うさぎちゃんのお悩み

歯並びをセラミックで治すと歯がダメになると聞いたが
本当か教えてほしい

今回の主訴でした。

歯並びをセラミックで治すと歯にいいのか、悪いのか?

この答えをするだけなら、単純に 良くはない というのが
答え

なぜならば、失うものも多いから。
歯質、時に神経

つまりダメにする要素は

歯を削ることと、神経を残さないことです。

というのならば、歯をどこまで削らないで、神経を残し
どこまで仕上げられるか?ということを問いかけたのが
今回のケースです。

特に今回のケース、歯列矯正で仕上げても前歯の形の不揃いは
どうしますか?
気にならなければ良いかもですが、気にするなら。
場合によっては歯列矯正をしても、セラミックを使用する
処置は必要かもしれません。

歯並びは一般的には歯列矯正で治すものです。
しかしながら、歯列矯正にも闇はあるもので、みなさんが
思われているよりも相当数、

歯列矯正を途中でやめている人はいたりするんです。

特に気軽にはじめた、マウスピース矯正はその確率は
格段に上がります。

歯列矯正を途中でやめるとそのあとのリカバリーは
セラミックの治療に回ってくることが多いのです。

その際のセラミックを使用する歯の本数、失う歯質の量
神経をとったり、歯をぬくこととなったり

失うものは、最初からセラミックを選択なさったケースよりも
格段に多くなります。

何が良いのか、悪いのかではなく。

ご自身の人生設計に何があうのか?そういうことだと思います。

 

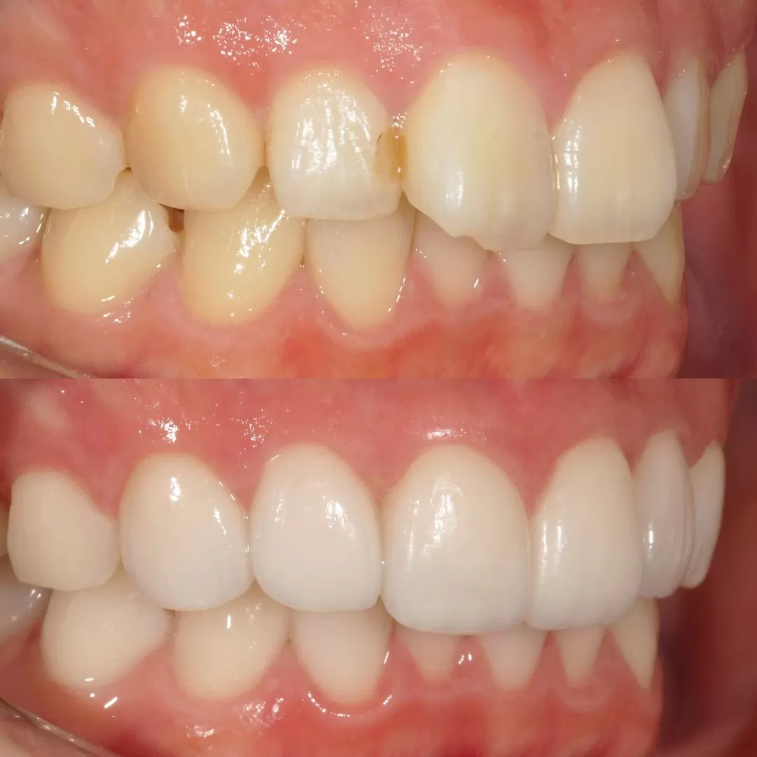
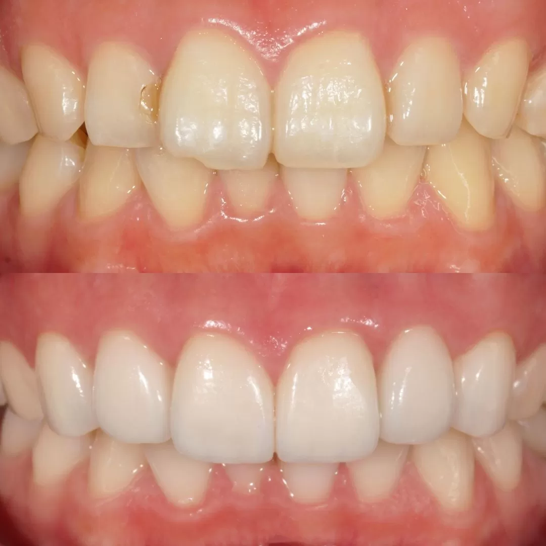
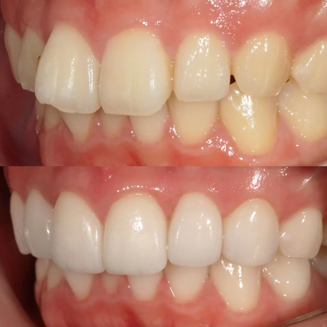
前歯6本をセラミッククラウンにて仕上げました。

