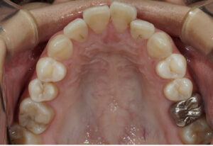
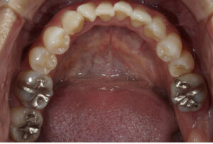
裏側矯正、舌側矯正のハーモニー一年半経過の症例。
こんにちは、ワイズデンタルキュアです。
今日は当医院の得意分野の一つ、裏側、舌側矯正
をご紹介します。
裏側矯正のハーモニーという名前の装置です。
スタートです。
上

下

裏側矯正のハーモニー
途中経過1年5ヶ月です。上

下

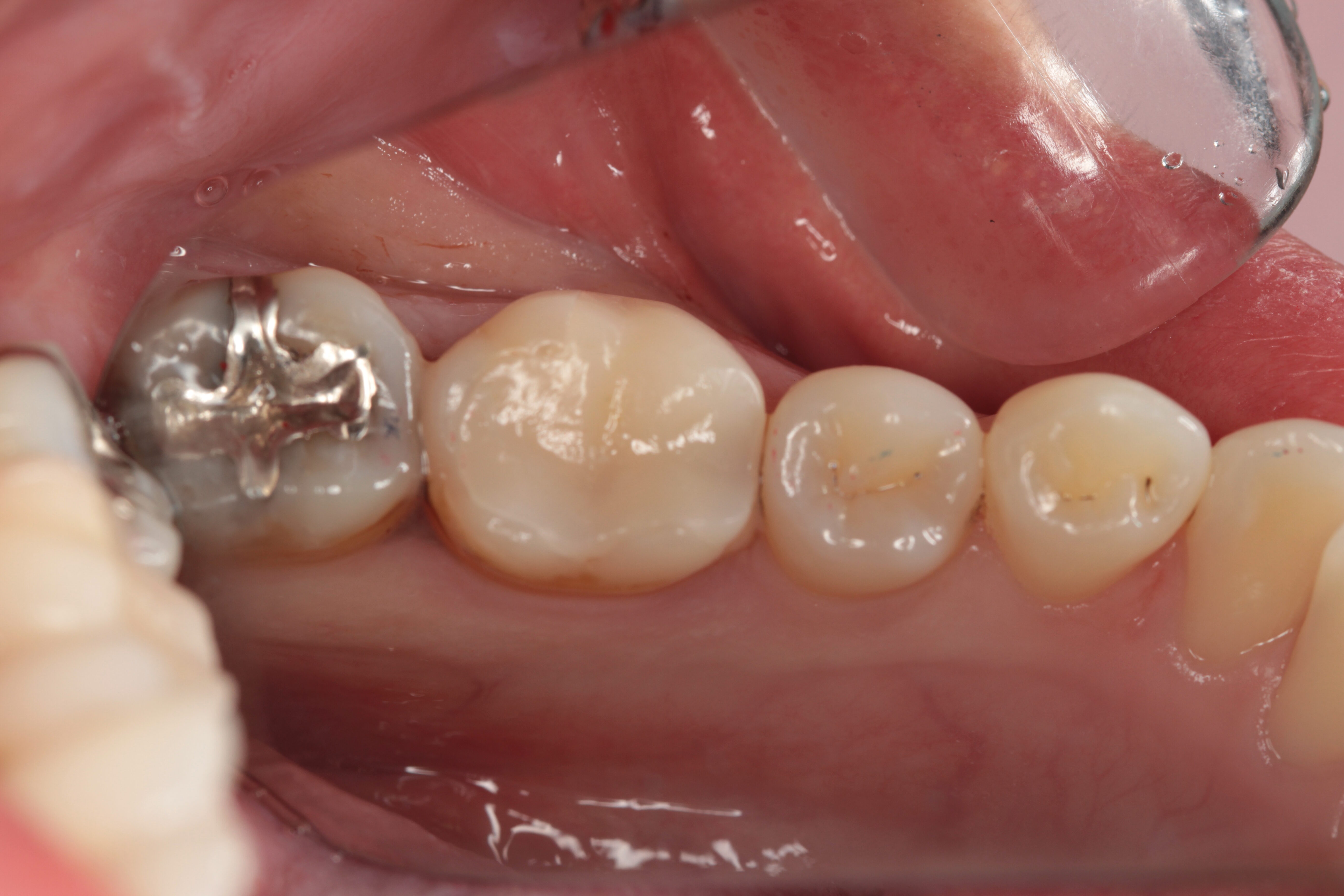
この症例は噛み合わせメインの治療で
噛めることの追求がメインテーマ。
それに付随してくるのは、自然なる美。
使用できてこそ、美しいものと考えると
今日、セラミックにしたからあまり噛まないように
していると聞いたカウンセリングは
なんだったんだろう。
歯列矯正はあともどりが当たり前と言われた
とのカウンセリングはなんだったんだろう。使えてこその美しさ。思い出しました。
裏側矯正¥1320000歯を白くしたい!歯並び!噛み合わせ!歯がない!虫歯!
噛めない!
入れ歯とわからないようにしたい!
などなど、幅広くお答えします。
このような方、お気軽にご相談ください。ワイズは世間のイメージと違い
逆にお口が崩壊しているような
画像のような症例が得意です。
◇◇お気軽にLINE、メールでご相談ください。◇◇
歯並びのお悩みは、まずはメール相談で!
その方法は???
1.こちらのサイトのお問い合わせフォームから
お問い合わせいただく
https://ys-dentalcure.gd-demo-cfbx.net/
2.公式LINEから相談をいただく。
3.直接メールをいただく。
info@ys-dentalcure.gd-demo-cfbx.net
ご希望の治療内容を
1.針金はいやだ!(治療期間通常1ヶ月~)
2.下の歯だけならいい(治療期間半年~)
3.針金でいい(治療期間2年~)
この三つのどれかを選んで三方向の歯並び画像と一緒に送ってください。
お待ちしております。
□□□□□□□□□□□□□□□□□□□□□□□□□□□□□□□□□□□□□□□ご予約 お電話はこちらへ03-3953-8766
お問い合わせはこちらまでお願いします。
医療法人社団 デンタルキュア
ワイズデンタルキュア
https://ys-dentalcure.gd-demo-cfbx.net/info@ys-dentalcure.gd-demo-cfbx.net
東京都豊島区目白3-4-11目白NCKビル3F
お電話はこちらへ03-3953-8766
JR山手線 目白駅 徒歩1分
改札口から100メートルもありません!!
再度、日本人の歯を綺麗にする・・・・BIGIN the 綺麗 をテーマに再始動します!
⭐️⭐️ 歯周病の程度や、歯牙の崩壊、本数が少ない場合、虫歯のリスクの高い人、歯根吸収のリスクが高い人、リード楽器等歯で咥えて吹く楽器の奏者の人、糖尿病やリウマチ、血液疾患があり、治療が優先的ではない人、重度の顎関節症の人、心身衰弱の人、はホワイトニングや歯並びの治療は適応ではありません。
またセラミックによる歯牙形態修正、歯髄除去をした場合、使用方法、環境により歯牙自体の寿命が短くなる場合、以下の症状が発生する場合があります。
これらの症状の発生の有無及び程度は、ご自身の体質や、治療期間中の体調、ご自身の口腔内清掃の状態により異なります。
歯の痛み、虫歯、歯肉炎、口内炎、歯根吸収、顎関節の違和感、歯槽骨吸収、歯周病、アレルギー症状、歯肉退縮2021.07.13
虫歯の都市伝説 今度はセラミックのリスク
こんにちは、ワイズデンタルキュアです。
ご好評いただいている歯科都市伝説 動画シリーズ
今回はセラミックのリスクです。
リスクとお話ししましたが、
セラミックは自分が壊れることで歯を守る。
衝突安全ボディです。
銀歯の方はぜひセラミックのご選択をしてください。

