【必見!】前歯が噛み合わない それを開口と呼びます①
こんにちは、ワイズデンタルキュアです。
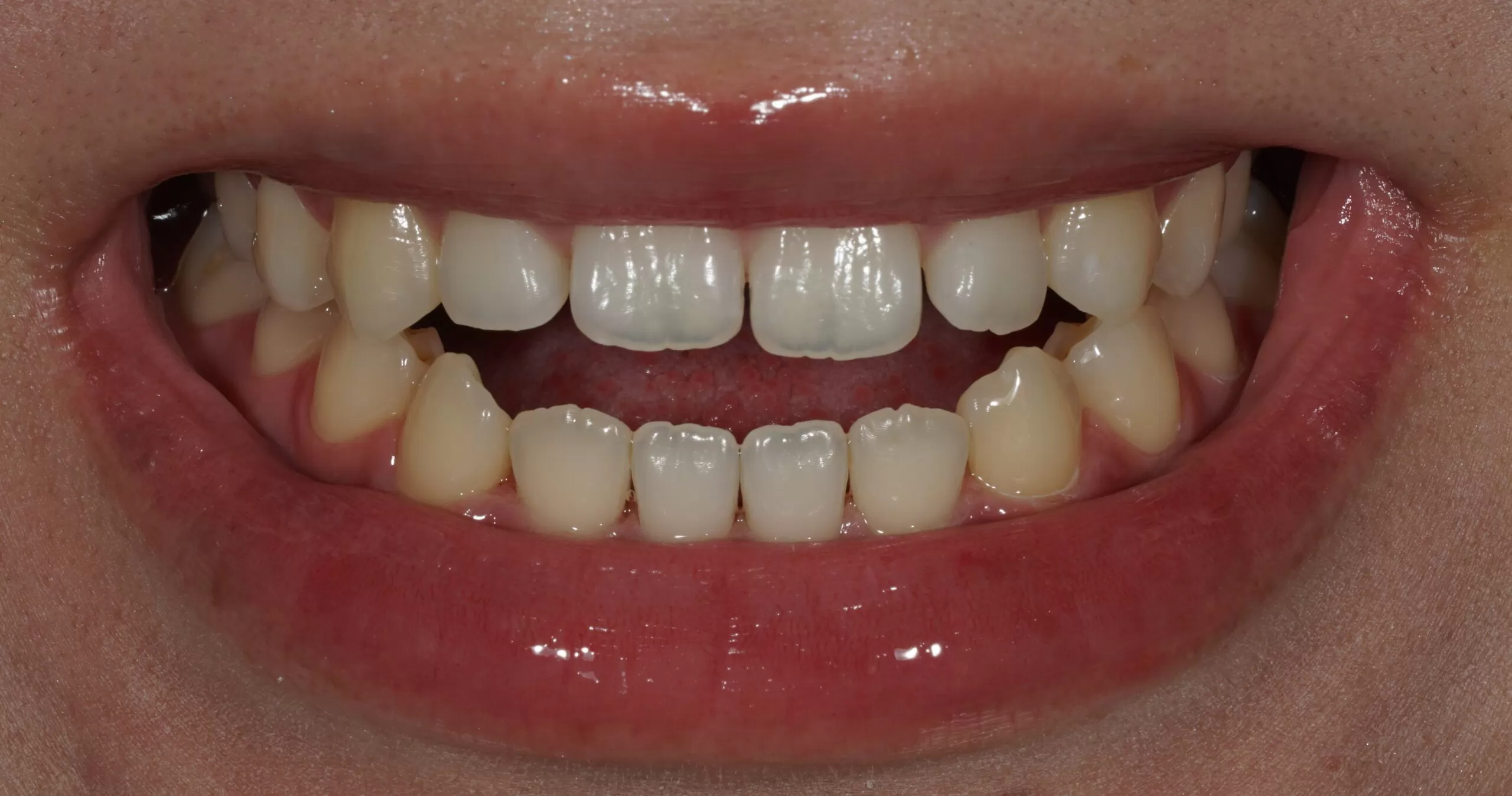
今日は開口症例を歯列矯正した前後をお見せしていきます。

こういう状態を 【開口】と呼びます。
【開口による弊害】
開口は見ての通り、前歯が噛んでいません。
おこりうる弊害としては
食事をかみ切るということができない、というか奥歯で噛んでいます。
奥歯だけでお口の動きを制御するので、奥歯だけが、虫歯になり歯が崩壊していきます。
顎の関節がおかしくなります。
お口が閉じれないので、お口が乾燥しやすく口臭がでます。
歯列矯正で開口を治しました
裏側歯列矯正 ¥1300000
つづく
症例の効果は個人差があり、記載の効果が同様に現れない場合があります。
それは事前カウンセリング、事前検査によってわかりますので、カウンセリング、
検査結果はよくお聞きになっていただき、ご理解を深めた上での施術依頼をお願いいたします。
歯周病の程度や、歯牙の崩壊、本数が少ない場合、虫歯のリスクの高い人、
歯根吸収のリスクが高い人、リード楽器等歯で咥えて吹く楽器の奏者の人、
糖尿病やリウマチ、血液疾患があり、治療が優先的ではない人、
重度の顎関節症の人、心身衰弱の人、は歯並びの治療は適応ではありません。
またセラミックによる歯牙形態修正、歯髄除去をした場合、
使用方法、環境により歯牙自体の寿命が短くなる場合もあります。
ワイヤー器具、マウスピース器具などを用いた歯列矯正、
セラミックによる歯列修正おこなった場合、以下の症状が発生する場合があります。
これらの症状の発生の有無及び程度は、ご自身の体質や、治療期間中の体調、
ご自身の口腔内清掃の状態により異なります。
歯の痛み、虫歯、歯肉炎、口内炎、歯根吸収、顎関節の違和感、歯槽骨吸収、歯周病、
アレルギー症状、歯肉退縮
気になることや不安な部分がありましたらカウンセリング時にお尋ねくださいね!
お住まいの地域と医院との距離や、通院回数、現在の歯列の状態を実際に把握することでメール相談や電話でのお問い合せより、あなた向きなアドバイスを手に出来ると思います(*^_^*)
デンタルローン各種、完備しております。
私たちはあなたの口元のコンプレックスのお悩みを解決します。
もう手でお口を隠して笑わなくてすみます。
メール相談大募集!
