歯列矯正を簡単に、すませる方法とは。美人矯正。

木をみて森を見ず。とはよく言ったものです。
お顔をみないで歯だけ見る。
まさかとは思っていると思いますが、歯列矯正にはよく
起こりえることです。
そもそも歯列矯正って歯並びさえ整えば、契約完了ですよね。
そもそも歯列矯正は美容ではありませんよ?
そこが穴です。
よく考えてください。
歯列矯正には歯並びとして、噛み合わせとして、
簡単なものもあるし、難しいものもある。
しかしながら、金額は大概一律。まあ相場は100万円。
それよりも安いものもあれば高いものもある。
クルマの修理にたとえてみましょう。

こんなめちゃくちゃになった車の修理代と

このライトの破損のクルマの修理代は
ものすごく違いますよね?
でも歯列矯正は金額が一律です。
治療というものは時に、難しい症例すら簡単にすますこともできます。
たとえば、あまり奥歯を動かさないで、前歯の並びだけそこそこ整えれば
噛み合わせも治りませんし、後戻りもしやすいですが簡単に終わらせます。
こちらの考え方次第でどうとでもなるのです。
そしてまたお顔のバランスや、顎の関節、噛み合わせなどみるようにしてしまえば
時には簡単な症例すら難しい部分が出てきたりするものです。
だから歯科医師が、木をみて森を見ず。歯をみて顔を見ず。
これが一番簡単な歯列矯正の方法なんです。
次の方を見てください。
他院で、もうそろそろ終了する裏側矯正の方です。
口元どうなってますか?

出てませんか?口元。
下の唇のほうが出ているかもしれません。
顎に梅干しのようなシワができているのは
お口を閉じにくい証拠です。
この方のスタートのお顔がわからないのでなんとも言えませんが
歯は並んでいました。
ただし口元が出たことで
鼻は低いことになったでしょう。
歯も長くなったでしょう。
ここまで治療がすすめば再治療は困難です。
このようなことが無きよう、お顔に関してはこのような検査をしています。
この症例の方

