セラミック性口臭!セラミックを入れて臭い方必見。新しいクラウンのありかた②
こんにちは、ワイズデンタルキュアです。
前回から、セラミックの口臭のお話をしています。
つづきです。
2に装着材料の選別ミスです。
基本的にセラミックはレジンセメントというもので操作します。
レジンセメントはジェル状のものがミキシングされて使用できる
注射器型をしています。
粉と液を練っているようですと、このレジンセメントではないかも
しれません。
口臭の原因になります。
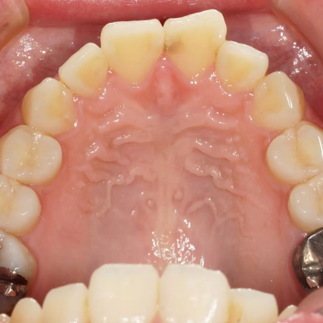
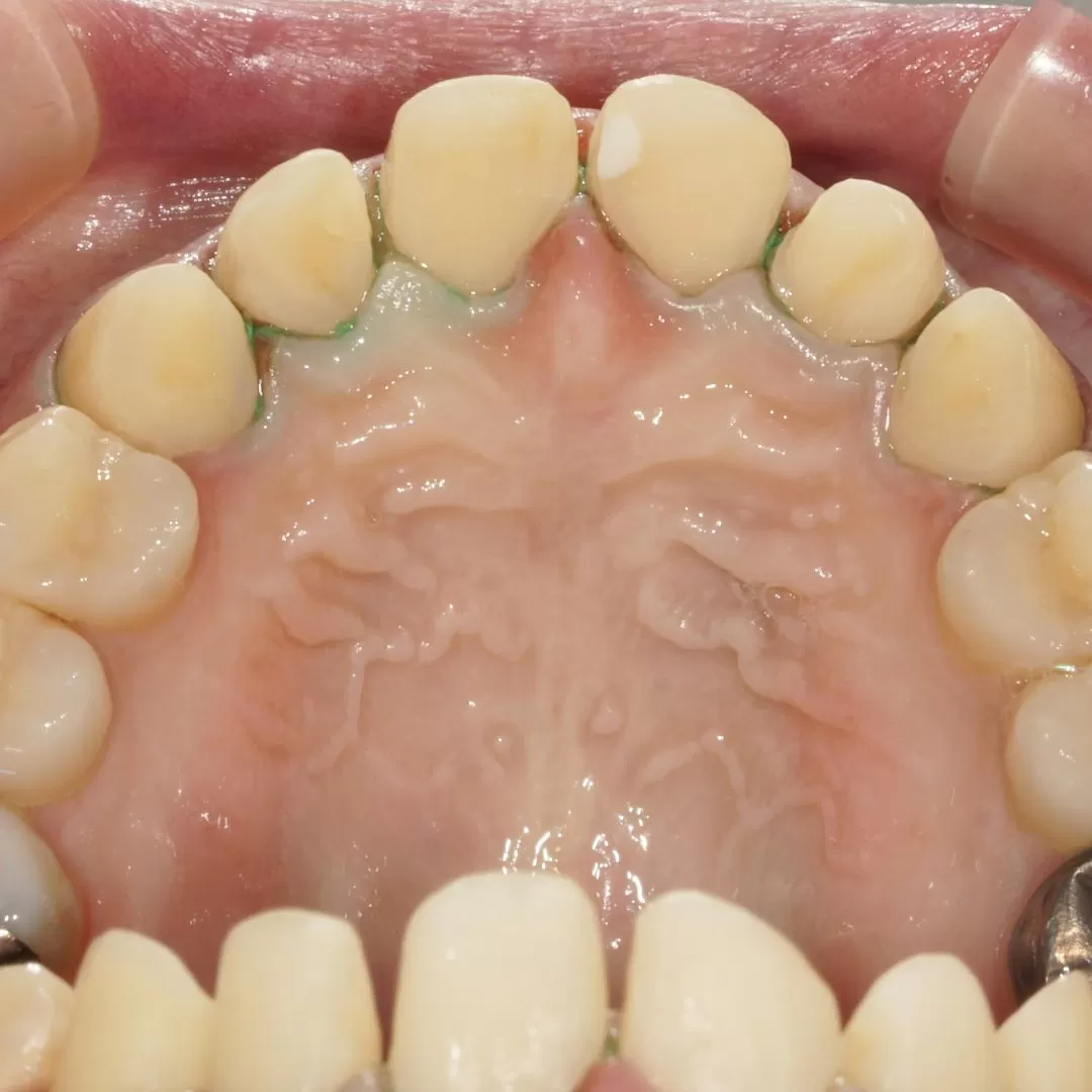
3にできる限り削らず、一本一本が離れているという構造です。

