大きさはさほど平均値と変わりませんから
歯が大きい、スペースがないといえるわけです。
これを治療計画に盛り込むと
今回のケースは

上の歯は両側4番目の歯をスペースとしていただき
下の歯は乳歯があるのでそれをスペースとしました。

この治療計画で、歯列矯正のソフトウェアで
横顔の画像をシュミレートするとこのようになります。

このように検査をしていれば、ご自身が悩むことなく治療がすすむのですが、
時に口元がきれいになるという言葉は
整う
まあ前よりは引っ込む
綺麗には噛む
など先生によって理想が違ったり、ニュアンスが違うものです。
ですので、そういうことがないよう最終的にどうなるのかは
見せてもらえたらいいと思います。
少ないですが、だんだんこのようなシュミレート機能をそなえた歯科医院も増えてきているでしょう。
たぶんご相談のケースは
引っ込めるということが主眼ではなく
噛める、整うということが主眼になっているのではと思います。
先生によくお話をお聞きして、自分の要望をきちんと伝えることが
とても大事だと思います。
ご相談いつでもお受けしております。
ローンはスルガ銀行、アプラス、
スルガ銀行は一年間元金据え置きローンもあるので、
月三千円代から歯列矯正ができます。
私たちはあなたの口元のコンプレックスのお悩みを解決します。
もう手でお口を隠して笑わなくてすみます。
メール相談大募集!
歯を白くしたい!歯並び!噛み合わせ!歯がない!虫歯!
噛めない!
入れ歯とわからないようにしたい!
などなど、幅広くお答えします。
このような方、お気軽にご相談ください。
ワイズは世間のイメージと違い
逆にお口が崩壊しているような
画像のような症例が得意です。
◇◇お気軽にLINE、メールでご相談ください。◇◇
歯並び、噛み合わせ、多発性の虫歯のお悩みは、
まずは各種オンライン相談で!
その方法は???
1.こちらのサイトのお問い合わせフォームから
お問い合わせいただく
https://ys-dentalcure.gd-demo-cfbx.net/
2.公式LINEから相談をいただく。
3.直接メールをいただく。
info@ys-dentalcure.gd-demo-cfbx.net
噛み合わせや、その他歯のお悩みは
そのままお困りの内容をご記載ください。
歯並びのご相談の場合はご希望の治療内容と
三方向の歯並び画像と一緒に
送ってください。
お待ちしております。
□□□□□□□□□□□□□□□□□□□□□□□□□□□□□□□□□□□□□□□
ご予約 お電話はこちらへ03-3953-8766
お問い合わせはこちらまでお願いします。
医療法人社団 デンタルキュア
ワイズデンタルキュア
https://ys-dentalcure.gd-demo-cfbx.net/
info@ys-dentalcure.gd-demo-cfbx.net
東京都豊島区目白3-4-11目白NCKビル3F
お電話はこちらへ03-3953-8766
JR山手線 目白駅 徒歩1分
改札口から100メートルもありません!!
再度、日本人の歯を綺麗にする・・・・BIGIN the 綺麗 をテーマに
再始動します!
⭐️⭐️⭐️⭐️ 歯周病の程度や、歯牙の崩壊、本数が少ない場合、虫歯のリスクの高い人、歯根吸収のリスクが高い人、リード楽器等歯で咥えて吹く楽器の奏者の人、糖尿病やリウマチ、血液疾患があり、治療が優先的ではない人、重度の顎関節症の人、心身衰弱の人、はホワイトニングや歯並びの治療は適応ではありません。
またセラミックによる歯牙形態修正、歯髄除去をした場合、使用方法、環境により歯牙自体の寿命が短くなる場合、以下の症状が発生する場合があります。
これらの症状の発生の有無及び程度は、ご自身の体質や、治療期間中の体調、ご自身の口腔内清掃の状態により異なります。
歯の痛み、虫歯、歯肉炎、口内炎、歯根吸収、顎関節の違和感、歯槽骨吸収、歯周病、アレルギー症状、歯肉退縮