歯を白くしたい!歯並び!噛み合わせ!歯がない!虫歯!
噛めない!
入れ歯とわからないようにしたい!
などなど、幅広くお答えします。
このような方、お気軽にご相談ください。ワイズは世間のイメージと違い
逆にお口が崩壊しているような
画像のような症例が得意です。
◇◇お気軽にLINE、メールでご相談ください。◇◇
歯並びのお悩みは、まずはメール相談で!
その方法は???
1.こちらのサイトのお問い合わせフォームから
お問い合わせいただく
https://ys-dentalcure.gd-demo-cfbx.net/
2.公式LINEから相談をいただく。
3.直接メールをいただく。
info@ys-dentalcure.gd-demo-cfbx.net
ご希望の治療内容を
1.針金はいやだ!(治療期間通常1ヶ月~)
2.下の歯だけならいい(治療期間半年~)
3.針金でいい(治療期間2年~)
この三つのどれかを選んで三方向の歯並び画像と一緒に送ってください。
お待ちしております。
□□□□□□□□□□□□□□□□□□□□□□□□□□□□□□□□□□□□□□□ご予約 お電話はこちらへ03-3953-8766
お問い合わせはこちらまでお願いします。
医療法人社団 デンタルキュア
ワイズデンタルキュア
https://ys-dentalcure.gd-demo-cfbx.net/info@ys-dentalcure.gd-demo-cfbx.net
東京都豊島区目白3-4-11目白NCKビル3F
お電話はこちらへ03-3953-8766
JR山手線 目白駅 徒歩1分
改札口から100メートルもありません!!
再度、日本人の歯を綺麗にする・・・・BIGIN the 綺麗 をテーマに再始動します!
2021.07.13
虫歯の都市伝説 銀歯のリスク ワイズデンタルキュアのブログ
こんにちは、ワイズデンタルキュアです。
今回は前回の虫歯の都市伝説の続き、銀歯のリスクです。
みんな大嫌いな銀歯、目立つだけじゃないんですよ。
どんなリスクがあるのか見てみてください。
歯科都市伝説はシリーズとして続きます。
ご期待ください。
私たちはあなたの口元のコンプレックスのお悩みを解決します。
もう手でお口を隠して笑わなくてすみます。
メール相談大募集!
歯を白くしたい!歯並び!噛み合わせ!歯がない!虫歯!噛めない!
入れ歯とわからないようにしたい!
などなど、幅広くお答えします。