つぎのようなセファロ分析という検査をします。

分析より導いた治療により下の画像のような、状態に口元は変化しそうです。

しかしながら引っ込めたいと患者さんが強い要望をもつと
結果的にはこんな風になってしまいます。

こんなになっちゃうと知っていれば、その治療計画では引っ込めすぎになってしまう
と知れますよね。
そしてまた、なんでも非抜歯がいいと思っているとこのように、

歯並びは整いますが、噛み合わせも、お顔も、木を見て森を見ず。です。
こうなってからではやり直しは、困難。
歯列矯正の検査は、もうこのようなネクストステージへ。
歯並びを整えるのが歯列矯正と思っておりますから安い矯正にご注意です。
特に、エステ矯正では 引っ込みません。
続く。
ご相談いつでもお受けしております。
ローンはスルガ銀行、
スルガ銀行は一年間元金据え置きローンもあるので、
月三千円代から歯列矯正ができます。
私たちはあなたの口元のコンプレックスのお悩みを解決します。
もう手でお口を隠して笑わなくてすみます。
メール相談大募集!
歯を白くしたい!歯並び!噛み合わせ!歯がない!虫歯!噛めない!
入れ歯とわからないようにしたい!
などなど、幅広くお答えします。
このような方、お気軽にご相談ください。ワイズは世間のイメージと違い
逆にお口が崩壊しているような
画像のような症例が得意です。
◇◇お気軽にLINE、メールでご相談ください。◇◇
歯並び、噛み合わせ、多発性の虫歯のお悩みは、
まずは各種オンライン相談で!
その方法は???
1.こちらのサイトのお問い合わせフォームから
お問い合わせいただく
https://ys-dentalcure.gd-demo-cfbx.net/
2.公式LINEから相談をいただく。
3.直接メールをいただく。
info@ys-dentalcure.gd-demo-cfbx.net
噛み合わせや、その他歯のお悩みは
そのままお困りの内容をご記載ください。
歯並びのご相談の場合はご希望の治療内容と
三方向の歯並び画像と一緒に送ってください。
お待ちしております。
□□□□□□□□□□□□□□□□□□□□□□□□□□□□□□□□□□□□□□□ご予約 お電話はこちらへ03-3953-8766
お問い合わせはこちらまでお願いします。
医療法人社団 デンタルキュア
ワイズデンタルキュア
https://ys-dentalcure.gd-demo-cfbx.net/info@ys-dentalcure.gd-demo-cfbx.net
東京都豊島区目白3-4-11目白NCKビル3F
お電話はこちらへ03-3953-8766
JR山手線 目白駅 徒歩1分
改札口から100メートルもありません!!
再度、日本人の歯を綺麗にする・・・・BIGIN the 綺麗 をテーマに再始動します!
⭐️⭐️⭐️⭐️ 歯周病の程度や、歯牙の崩壊、本数が少ない場合、虫歯のリスクの高い人、歯根吸収のリスクが高い人、リード楽器等歯で咥えて吹く楽器の奏者の人、糖尿病やリウマチ、血液疾患があり、治療が優先的ではない人、重度の顎関節症の人、心身衰弱の人、はホワイトニングや歯並びの治療は適応ではありません。
またセラミックによる歯牙形態修正、歯髄除去をした場合、使用方法、環境により歯牙自体の寿命が短くなる場合、以下の症状が発生する場合があります。
これらの症状の発生の有無及び程度は、ご自身の体質や、治療期間中の体調、ご自身の口腔内清掃の状態により異なります。
歯の痛み、虫歯、歯肉炎、口内炎、歯根吸収、顎関節の違和感、歯槽骨吸収、歯周病、アレルギー症状、歯肉退縮2021.12.15
美人を目指した歯列矯正はワイズデンタルキュアだけです。
そもそも審美歯科というものに、歯列矯正は該当するのか?
以前はこれは NO でした。
しかしながら今現在は、患者さんの傾向として YES のようです。
さて皆さん、歯列矯正をすると美人になる、綺麗になるのでしょうか?
ほとんどの方が、
綺麗になるんじゃないの?美人になるって聞いたよ?
そう思っていると思います。
しかしながら、実際はそれはわからないのです。
そもそも、歯列矯正は
美人になるために行うものではなく
歯並び、噛み合わせの不調和からくる変調、
それによる摂食障害(食べ物が食べにくい)
などの疾患(病気)の治療です。
その治療のついでに気が付けば綺麗になることもあります、
という付随項目として
綺麗になるは存在するんです。
いってみれば、猫背の人が、猫背のせいでいつも肩こり、頭痛。
整体に行って、姿勢を正しました→猫背を治してみれば
もしかしたらカッコいいこともあるかもしれない!
いや実際にそういうこともあるでしょうし、上を向いてみたら性格も明るくなり
素敵にみえてきた!絶対あるでしょう、そういうこと。
ただ歯並びを整えた!というだけでは全体像として美人になっているのかは
わからない。
でもね、美人を目指して歯列矯正をする、そういう歯列矯正をワイズデンタルキュアは
提唱しています。
その辺も少しずつお話していきます。
続く。
ご相談いつでもお受けしております。
ローンはスルガ銀行、
スルガ銀行は一年間元金据え置きローンもあるので、
月三千円代から歯列矯正ができます。
私たちはあなたの口元のコンプレックスのお悩みを解決します。
もう手でお口を隠して笑わなくてすみます。
メール相談大募集!
歯を白くしたい!歯並び!噛み合わせ!歯がない!虫歯!噛めない!
入れ歯とわからないようにしたい!
などなど、幅広くお答えします。
このような方、お気軽にご相談ください。ワイズは世間のイメージと違い
逆にお口が崩壊しているような
画像のような症例が得意です。
◇◇お気軽にLINE、メールでご相談ください。◇◇
歯並び、噛み合わせ、多発性の虫歯のお悩みは、
まずは各種オンライン相談で!
その方法は???
1.こちらのサイトのお問い合わせフォームから
お問い合わせいただく
https://ys-dentalcure.gd-demo-cfbx.net/
2.公式LINEから相談をいただく。
3.直接メールをいただく。
info@ys-dentalcure.gd-demo-cfbx.net
噛み合わせや、その他歯のお悩みは
そのままお困りの内容をご記載ください。
歯並びのご相談の場合はご希望の治療内容と
三方向の歯並び画像と一緒に送ってください。
お待ちしております。
□□□□□□□□□□□□□□□□□□□□□□□□□□□□□□□□□□□□□□□ご予約 お電話はこちらへ03-3953-8766
お問い合わせはこちらまでお願いします。
医療法人社団 デンタルキュア
ワイズデンタルキュア
https://ys-dentalcure.gd-demo-cfbx.net/info@ys-dentalcure.gd-demo-cfbx.net
東京都豊島区目白3-4-11目白NCKビル3F
お電話はこちらへ03-3953-8766
JR山手線 目白駅 徒歩1分
改札口から100メートルもありません!!
再度、日本人の歯を綺麗にする・・・・BIGIN the 綺麗 をテーマに再始動します!
⭐️⭐️⭐️⭐️ 歯周病の程度や、歯牙の崩壊、本数が少ない場合、虫歯のリスクの高い人、歯根吸収のリスクが高い人、リード楽器等歯で咥えて吹く楽器の奏者の人、糖尿病やリウマチ、血液疾患があり、治療が優先的ではない人、重度の顎関節症の人、心身衰弱の人、はホワイトニングや歯並びの治療は適応ではありません。
またセラミックによる歯牙形態修正、歯髄除去をした場合、使用方法、環境により歯牙自体の寿命が短くなる場合、以下の症状が発生する場合があります。
これらの症状の発生の有無及び程度は、ご自身の体質や、治療期間中の体調、ご自身の口腔内清掃の状態により異なります。
歯の痛み、虫歯、歯肉炎、口内炎、歯根吸収、顎関節の違和感、歯槽骨吸収、歯周病、アレルギー症状、歯肉退縮2021.12.13
歯の表面が乾くでしょう?砂漠のようなセラミックを入れる女性!
歯紅っていうんですね。歯にリップが付いて赤く染まっているような状態を。
なんで歯紅が付くか知っていますか?歯紅なあなたは危険信号!
さて、あなたのセラミックは乾きませんか?こんなことしていませんか?
これは歯の表面が濡れてなくて、乾いていて唇が張り付くからやる動作です。
時々電車で見かけます。
さて、それでは前回までの症例です。
これを

これに

改変依頼を受けた症例でテクニックについてお話しようと
思います。
このように仕上げた歯には下の画像のような、生物学的構造が付与されて
います。

歯の表面が波打っていることがわかりますか?
この役割についてお話しようと思います。

斜め上から歯を見ます。
そうするとこのような溝、凹みが見えるはずです。

凸凹していてツルんと平らにしちゃって欲しいと
言う方も多いですが、
これには重大な役割があるんです。それがコレです。

1.赤い楕円の部分に唾液が溜まります。
2.溜まりきると、あふれて溝に沿って下に流れ
3.唾液が拡散することで、ウェットな歯面が保たれて
常に歯の表面が潤うことで、歯を守ります。
リップもくっつかないのです。
しかしながらこういう性状のセラミックの歯は、もしくはセラミックだけでなく
保険の前歯もいっしょです。

