顎関節症とはなにか?第三回 治療編①
さて前回までで顎関節症の症状をお話していきました。
今回からはその治療についてお話いたします。
では、まずご本人に症状をお聞きします。
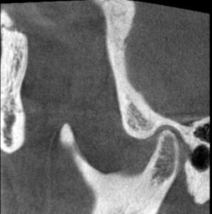
この状態のこの方の顎の関節のCTスキャンです。
左側の関節です。


関節の隙間が少なく、関節を圧迫していますから
つまり先にお見せした
動画と同じ状態ということです。
口が開くときも閉まるときも軟骨が外れて音がする。
まさにこの状態ということです。
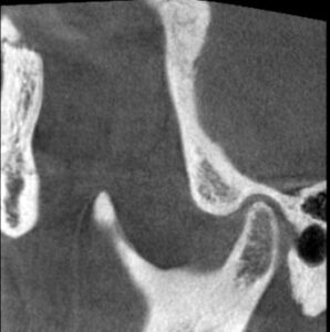
右側の関節のCTスキャンです。

こちらも同じくです。
両側音が鳴るのもうなずけます。
顎の本来の理想の噛み合わせの指標を見つけるために
顎の位置の測定をします。
顎の位置の計測と共に、体のバランスも良くなる噛み合わせの高さも
探ります。この方はワックス6枚が最もバランスが良かったです。
その位置を手掛かりにマウスピースのベースを作成します。
10日程のち、マウスピースは出来上がります。
こちらは装着時の体感検査です。
こちらのマウスピースは夜寝るときだけ入れていただきます。
翌週からマウスピースの調整を度々します。
顎が治っていく過程で、筋肉が緩みいろんな方向に動き出すためです。
そのため食いしばり歯ぎしりも消えます。
数日後の感想です。
マウスピースの調整は、

このように全体が当たるようになり、前歯が横に動かす
ガイドになるまで続くのです。
調整の度、どんどん身体的、精神的症状はなくなるのです。
この状態になった時のこの患者さんのCTスキャンの比較はこちらです。
治療前 左側

治療後 左側

治療前 右側

治療後 右側

関節圧迫が取れているのがわかるでしょうか?
これが治療後の状態です。
次回はここからどうしていくのか?
ケース毎に解説していこうと思います。
◆おまけの講釈◆

赤い線は耳の穴です。
顎関節は耳の穴の裏側に位置します。
耳の穴を関節が圧迫していたらどうなりますか?
耳鳴り、難聴、めまい、統合失調症
耳にかかわる病気はこれが理由かもしれません。
ではまた次回!
https://ys-dentalcure.gd-demo-cfbx.net/news/3294
ご相談いつでもお受けしております。
ローンはスルガ銀行、
スルガ銀行は一年間元金据え置きローンもあるので、
月三千円代から歯列矯正ができます。
私たちはあなたの口元のコンプレックスのお悩みを解決します。
もう手でお口を隠して笑わなくてすみます。
メール相談大募集!
歯を白くしたい!歯並び!噛み合わせ!歯がない!虫歯!
噛めない!
入れ歯とわからないようにしたい!
などなど、幅広くお答えします。
このような方、お気軽にご相談ください。
ワイズは世間のイメージと違い
逆にお口が崩壊しているような
画像のような症例が得意です。
◇◇お気軽にLINE、メールでご相談ください。◇◇
歯並び、噛み合わせ、多発性の虫歯のお悩みは、
まずは各種オンライン相談で!
その方法は???
1.こちらのサイトのお問い合わせフォームから
お問い合わせいただく
https://ys-dentalcure.gd-demo-cfbx.net/
2.公式LINEから相談をいただく。
3.直接メールをいただく。
info@ys-dentalcure.gd-demo-cfbx.net
そのままお困りの内容をご記載ください。
お待ちしております。
□□□□□□□□□□□□□□□□□□□□□□□□□□□□□□□□□□□□□□□
ご予約 お電話はこちらへ03-3953-8766
お問い合わせはこちらまでお願いします。
医療法人社団 デンタルキュア
ワイズデンタルキュア
https://ys-dentalcure.gd-demo-cfbx.net/
info@ys-dentalcure.gd-demo-cfbx.net
東京都豊島区目白3-4-11目白NCKビル3F
お電話はこちらへ03-3953-8766
JR山手線 目白駅 徒歩1分
改札口から100メートルもありません!!
再度、日本人の歯を綺麗にする・・・・BIGIN the 綺麗 をテーマに
再始動します!
⭐️⭐️⭐️⭐️ 歯周病の程度や、歯牙の崩壊、本数が少ない場合、虫歯のリスクの高い人、歯根吸収のリスクが高い人、リード楽器等歯で咥えて吹く楽器の奏者の人、糖尿病やリウマチ、血液疾患があり、治療が優先的ではない人、重度の顎関節症の人、心身衰弱の人、はホワイトニングや歯並びの治療は適応ではありません。
またセラミックによる歯牙形態修正、歯髄除去をした場合、使用方法、環境により歯牙自体の寿命が短くなる場合、以下の症状が発生する場合があります。
これらの症状の発生の有無及び程度は、ご自身の体質や、治療期間中の体調、ご自身の口腔内清掃の状態により異なります。
歯の痛み、虫歯、歯肉炎、口内炎、歯根吸収、顎関節の違和感、歯槽骨吸収、歯周病、アレルギー症状、歯肉退縮