このような方、お気軽にご相談ください。ワイズは世間のイメージと違い
逆にお口が崩壊しているような
画像のような症例が得意です。
◇◇お気軽にLINE、メールでご相談ください。◇◇
歯並びのお悩みは、まずはメール相談で!
その方法は???
1.こちらのサイトのお問い合わせフォームから
お問い合わせいただく
https://ys-dentalcure.gd-demo-cfbx.net/
2.公式LINEから相談をいただく。
3.直接メールをいただく。
info@ys-dentalcure.gd-demo-cfbx.net
ご希望の治療内容を
1.針金はいやだ!(治療期間通常1ヶ月~)
2.下の歯だけならいい(治療期間半年~)
3.針金でいい(治療期間2年~)
この三つのどれかを選んで三方向の歯並び画像と一緒に送ってください。
お待ちしております。
□□□□□□□□□□□□□□□□□□□□□□□□□□□□□□□□□□□□□□□ご予約 お電話はこちらへ03-3953-8766
お問い合わせはこちらまでお願いします。
医療法人社団 デンタルキュア
ワイズデンタルキュア
https://ys-dentalcure.gd-demo-cfbx.net/info@ys-dentalcure.gd-demo-cfbx.net
東京都豊島区目白3-4-11目白NCKビル3F
お電話はこちらへ03-3953-8766
JR山手線 目白駅 徒歩1分
改札口から100メートルもありません!!
再度、日本人の歯を綺麗にする・・・・BIGIN the 綺麗 をテーマに再始動します!
2021.07.13
びっくり、虫歯になる本当の理由 ワイズデンタルキュアのブログ
こんにちは、ワイズデンタルキュアです。
磨いても磨いても、虫歯になるんですけど。
どうしたらいいんですか?
そんな風に思っているあなた!
こちらの動画をみて虫歯というものを新しい観点から
見てみませんか?
歯科都市伝説はシリーズとして続きます。
ご期待ください。
私たちはあなたの口元のコンプレックスのお悩みを解決します。
もう手でお口を隠して笑わなくてすみます。
メール相談大募集!
歯を白くしたい!歯並び!噛み合わせ!歯がない!虫歯!噛めない!
入れ歯とわからないようにしたい!
などなど、幅広くお答えします。
このような方、お気軽にご相談ください。ワイズは世間のイメージと違い
逆にお口が崩壊しているような
画像のような症例が得意です。
◇◇お気軽にLINE、メールでご相談ください。◇◇
歯並びのお悩みは、まずはメール相談で!
その方法は???
1.こちらのサイトのお問い合わせフォームから
お問い合わせいただく
https://ys-dentalcure.gd-demo-cfbx.net/
2.公式LINEから相談をいただく。
3.直接メールをいただく。
info@ys-dentalcure.gd-demo-cfbx.net
ご希望の治療内容を
1.針金はいやだ!(治療期間通常1ヶ月~)
2.下の歯だけならいい(治療期間半年~)
3.針金でいい(治療期間2年~)
この三つのどれかを選んで三方向の歯並び画像と一緒に送ってください。
お待ちしております。
□□□□□□□□□□□□□□□□□□□□□□□□□□□□□□□□□□□□□□□ご予約 お電話はこちらへ03-3953-8766
お問い合わせはこちらまでお願いします。
医療法人社団 デンタルキュア
ワイズデンタルキュア
https://ys-dentalcure.gd-demo-cfbx.net/info@ys-dentalcure.gd-demo-cfbx.net
東京都豊島区目白3-4-11目白NCKビル3F
お電話はこちらへ03-3953-8766
JR山手線 目白駅 徒歩1分
改札口から100メートルもありません!!
再度、日本人の歯を綺麗にする・・・・BIGIN the 綺麗 をテーマに再始動します!
2021.07.12