こういうツルんとした歯は製作が簡単なので、お安い歯は大抵このように
なりがちです。
安いのは利点ですが、欠点は
歯紅がつく!です。
表面が乾燥しているので、汚れも付きます。流れません。
自浄作用が皆無です。
このように、いくら美容といえど、生物の自然的活動をできなくする
ということはしいては
老化につながるので、ご自身にとっても本望ではないと思います。
アンチエイジングとは美容のことではないということです。
健康要素も必要なのですということです。
本来は機能改善をした結果、美が得れている、それが審美歯科ではないか?
と思います。
セラミック編 完
次回審美歯科って知ってますか?歯列矯正編につづく。
ご相談いつでもお受けしております。
ローンはスルガ銀行、アプラス、
スルガ銀行は一年間元金据え置きローンもあるので、
月三千円代から歯列矯正ができます。
私たちはあなたの口元のコンプレックスのお悩みを解決します。
もう手でお口を隠して笑わなくてすみます。
メール相談大募集!
歯を白くしたい!歯並び!噛み合わせ!歯がない!虫歯!噛めない!
入れ歯とわからないようにしたい!
などなど、幅広くお答えします。
このような方、お気軽にご相談ください。ワイズは世間のイメージと違い
逆にお口が崩壊しているような
画像のような症例が得意です。
◇◇お気軽にLINE、メールでご相談ください。◇◇
歯並び、噛み合わせ、多発性の虫歯のお悩みは、
まずは各種オンライン相談で!
その方法は???
1.こちらのサイトのお問い合わせフォームから
お問い合わせいただく
https://ys-dentalcure.gd-demo-cfbx.net/
2.公式LINEから相談をいただく。
3.直接メールをいただく。
info@ys-dentalcure.gd-demo-cfbx.net
噛み合わせや、その他歯のお悩みは
そのままお困りの内容をご記載ください。
歯並びのご相談の場合はご希望の治療内容と
三方向の歯並び画像と一緒に送ってください。
お待ちしております。
□□□□□□□□□□□□□□□□□□□□□□□□□□□□□□□□□□□□□□□ご予約 お電話はこちらへ03-3953-8766
お問い合わせはこちらまでお願いします。
医療法人社団 デンタルキュア
ワイズデンタルキュア
https://ys-dentalcure.gd-demo-cfbx.net/info@ys-dentalcure.gd-demo-cfbx.net
東京都豊島区目白3-4-11目白NCKビル3F
お電話はこちらへ03-3953-8766
JR山手線 目白駅 徒歩1分
改札口から100メートルもありません!!
再度、日本人の歯を綺麗にする・・・・BIGIN the 綺麗 をテーマに再始動します!
⭐️⭐️⭐️⭐️ 歯周病の程度や、歯牙の崩壊、本数が少ない場合、虫歯のリスクの高い人、歯根吸収のリスクが高い人、リード楽器等歯で咥えて吹く楽器の奏者の人、糖尿病やリウマチ、血液疾患があり、治療が優先的ではない人、重度の顎関節症の人、心身衰弱の人、はホワイトニングや歯並びの治療は適応ではありません。
またセラミックによる歯牙形態修正、歯髄除去をした場合、使用方法、環境により歯牙自体の寿命が短くなる場合、以下の症状が発生する場合があります。
これらの症状の発生の有無及び程度は、ご自身の体質や、治療期間中の体調、ご自身の口腔内清掃の状態により異なります。
歯の痛み、虫歯、歯肉炎、口内炎、歯根吸収、顎関節の違和感、歯槽骨吸収、歯周病、アレルギー症状、歯肉退縮2021.12.07
セラミックの歯を作るときに大事なのは先生とあなたの感性の一致。
さて、前回審美歯科という歯科医院の症例をお見せいたしました。
こちらです。

こちらを美しいと思う感性も
こちらを醜く思う感性も
人それぞれだし、噛み合わせやそれによる弊害などを目をつぶれば
患者さんの自由 なわけです。
ですので、審美歯科治療と言われているもので気を付けなければならないのは
歯科医院と自分の感性があっているのか?ということです。
これがズレているとき、どちらが悪いわけでもなくトラブルが起きます。
つまりこの患者さんは審美歯科でこの前歯のセラミック化の治療を受けて

この状態になり、それが歯科医院と患者さんの感性にズレがあった。
というだけであるということです。
歯科医院からすれば技術提供はしたのですから、商品は納品済みで責任の所在は
ないこととなります。
つまり
自分とはあわない、自分がヘンテコだと思う服を間違って買ってしまい
しかもすでに着て出かけてしまって、友達に会ったら
ウケる!なんでそんな恰好しているの?
と言われても返品できません。
それは、その服屋で買ってしまった自分と服屋の感性が合わないというだけです。
値段の割には縫製が甘いとか言いたいことがあってもです。
ワイズデンタルキュアの感性は
この状態を

このように仕上げる感性です。

前述したとおり、
出っ歯に仕上げることで下の歯がみえなくなっていましたが
引っ込めたので下の歯は少々見えてまいりました。
当方と読者さまの感性は合うのでしょうか?
合うのであればご相談をお受けすることができると思います。
感性というのは、歯科医院の選び方にも言えることでしょう。
続く
ご相談いつでもお受けしております。
ローンはスルガ銀行、アプラス、
スルガ銀行は一年間元金据え置きローンもあるので、
月三千円代から歯列矯正ができます。
私たちはあなたの口元のコンプレックスのお悩みを解決します。
もう手でお口を隠して笑わなくてすみます。
メール相談大募集!
歯を白くしたい!歯並び!噛み合わせ!歯がない!虫歯!噛めない!
入れ歯とわからないようにしたい!
などなど、幅広くお答えします。
このような方、お気軽にご相談ください。ワイズは世間のイメージと違い
逆にお口が崩壊しているような
画像のような症例が得意です。
◇◇お気軽にLINE、メールでご相談ください。◇◇
歯並び、噛み合わせ、多発性の虫歯のお悩みは、
まずは各種オンライン相談で!
その方法は???
1.こちらのサイトのお問い合わせフォームから
お問い合わせいただく
https://ys-dentalcure.gd-demo-cfbx.net/
2.公式LINEから相談をいただく。
3.直接メールをいただく。
info@ys-dentalcure.gd-demo-cfbx.net
噛み合わせや、その他歯のお悩みは
そのままお困りの内容をご記載ください。
歯並びのご相談の場合はご希望の治療内容と
三方向の歯並び画像と一緒に送ってください。
お待ちしております。
□□□□□□□□□□□□□□□□□□□□□□□□□□□□□□□□□□□□□□□ご予約 お電話はこちらへ03-3953-8766
お問い合わせはこちらまでお願いします。
医療法人社団 デンタルキュア
ワイズデンタルキュア
https://ys-dentalcure.gd-demo-cfbx.net/info@ys-dentalcure.gd-demo-cfbx.net
東京都豊島区目白3-4-11目白NCKビル3F
お電話はこちらへ03-3953-8766
JR山手線 目白駅 徒歩1分
改札口から100メートルもありません!!
再度、日本人の歯を綺麗にする・・・・BIGIN the 綺麗 をテーマに再始動します!
⭐️⭐️⭐️⭐️ 歯周病の程度や、歯牙の崩壊、本数が少ない場合、虫歯のリスクの高い人、歯根吸収のリスクが高い人、リード楽器等歯で咥えて吹く楽器の奏者の人、糖尿病やリウマチ、血液疾患があり、治療が優先的ではない人、重度の顎関節症の人、心身衰弱の人、はホワイトニングや歯並びの治療は適応ではありません。
またセラミックによる歯牙形態修正、歯髄除去をした場合、使用方法、環境により歯牙自体の寿命が短くなる場合、以下の症状が発生する場合があります。
これらの症状の発生の有無及び程度は、ご自身の体質や、治療期間中の体調、ご自身の口腔内清掃の状態により異なります。
歯の痛み、虫歯、歯肉炎、口内炎、歯根吸収、顎関節の違和感、歯槽骨吸収、歯周病、アレルギー症状、歯肉退縮2021.12.01
安かろうが高かろうがセラミックを作ることがうまい技工士はそんなにいない。
前回までは、
1.実は審美歯科という学問はない、すべての治療に必ず審美という感性は
盛り込まれるもの。
2.歯科医師と患者さんの間には時に審美という感性に違いがあることが多い。
というお話をしました。
さて今回からは、審美歯科のやりなおし依頼
の症例を交えてお話を続けます。
症例1
審美歯科のやりなおし(セラミック矯正編)