歯を白くしたい!歯並び!噛み合わせ!歯がない!虫歯!噛めない!
入れ歯とわからないようにしたい!
などなど、幅広くお答えします。
このような方も、お気軽にご相談ください。
お気軽にメール、公式LINEでもご相談ください。
詳しくは最後までご覧ください。
相談はこちら↓
https://ys-dentalcure.gd-demo-cfbx.net/
ワイズデンタルキュアのインスタグラムはこちら
@ys.dentalcure
https://www.instagram.com/ys.dentalcure/
主に治療症例を紹介しています。
こんな口元コンプレックスの方々がいらしています。
出っ歯さんも
こんなにすっきり
しゃくれさんも
こんなに素敵に
ガミースマイルさんも
こんな口元美人さんへ
ガチャガチャ歯並びさんも
こんなにそろってる
歯が黄色い!
こんなに白く
歯が大きい、歯が小さい、歯が汚い、銀歯が目立つ、治療跡が目立つ
などなど コンプレックスの皆さんも、悩んでいるなら即電話!
カウンセリングは無料ですから、ドンドン聞きにきてください。
歯並びのお悩みは、
WEBサイト
https://ys-dentalcure.gd-demo-cfbx.net/form/index.php
もしくはメールでご相談ください。
ご希望の治療内容を
1.針金はいやだ!(治療期間通常1ヶ月~)
2.下の歯だけならいい(治療期間半年~)
3.針金でいい(治療期間3年~)
この三つのどれかを選んで三方向の歯並び画像と一緒に送ってください。
info@ys-dentalcure.gd-demo-cfbx.net
よろしくお願いします。
メール相談は院長自ら診療の合間にお返ししております。
緊急性の高いものから順番にお返ししております。
金額のお問い合わせやご予約などのご用件はお電話でお願いいたします。
治療ご予約 お電話はこちらへ 03-3953-8766
ワイズデンタルキュアのブログはこちら
http://ameblo.jp/ys-dentalcure/
お問い合わせはこちらまでお願いします。
医療法人社団 デンタルキュア
ワイズデンタルキュア
https://ys-dentalcure.gd-demo-cfbx.net/
お電話はこちらへ 03-3953-8766
info@ys-dentalcure.gd-demo-cfbx.net
東京都豊島区目白3-4-11目白NCKビル3F