価格は一本ハイクラスセラミック ¥187000

 

デンタルローンはスルガ銀行、アプラスがございます。

 

私たちはあなたの口元のコンプレックスのお悩みを解決します。

もう手でお口を隠して笑わなくてすみます。

メール相談大募集!
歯を白くしたい!歯並び!噛み合わせ!歯がない!虫歯!

噛めない!
入れ歯とわからないようにしたい!
などなど、幅広くお答えします。

  
このような方、お気軽にご相談ください。

ワイズは世間のイメージと違い

逆にお口が崩壊しているような

画像のような症例が得意です。

◇◇お気軽にLINE、メールでご相談ください。◇◇

歯並び、噛み合わせ、多発性の虫歯のお悩みは、

まずは各種オンライン相談で!

その方法は???

こちらのサイトのお問い合わせフォームから

お問い合わせください。

https://ys-dentalcure.gd-demo-cfbx.net/

噛み合わせや、その他歯のお悩みは

そのままお困りの内容をご記載ください。

歯並びのご相談の場合はご希望の治療内容を
1.針金はいやだ!(治療期間通常1ヶ月~)
2.下の歯だけならいい(治療期間半年~)
3.針金でいい(治療期間2年~)
この三つのどれかを選んで三方向の歯並び画像と一緒に

送ってください。

お待ちしております。
□□□□□□□□□□□□□□□□□□□□□□□□□□□□□□□□□□□□□□□

ご予約 お電話はこちらへ03-3953-8766

お問い合わせはこちらまでお願いします。
医療法人社団 デンタルキュア

ワイズデンタルキュア
https://ys-dentalcure.gd-demo-cfbx.net/

info@ys-dentalcure.gd-demo-cfbx.net

東京都豊島区目白3-4-11目白NCKビル3F

お電話はこちらへ03-3953-8766

JR山手線 目白駅 徒歩1分

 

改札口から100メートルもありません!!
再度、日本人の歯を綺麗にする・・・・BIGIN the 綺麗 をテーマに

再始動します!

⭐️⭐️⭐️⭐️ 歯周病の程度や、歯牙の崩壊、本数が少ない場合、虫歯のリスクの高い人、歯根吸収のリスクが高い人、リード楽器等歯で咥えて吹く楽器の奏者の人、糖尿病やリウマチ、血液疾患があり、治療が優先的ではない人、重度の顎関節症の人、心身衰弱の人、はホワイトニングや歯並びの治療は適応ではありません。
またセラミックによる歯牙形態修正、歯髄除去をした場合、使用方法、環境により歯牙自体の寿命が短くなる場合、以下の症状が発生する場合があります。
これらの症状の発生の有無及び程度は、ご自身の体質や、治療期間中の体調、ご自身の口腔内清掃の状態により異なります。
歯の痛み、虫歯、歯肉炎、口内炎、歯根吸収、顎関節の違和感、歯槽骨吸収、歯周病、アレルギー症状、歯肉退縮