このケースです。皆さんはこの歯並び、歯の色、歯の形、好きですか?
きれいだなって思うのでしょうか?
これだって一つの人の感性の正解なのです。
こういうものは現代においては審美歯科の症例と言われるものと
なっています。
前回もお話ししましたが、このようなセラミック色を作成することは
逆に容易ですし、時間もかかりません。
しかしながらこのような色のセラミックを出してくる歯科医院が
少ないのは
「まさかこんな色を望んではいないだろう」という歯科医院側の感性がない、
今回のような症例を生み出す感性を持ち合わせていないからです。
通われている歯医者さんで
「望むものを作ってくれない、言っても言っても変な形ができあがる」
とお話をされる患者さんがいますが、それは結局感性が合わないということです。
前回お話ししましたが、歯科医師はこういう仕上げが
駄作と感じます。へたくそだと感じます。
こういう仕上がりが、噛み合わせやのちの弊害などを
別としても、好きな人もいるもので、
それは感性の問題なので、何が間違いなのだという
訳ではないといえます。
この症例の方は審美歯科にてこの歯が入って
相当いやだったようで
その足で、カウンセリングにいらっしゃいました。
今回この症例をお出ししているのは、
こういう歯を作るということは、ここからお話するような問題点を抱えているのだ
ということをお教えしたいからです。
理解した上なら、このような内容で治療をお受けになることは
患者さんの自由と考えています。

さて私含め、歯科医師的には、口元になるとより不思議な感じです。
多分このような歯がもしも変でないとするなら
お顔をかなり改造されている方、もしくはもともと
ものすごくお顔が整っているなど
純粋な日本人(アジア??)には合わないと思います。
しかしながらそれすら感性です。

歯を前から撮影したところはこちらです。

噛み合わせや、歯茎、口腔内環境に関するようなことを
ここではあえてお話をしませんが、
ただ純粋にかぶせ物として見させていただいても
少々首をかしげるようなものでありました。

噛み合わせの面から見たところです。

とにかく分厚いんです。
歯並びの帳尻を厚みで整えているので
結論、出っ歯にしているのです。
問題点、疑問点の説明は次回にも続きます。
続く。
ご相談いつでもお受けしております。
ローンはスルガ銀行、アプラス、
スルガ銀行は一年間元金据え置きローンもあるので、
月三千円代から歯列矯正ができます。
私たちはあなたの口元のコンプレックスのお悩みを解決します。
もう手でお口を隠して笑わなくてすみます。
メール相談大募集!
歯を白くしたい!歯並び!噛み合わせ!歯がない!虫歯!噛めない!
入れ歯とわからないようにしたい!
などなど、幅広くお答えします。
このような方、お気軽にご相談ください。ワイズは世間のイメージと違い
逆にお口が崩壊しているような
画像のような症例が得意です。
◇◇お気軽にLINE、メールでご相談ください。◇◇
歯並び、噛み合わせ、多発性の虫歯のお悩みは、
まずは各種オンライン相談で!
その方法は???
1.こちらのサイトのお問い合わせフォームから
お問い合わせいただく
https://ys-dentalcure.gd-demo-cfbx.net/
2.公式LINEから相談をいただく。
3.直接メールをいただく。
info@ys-dentalcure.gd-demo-cfbx.net
噛み合わせや、その他歯のお悩みは
そのままお困りの内容をご記載ください。
歯並びのご相談の場合はご希望の治療内容と
三方向の歯並び画像と一緒に送ってください。
お待ちしております。
□□□□□□□□□□□□□□□□□□□□□□□□□□□□□□□□□□□□□□□ご予約 お電話はこちらへ03-3953-8766
お問い合わせはこちらまでお願いします。
医療法人社団 デンタルキュア
ワイズデンタルキュア
https://ys-dentalcure.gd-demo-cfbx.net/info@ys-dentalcure.gd-demo-cfbx.net
東京都豊島区目白3-4-11目白NCKビル3F
お電話はこちらへ03-3953-8766
JR山手線 目白駅 徒歩1分
改札口から100メートルもありません!!
再度、日本人の歯を綺麗にする・・・・BIGIN the 綺麗 をテーマに再始動します!
⭐️⭐️⭐️⭐️ 歯周病の程度や、歯牙の崩壊、本数が少ない場合、虫歯のリスクの高い人、歯根吸収のリスクが高い人、リード楽器等歯で咥えて吹く楽器の奏者の人、糖尿病やリウマチ、血液疾患があり、治療が優先的ではない人、重度の顎関節症の人、心身衰弱の人、はホワイトニングや歯並びの治療は適応ではありません。
またセラミックによる歯牙形態修正、歯髄除去をした場合、使用方法、環境により歯牙自体の寿命が短くなる場合、以下の症状が発生する場合があります。
これらの症状の発生の有無及び程度は、ご自身の体質や、治療期間中の体調、ご自身の口腔内清掃の状態により異なります。
歯の痛み、虫歯、歯肉炎、口内炎、歯根吸収、顎関節の違和感、歯槽骨吸収、歯周病、アレルギー症状、歯肉退縮2021.11.30
セラミック!製作工程でこんなに違います。
さて前回、歯科医院サイドと患者さんのサイドの
審美歯科 というものの
感性の違いについて触れました。
上の前歯がセラミックである画像を二枚比べます。

この芸能人症例と↑
こちらの↓


このように治したとわからないように仕上げた症例。
さてどちらが技術力が高いと思いますか?
アップにしてみましょう。
これと

これですよ。わかりませんか?