今回の症例ですがこのような状態を

このように歯茎に接する部分はぎりぎりに

このように装着してあります。
全周ラミネートべニア仕上げです。
このような努力が口臭から無縁のセラミックを作り上げるのです。
価格は一本ハイクラスセラミック ¥187000
私たちはあなたの口元のコンプレックスのお悩みを解決します。
もう手でお口を隠して笑わなくてすみます。
メール相談大募集!
歯を白くしたい!歯並び!噛み合わせ!歯がない!虫歯!
噛めない!
入れ歯とわからないようにしたい!
などなど、幅広くお答えします。
このような方、お気軽にご相談ください。
◇◇お気軽にLINE、メールでご相談ください。◇◇
歯並び、噛み合わせ、多発性の虫歯のお悩みは、
まずは各種オンライン相談で!
その方法は???
こちらのサイトのお問い合わせフォームから
お問い合わせください。
https://ys-dentalcure.gd-demo-cfbx.net/
噛み合わせや、その他歯のお悩みは
そのままお困りの内容をご記載ください。
歯並びのご相談の場合はご希望の治療内容を
1.針金はいやだ!(治療期間通常1ヶ月~)
2.下の歯だけならいい(治療期間半年~)
3.針金でいい(治療期間2年~)
この三つのどれかを選んで三方向の歯並び画像と一緒に
送ってください。
お待ちしております。
□□□□□□□□□□□□□□□□□□□□□□□□□□□□□□□□□□□□□□□
ご予約 お電話はこちらへ03-3953-8766
お問い合わせはこちらまでお願いします。
医療法人社団 デンタルキュア
ワイズデンタルキュア
https://ys-dentalcure.gd-demo-cfbx.net/
info@ys-dentalcure.gd-demo-cfbx.net
東京都豊島区目白3-4-11目白NCKビル3F
お電話はこちらへ03-3953-8766
JR山手線 目白駅 徒歩1分
改札口から100メートルもありません!!
再度、日本人の歯を綺麗にする・・・・BIGIN the 綺麗 をテーマに
再始動します!
⭐️⭐️⭐️⭐️ 歯周病の程度や、歯牙の崩壊、本数が少ない場合、虫歯のリスクの高い人、歯根吸収のリスクが高い人、リード楽器等歯で咥えて吹く楽器の奏者の人、糖尿病やリウマチ、血液疾患があり、治療が優先的ではない人、重度の顎関節症の人、心身衰弱の人、はホワイトニングや歯並びの治療は適応ではありません。
またセラミックによる歯牙形態修正、歯髄除去をした場合、使用方法、環境により歯牙自体の寿命が短くなる場合、以下の症状が発生する場合があります。
これらの症状の発生の有無及び程度は、ご自身の体質や、治療期間中の体調、ご自身の口腔内清掃の状態により異なります。
歯の痛み、虫歯、歯肉炎、口内炎、歯根吸収、顎関節の違和感、歯槽骨吸収、歯周病、アレルギー症状、歯肉退縮

