こんにちは、ワイズデンタルキュアです。

今日は休診日になりますが、移動しながらブログの更新をしています。

さて先日からご紹介している うさぎちゃん ですが

綺麗の秘訣、とともに長持ちさせる歯科医師側の新努力についてお話します。

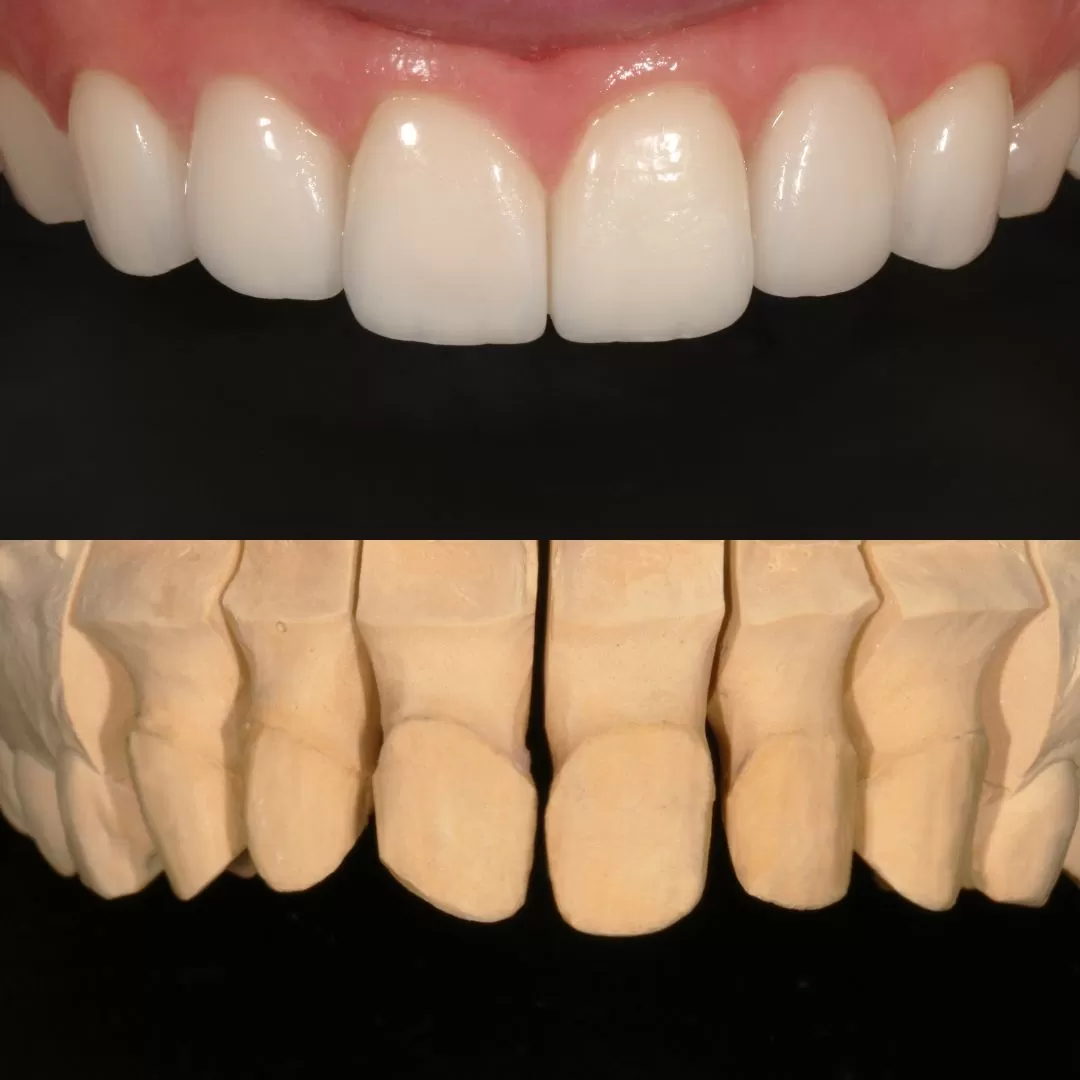
まずは、お口の中に装着した状態です。

こちらはクラウンと呼ばれる、全部かぶせられた状態になりますが

皆さんが通常お受けになっているクラウンの半分以下の歯の切削量に

なっています。

周り一周ラミネートべニアという状態になります。

このような歯の削り方は

1にご自身のもつ、歯の内部構造を生かし、薄いセラミックで

覆うことで、今まで表層のセラミックだけで歯のグラデーションを

表現していたものが

内部から透けて見えてくるということができます。

もっとも自然感を作り出せる方法です。

つづく

前歯6本をセラミッククラウンにて仕上げました。

価格は一本ハイクラスセラミック ¥187000

私たちはあなたの口元のコンプレックスのお悩みを解決します。
もう手でお口を隠して笑わなくてすみます。

メール相談大募集!
歯を白くしたい!歯並び!噛み合わせ!歯がない!虫歯!

噛めない!
入れ歯とわからないようにしたい!
などなど、幅広くお答えします。

  
このような方、お気軽にご相談ください。

◇◇お気軽にLINE、メールでご相談ください。◇◇

歯並び、噛み合わせ、多発性の虫歯のお悩みは、

まずは各種オンライン相談で!

その方法は???

こちらのサイトのお問い合わせフォームから

お問い合わせください。

https://ys-dentalcure.gd-demo-cfbx.net/

噛み合わせや、その他歯のお悩みは

そのままお困りの内容をご記載ください。

歯並びのご相談の場合はご希望の治療内容を
1.針金はいやだ!(治療期間通常1ヶ月~)
2.下の歯だけならいい(治療期間半年~)
3.針金でいい(治療期間2年~)
この三つのどれかを選んで三方向の歯並び画像と一緒に

送ってください。

お待ちしております。
□□□□□□□□□□□□□□□□□□□□□□□□□□□□□□□□□□□□□□□

ご予約 お電話はこちらへ03-3953-8766

お問い合わせはこちらまでお願いします。
医療法人社団 デンタルキュア

ワイズデンタルキュア
https://ys-dentalcure.gd-demo-cfbx.net/

info@ys-dentalcure.gd-demo-cfbx.net

東京都豊島区目白3-4-11目白NCKビル3F

お電話はこちらへ03-3953-8766

JR山手線 目白駅 徒歩1分

 

改札口から100メートルもありません!!
再度、日本人の歯を綺麗にする・・・・BIGIN the 綺麗 をテーマに

再始動します!

⭐️⭐️⭐️⭐️ 歯周病の程度や、歯牙の崩壊、本数が少ない場合、虫歯のリスクの高い人、歯根吸収のリスクが高い人、リード楽器等歯で咥えて吹く楽器の奏者の人、糖尿病やリウマチ、血液疾患があり、治療が優先的ではない人、重度の顎関節症の人、心身衰弱の人、はホワイトニングや歯並びの治療は適応ではありません。
またセラミックによる歯牙形態修正、歯髄除去をした場合、使用方法、環境により歯牙自体の寿命が短くなる場合、以下の症状が発生する場合があります。
これらの症状の発生の有無及び程度は、ご自身の体質や、治療期間中の体調、ご自身の口腔内清掃の状態により異なります。
歯の痛み、虫歯、歯肉炎、口内炎、歯根吸収、顎関節の違和感、歯槽骨吸収、歯周病、アレルギー症状、歯肉退縮