両方ともセラミックなんです。
どっちが簡単だと思いますか?
どっちが高価だと思いますか?
まず片方の制作方法をお見せしましょう。
それでは、このような治療のセラミックの製作法を模してみます。

このザ・セラミックというようなものです。
これはこのような機器セラミックブロック切削で
こんなタイムラグで出来上がってしまうヤッツケ品なんです。

そんなスピーディに、簡便にできてしまうこの前歯。

お忙しい芸能人御用達にぴったり。即席ものです。
芸能人も本当にいいのですか?笑

こんなセラミックブロックからの削り出しなんです。
作業工程時間一本製作につき、
30分あればいいのではないでしょうか?
さて、では、このような精密なセラミック製作だとどうでしょうか?


違うケースでのご紹介ですが説明していきます。

型をとった歯型を3Dスキャニングということをします。

そうしますとこのような3D画がPC上にできあがります。
これをCADソフトウェアというもので3D画像加工していきます。

まず歯にぴったりかぶさる、ジルコニアという種類のキャップを作ります。

削り出し機器で削り出します。



形になりました。
これをシンタリングという焼結作業を経て
ここにセラミックの粉を盛りつけながら

歯の形と自身の歯のグラデーションを模した色を付与していくのです。

セラミック(色ガラス)を盛りつけて

窯で焼きます。ガラスが溶けてこのような感じとなります。

これを何十回も繰り返すことで
このようなご自身のものとわからない歯と仕上がるのです。

よくみてください。
素晴らしくご自身の歯と寸分たがわぬこの色合い。
ここまでの工程は早くて12時間。
さて。
この二種、どちらが審美歯科ですか?
東京相場的にだいたいどっちにせよ
12~18万円くらいなようです。
前者がすごく増えております。
技術者も減っております。
本当の意味で審美歯科も減っているのでしょうね。
続く。
ご相談いつでもお受けしております。
ローンはスルガ銀行、アプラス、
スルガ銀行は一年間元金据え置きローンもあるので、
月三千円代から歯列矯正ができます。
私たちはあなたの口元のコンプレックスのお悩みを解決します。
もう手でお口を隠して笑わなくてすみます。
メール相談大募集!
歯を白くしたい!歯並び!噛み合わせ!歯がない!虫歯!噛めない!
入れ歯とわからないようにしたい!
などなど、幅広くお答えします。
このような方、お気軽にご相談ください。ワイズは世間のイメージと違い
逆にお口が崩壊しているような
画像のような症例が得意です。
◇◇お気軽にLINE、メールでご相談ください。◇◇
歯並び、噛み合わせ、多発性の虫歯のお悩みは、
まずは各種オンライン相談で!
その方法は???
1.こちらのサイトのお問い合わせフォームから
お問い合わせいただく
https://ys-dentalcure.gd-demo-cfbx.net/
2.公式LINEから相談をいただく。
3.直接メールをいただく。
info@ys-dentalcure.gd-demo-cfbx.net
噛み合わせや、その他歯のお悩みは
そのままお困りの内容をご記載ください。
歯並びのご相談の場合はご希望の治療内容と
三方向の歯並び画像と一緒に送ってください。
お待ちしております。
□□□□□□□□□□□□□□□□□□□□□□□□□□□□□□□□□□□□□□□ご予約 お電話はこちらへ03-3953-8766
お問い合わせはこちらまでお願いします。
医療法人社団 デンタルキュア
ワイズデンタルキュア
https://ys-dentalcure.gd-demo-cfbx.net/info@ys-dentalcure.gd-demo-cfbx.net
東京都豊島区目白3-4-11目白NCKビル3F
お電話はこちらへ03-3953-8766
JR山手線 目白駅 徒歩1分
改札口から100メートルもありません!!
再度、日本人の歯を綺麗にする・・・・BIGIN the 綺麗 をテーマに再始動します!
⭐️⭐️⭐️⭐️ 歯周病の程度や、歯牙の崩壊、本数が少ない場合、虫歯のリスクの高い人、歯根吸収のリスクが高い人、リード楽器等歯で咥えて吹く楽器の奏者の人、糖尿病やリウマチ、血液疾患があり、治療が優先的ではない人、重度の顎関節症の人、心身衰弱の人、はホワイトニングや歯並びの治療は適応ではありません。
またセラミックによる歯牙形態修正、歯髄除去をした場合、使用方法、環境により歯牙自体の寿命が短くなる場合、以下の症状が発生する場合があります。
これらの症状の発生の有無及び程度は、ご自身の体質や、治療期間中の体調、ご自身の口腔内清掃の状態により異なります。
歯の痛み、虫歯、歯肉炎、口内炎、歯根吸収、顎関節の違和感、歯槽骨吸収、歯周病、アレルギー症状、歯肉退縮2021.11.26
審美歯科って知ってますか?
審美歯科ってご存じですか?
ワイズデンタルキュアにて従業員の面接をしていると
今の歯科大生や歯科衛生士学生はこぞって
なにやら以前オジサンたちが
東京にあこがれと夢を抱いたかのような感覚
で、審美歯科を話す。あこがれる。いつか審美歯科をしていきたいと
話すのです。
その学生すら審美歯科を誤解しているように思う。
綺麗、儲かる、美容、人助け、楽、
それが歯科業界の描く審美歯科というイメージ
以前は、裏社会の歯医者みたいなイメージが審美歯科でしたけどね。
美容外科がここまで市民権を得ていると、審美歯科はどんどんとクリーンな
イメージとなっていったわけです。
困っているのは患者さん。
審美歯科ってなんだろう?
ある人は歯科医院の上位バージョンと思い
ある人は美容外科のように思う。
かく言う私どもも一般的には審美歯科なのかもしれません。
しかしながら私どもは審美歯科であるつもりがないというジレンマがあります。
もちろんみなさんがお望みの美容に準じた治療は得意ですし、経験値もあります。
しかしながら、私はあえて言いますが
審美歯科というものは、ないものであり、あるもの。
なのです。
難しいですよね。
つまり、審美歯科学という学問があるように皆さん思うかもしれませんが
なんと大学では審美歯科学教室なんてところは
ない
のです。
だから世の中に審美歯科なんてないんです。
入れ歯にだって、歯を抜くことにだって、歯茎だって、もちろん歯、噛み合わせ、
そのすべてに審美はあるのです。
ですから審美歯科なんて名乗るのは、ほんとうはすべての治療が高レベルでできないと
なりません。
もしくはそのどれにも当てはまらない、トンでも歯科か何かです。
私も以前は審美歯科という看板出しておりましたが
それはなぜかといえば
先生って審美歯科じゃないんですか?と言われ続け根気負けしたからです。
審美歯科と名乗ったほうがみなさんわかりやすいのかな?と思ったからです。
今はまた審美歯科という看板は外しています。
その辺は頑固おやじなもので、すみません。
ということで、ワイズデンタルキュアは何屋さんなのでしょう。
答えは
歯並びや噛み合わせの不調和を治す、またそこから影響の出る虫歯、失った歯の
治し屋さん。
そんなところなのでしょうか?
できることなら、生まれた時よりもきれいなバージンティースを
取り戻したい!
それが当医院の望みです。
そしてそれは、来ていただく患者さんの望みでもあっていただきたいです。
そして、保険というルールに縛られることなく、必要なもの、必要な検査、必要なテクニックを
いつでもお出しできることが
保険外診療の強みです。
かといって、結局今なんて、虫歯治療をするのに5万くらいのセラミックを入れて
治したりする方は、結局ワイズにだって5万円のセラミックはあります。
保険で治しているお得感は、そのような方にすれば幻想です。
頼まれれば、皆さんが審美歯科に頼む、セラミック矯正というセラミックで前歯を綺麗にする
ことだって、どこよりも得意だし、場合によっては安全に済ませているはずです。

