こんにちは、ワイズデンタルキュアです。

近頃、所々でボロが出始めた、マウスピース矯正。

美容ビジネス器具と考えるか、歯列矯正をするための医療器具の一つと考えるかで

随分と違います。

【極論をお話します。】

マウスピース矯正は、気軽に始められそうなイメージがあることから

【部分矯正】的感覚を持たれる方が多い

例えばこちら

前歯だけが並びが悪く見えます。部分矯正で治すイメージですよね。
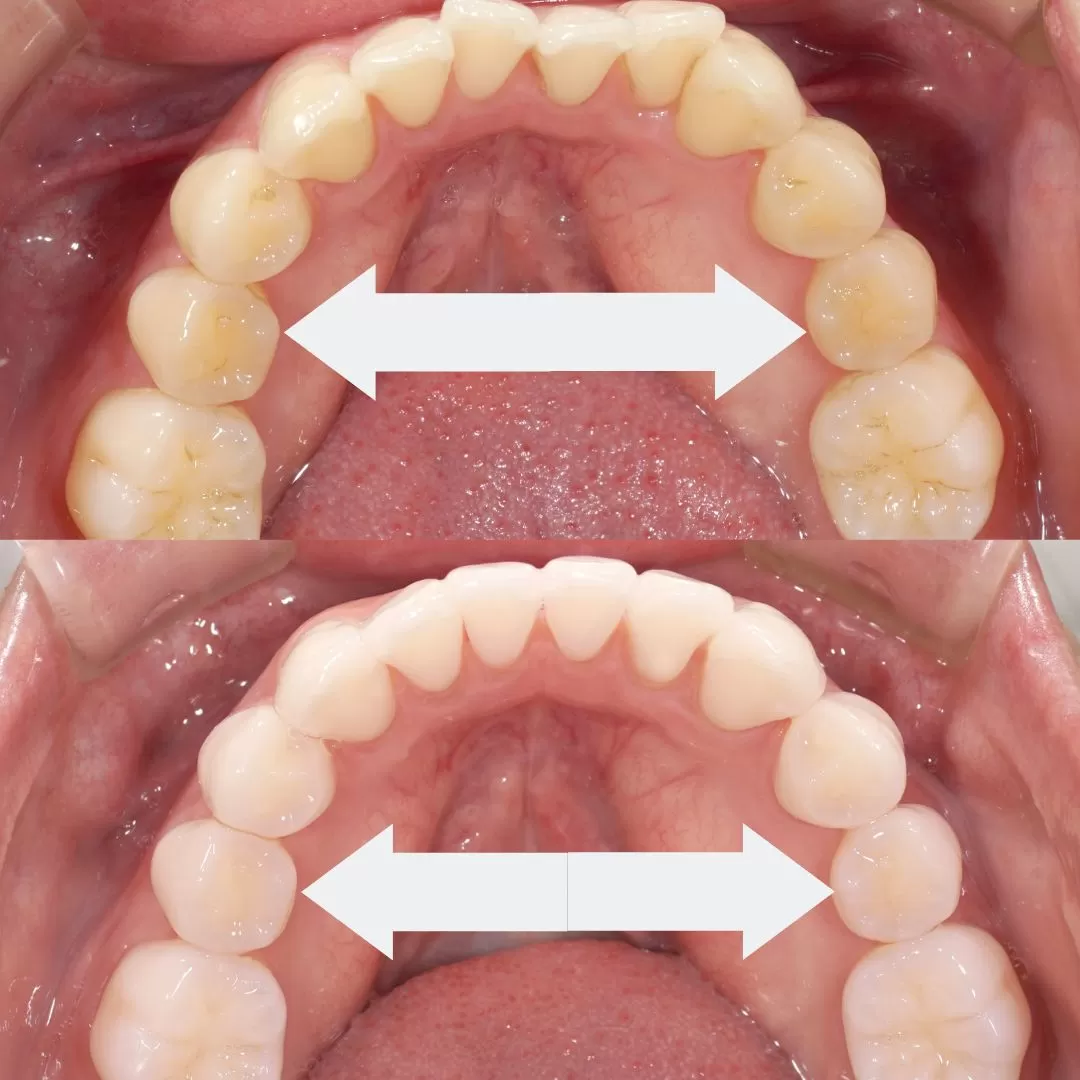
しかしながらこちらはこのように治したのですが

並んでおりますが、並べるというよりも、整えるという感性で考えると

少々方法論が変わります。

 

では模型を見てみましょう

 

極論ですが、こんな歯並びがあったとします。

前歯が気になるとして、前歯を部分矯正で考えるとこうなります。

 

 

そうなんです、部分で考えるとスペースを求めて

 

出るんです。

 

今回のケースはスペースを求めて

【拡大】ということをしています。

 

 

歯の軸を起こしましてスペースを作るのです。

奥歯の噛み合わせの位置が変わるので、奥からの治療となり

全体での歯列矯正となります。

このように拡大する歯列矯正には良いことがたくさんあります。

つづく

 

インビザライン コンプリヘイシブパッケージ 5年保証 精密検査治療毎調整料含む ¥1100000