実は歯科医師と患者さんとの間にも審美歯科というものを
理解している距離があります。
下の前歯は他院の審美歯科の症例です。

下手ですねえ。って思うのは私だけ??
でも患者さんの言う審美ってこういうのなんでしょ?
だって芸能人とかってこんなのでいいと思っているじゃないですか?
多いですもの。
歯科業界の審美歯科と認識されているものはこういうものです。

これをこのようなセラミックを入れました。

こういう、元の状態にもどす。
わからなくする。
それが本当の歯科が提唱する審美歯科なんです。
今日は歯科医師と患者さんの
審美歯科というものの感性の違いということまで
お話を進めました。
続く。
ご相談いつでもお受けしております。
ローンはスルガ銀行、アプラス、
スルガ銀行は一年間元金据え置きローンもあるので、
月三千円代から歯列矯正ができます。
私たちはあなたの口元のコンプレックスのお悩みを解決します。
もう手でお口を隠して笑わなくてすみます。
メール相談大募集!
歯を白くしたい!歯並び!噛み合わせ!歯がない!虫歯!噛めない!
入れ歯とわからないようにしたい!
などなど、幅広くお答えします。
このような方、お気軽にご相談ください。ワイズは世間のイメージと違い
逆にお口が崩壊しているような
画像のような症例が得意です。
◇◇お気軽にLINE、メールでご相談ください。◇◇
歯並び、噛み合わせ、多発性の虫歯のお悩みは、
まずは各種オンライン相談で!
その方法は???
1.こちらのサイトのお問い合わせフォームから
お問い合わせいただく
https://ys-dentalcure.gd-demo-cfbx.net/
2.公式LINEから相談をいただく。
3.直接メールをいただく。
info@ys-dentalcure.gd-demo-cfbx.net
噛み合わせや、その他歯のお悩みは
そのままお困りの内容をご記載ください。
歯並びのご相談の場合はご希望の治療内容と
三方向の歯並び画像と一緒に送ってください。
お待ちしております。
□□□□□□□□□□□□□□□□□□□□□□□□□□□□□□□□□□□□□□□ご予約 お電話はこちらへ03-3953-8766
お問い合わせはこちらまでお願いします。
医療法人社団 デンタルキュア
ワイズデンタルキュア
https://ys-dentalcure.gd-demo-cfbx.net/info@ys-dentalcure.gd-demo-cfbx.net
東京都豊島区目白3-4-11目白NCKビル3F
お電話はこちらへ03-3953-8766
JR山手線 目白駅 徒歩1分
改札口から100メートルもありません!!
再度、日本人の歯を綺麗にする・・・・BIGIN the 綺麗 をテーマに再始動します!
⭐️⭐️⭐️⭐️ 歯周病の程度や、歯牙の崩壊、本数が少ない場合、虫歯のリスクの高い人、歯根吸収のリスクが高い人、リード楽器等歯で咥えて吹く楽器の奏者の人、糖尿病やリウマチ、血液疾患があり、治療が優先的ではない人、重度の顎関節症の人、心身衰弱の人、はホワイトニングや歯並びの治療は適応ではありません。
またセラミックによる歯牙形態修正、歯髄除去をした場合、使用方法、環境により歯牙自体の寿命が短くなる場合、以下の症状が発生する場合があります。
これらの症状の発生の有無及び程度は、ご自身の体質や、治療期間中の体調、ご自身の口腔内清掃の状態により異なります。
歯の痛み、虫歯、歯肉炎、口内炎、歯根吸収、顎関節の違和感、歯槽骨吸収、歯周病、アレルギー症状、歯肉退縮2021.11.24
あなたに迫る、ブルドック顔の恐怖。3

出っ歯、開口、つまり下あご引っ込み気味、顎なし
には
その成り立ちに様々な通説があります。
その1
近代の柔らかい食べ物は噛み合わせの不調和を作り上げる。
その2
時代時代の子育てのブームにより
子供の寝かせ方が
うつぶせ寝が良いとされる時代や、
あおむけ寝が良いという時代があり
ちょうど今はうつぶせ寝の子供時代が
大人になり始めた時期である。
というもの。
通説はまたの講釈として、その顎がなくなったその結果
女の子たちの顔はどうなったのか?

下顔面が小さくなったため、上下幅が短くなり
目が大きく、子供のように見えるようになったわけだ!
これが近年、かわいい子が増えた!という理由だと
考察します。
下の顎が後退し、顎が小さく見えて、子供のように見える。
これが答えと思われます。
つまり、今可愛いと言われているあなた!!
それにかまけるなかれ。
若いからよいが、あなたの未来は
この後、ほっぺが垂れてきて二重顎。

ブルドック顔となるのです。
奥歯だけしか当たらないこの噛み合わせは
奥歯の崩壊を招く。
奥歯がなくなればなくなるほど顎は後ろに下がる

関節は圧迫される。出っ歯で顎から音が鳴る方も
要注意です。
ご相談いつでもお受けしております。
ローンはスルガ銀行、アプラス、
スルガ銀行は一年間元金据え置きローンもあるので、
月三千円代から歯列矯正ができます。
私たちはあなたの口元のコンプレックスのお悩みを解決します。
もう手でお口を隠して笑わなくてすみます。
メール相談大募集!
歯を白くしたい!歯並び!噛み合わせ!歯がない!虫歯!噛めない!
入れ歯とわからないようにしたい!
などなど、幅広くお答えします。
このような方、お気軽にご相談ください。ワイズは世間のイメージと違い
逆にお口が崩壊しているような
画像のような症例が得意です。
◇◇お気軽にLINE、メールでご相談ください。◇◇
歯並び、噛み合わせ、多発性の虫歯のお悩みは、
まずは各種オンライン相談で!
その方法は???
1.こちらのサイトのお問い合わせフォームから
お問い合わせいただく
https://ys-dentalcure.gd-demo-cfbx.net/
2.公式LINEから相談をいただく。
3.直接メールをいただく。
info@ys-dentalcure.gd-demo-cfbx.net
噛み合わせや、その他歯のお悩みは
そのままお困りの内容をご記載ください。
歯並びのご相談の場合はご希望の治療内容と
三方向の歯並び画像と一緒に送ってください。
お待ちしております。
□□□□□□□□□□□□□□□□□□□□□□□□□□□□□□□□□□□□□□□ご予約 お電話はこちらへ03-3953-8766
お問い合わせはこちらまでお願いします。
医療法人社団 デンタルキュア
ワイズデンタルキュア
https://ys-dentalcure.gd-demo-cfbx.net/info@ys-dentalcure.gd-demo-cfbx.net
東京都豊島区目白3-4-11目白NCKビル3F
お電話はこちらへ03-3953-8766
JR山手線 目白駅 徒歩1分
改札口から100メートルもありません!!
再度、日本人の歯を綺麗にする・・・・BIGIN the 綺麗 をテーマに再始動します!
⭐️⭐️⭐️⭐️ 歯周病の程度や、歯牙の崩壊、本数が少ない場合、虫歯のリスクの高い人、歯根吸収のリスクが高い人、リード楽器等歯で咥えて吹く楽器の奏者の人、糖尿病やリウマチ、血液疾患があり、治療が優先的ではない人、重度の顎関節症の人、心身衰弱の人、はホワイトニングや歯並びの治療は適応ではありません。
またセラミックによる歯牙形態修正、歯髄除去をした場合、使用方法、環境により歯牙自体の寿命が短くなる場合、以下の症状が発生する場合があります。
これらの症状の発生の有無及び程度は、ご自身の体質や、治療期間中の体調、ご自身の口腔内清掃の状態により異なります。
歯の痛み、虫歯、歯肉炎、口内炎、歯根吸収、顎関節の違和感、歯槽骨吸収、歯周病、アレルギー症状、歯肉退縮2021.11.23
あなたに迫る、ブルドック顔の恐怖。2
さて前回に引き続き、ブルドック顔になってしまう人のお話です。
再度正しい顎の動きの噛み合わせを見ていただきます。
そして今回の論点となる悪噛み合わせの
出っ歯、開口(前歯が噛んでない人)は横から見ると
下の顎が後退気味になっている。

出っ歯なのではない。
あごなしなのです。
通常の正しい前歯の噛んでいる噛み合わせはこうなっています。

出っ歯ではないのです。
あごなしなのです。

こういう顔貌はひとつの理想形で
人はこのような横顔を
E-ラインと呼び、歯列矯正にこれを強く求める
ひとびとが存在します。
では、出っ歯、開口
いわゆるあごなし族
の行く末はどうなのだろうか?

この方の噛み合わせはこのようだと思えます。

赤い線を噛み合わせの高さ、と考えます。
これがフェイスラインを支える命綱です。
出っ歯、開口、いわゆるあごなしの方は
この噛み合わせの高さが距離が短い、

噛み合わせが低いという言い方になります。
噛み合わせが低ければ顎がなくなる、顎なしなんです。
そして奥歯ばかりが負担が多い噛み合わせになるので
奥歯がダメージをくらい、歯を失う方も多いはずです。

必ずといっていいほど遅かれ早かれどんどん歯を失います。
しいてはこんなにも噛み合わせの高さを失い、
よりの顎なしに。
その3に続く。
ご相談いつでもお受けしております。
ローンはスルガ銀行、アプラス、
スルガ銀行は一年間元金据え置きローンもあるので、
月三千円代から歯列矯正ができます。
私たちはあなたの口元のコンプレックスのお悩みを解決します。
もう手でお口を隠して笑わなくてすみます。
メール相談大募集!
歯を白くしたい!歯並び!噛み合わせ!歯がない!虫歯!噛めない!
入れ歯とわからないようにしたい!
などなど、幅広くお答えします。
このような方、お気軽にご相談ください。ワイズは世間のイメージと違い
逆にお口が崩壊しているような
画像のような症例が得意です。
◇◇お気軽にLINE、メールでご相談ください。◇◇
歯並び、噛み合わせ、多発性の虫歯のお悩みは、
まずは各種オンライン相談で!
その方法は???
1.こちらのサイトのお問い合わせフォームから
お問い合わせいただく
https://ys-dentalcure.gd-demo-cfbx.net/
2.公式LINEから相談をいただく。
3.直接メールをいただく。
info@ys-dentalcure.gd-demo-cfbx.net
噛み合わせや、その他歯のお悩みは
そのままお困りの内容をご記載ください。
歯並びのご相談の場合はご希望の治療内容と
三方向の歯並び画像と一緒に送ってください。
お待ちしております。
□□□□□□□□□□□□□□□□□□□□□□□□□□□□□□□□□□□□□□□ご予約 お電話はこちらへ03-3953-8766
お問い合わせはこちらまでお願いします。
医療法人社団 デンタルキュア
ワイズデンタルキュア
https://ys-dentalcure.gd-demo-cfbx.net/info@ys-dentalcure.gd-demo-cfbx.net
東京都豊島区目白3-4-11目白NCKビル3F
お電話はこちらへ03-3953-8766
JR山手線 目白駅 徒歩1分
改札口から100メートルもありません!!
再度、日本人の歯を綺麗にする・・・・BIGIN the 綺麗 をテーマに再始動します!
⭐️⭐️⭐️⭐️ 歯周病の程度や、歯牙の崩壊、本数が少ない場合、虫歯のリスクの高い人、歯根吸収のリスクが高い人、リード楽器等歯で咥えて吹く楽器の奏者の人、糖尿病やリウマチ、血液疾患があり、治療が優先的ではない人、重度の顎関節症の人、心身衰弱の人、はホワイトニングや歯並びの治療は適応ではありません。
またセラミックによる歯牙形態修正、歯髄除去をした場合、使用方法、環境により歯牙自体の寿命が短くなる場合、以下の症状が発生する場合があります。
これらの症状の発生の有無及び程度は、ご自身の体質や、治療期間中の体調、ご自身の口腔内清掃の状態により異なります。
歯の痛み、虫歯、歯肉炎、口内炎、歯根吸収、顎関節の違和感、歯槽骨吸収、歯周病、アレルギー症状、歯肉退縮2021.11.21
あなたに迫る、ブルドック顔の恐怖。1
昭和の時代に比べて、平成、令和と可愛い女の子が増えている!
と、まことしやかに噂される。
ネットにおいてもこのような書き込みがそこら中に目立つのも
事実などである。
その記事を紹介します。

次の記事

このような書き込みがあちらこちらにチラホラです。
事実ワイズデンタルキュアに訪れる、若い女性たちは
みな
可愛くもきれいな女性が、本当におおいことか。
ビックリいたします。
しかしながら、その女性たちのお悩みはなにが一番多いのか
想像できますか?
それは
出っ歯です。
そしてそのほとんどの方が
前歯が噛んでいない!!
この事実、あなたの周りの
この子は可愛いな、と思える女性の前歯を
ぜひとも見せていただいてほしいです。
必ずと言っていいほどに、
前歯が噛んでいない、
出っ歯なはずだ!
難しくてわからない?そうですよね。
じゃあビジュアル的に見せましょう。
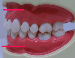
噛んでいるとはこういうことです。

噛んでいるということを理解できたでしょうか?
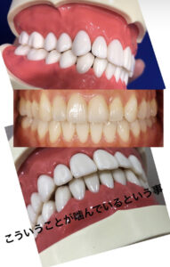
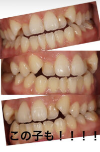
さて、近頃の可愛い女性の歯並びはどうなのでしょうか?
お見せします。



どうですか?びっくりでしょう?
みなさんもはや前歯が噛んでいないことが
当たり前で、違和感を感じていません。
ストレスは
出っ歯であるということだけ
だったりします。
では、何が起きているのでしょうか?
本来、歯というものには形があります。
その形は意味があってその形なのです。
奥歯は歯の高さを維持して、前歯の当たりすぎを
面で守る。
前歯はとがることで横に動かすときに奥歯を
摩擦から守る。
それでは正しい噛み合わせの顎の動きを
見てもらいましょう。
前歯は顎の舵取りが役割なのです。
それを今回の噛み合わせのように出っ歯、前歯が噛んでない
ということだとこうなります。
前歯が機能を失うだけで、奥歯はガリガリ
すごい摩擦です。
自分の歯もこの力で破壊して虫歯、目元のえぐれ、歯周病に
なります。
動かすことにはものすごい力がかかり
筋肉はものすごい荷重がかかります。
側頭部に手を当てて、口を開け閉めしてください。
そうすると側頭部の筋肉が動くのがわかると思います。
このような悪噛み合わせは歯だけではなく
側頭部にも緊張を与え、片頭痛を起こすのです。
このような噛み合わせの方は
必ずと言って、片頭痛持ちです。
顎関節症も必ずと言っていいほどあるのです。
続く。
ご相談いつでもお受けしております。
ローンはスルガ銀行、アプラス、
スルガ銀行は一年間元金据え置きローンもあるので、
月三千円代から歯列矯正ができます。
私たちはあなたの口元のコンプレックスのお悩みを解決します。
もう手でお口を隠して笑わなくてすみます。
メール相談大募集!
歯を白くしたい!歯並び!噛み合わせ!歯がない!虫歯!噛めない!
入れ歯とわからないようにしたい!
などなど、幅広くお答えします。
このような方、お気軽にご相談ください。ワイズは世間のイメージと違い
逆にお口が崩壊しているような
画像のような症例が得意です。
◇◇お気軽にLINE、メールでご相談ください。◇◇
歯並び、噛み合わせ、多発性の虫歯のお悩みは、
まずは各種オンライン相談で!
その方法は???
1.こちらのサイトのお問い合わせフォームから
お問い合わせいただく
https://ys-dentalcure.gd-demo-cfbx.net/
2.公式LINEから相談をいただく。
3.直接メールをいただく。
info@ys-dentalcure.gd-demo-cfbx.net
噛み合わせや、その他歯のお悩みは
そのままお困りの内容をご記載ください。
歯並びのご相談の場合はご希望の治療内容と
三方向の歯並び画像と一緒に送ってください。
お待ちしております。
□□□□□□□□□□□□□□□□□□□□□□□□□□□□□□□□□□□□□□□ご予約 お電話はこちらへ03-3953-8766
お問い合わせはこちらまでお願いします。
医療法人社団 デンタルキュア
ワイズデンタルキュア
https://ys-dentalcure.gd-demo-cfbx.net/info@ys-dentalcure.gd-demo-cfbx.net
東京都豊島区目白3-4-11目白NCKビル3F
お電話はこちらへ03-3953-8766
JR山手線 目白駅 徒歩1分
改札口から100メートルもありません!!
再度、日本人の歯を綺麗にする・・・・BIGIN the 綺麗 をテーマに再始動します!
⭐️⭐️⭐️⭐️ 歯周病の程度や、歯牙の崩壊、本数が少ない場合、虫歯のリスクの高い人、歯根吸収のリスクが高い人、リード楽器等歯で咥えて吹く楽器の奏者の人、糖尿病やリウマチ、血液疾患があり、治療が優先的ではない人、重度の顎関節症の人、心身衰弱の人、はホワイトニングや歯並びの治療は適応ではありません。
またセラミックによる歯牙形態修正、歯髄除去をした場合、使用方法、環境により歯牙自体の寿命が短くなる場合、以下の症状が発生する場合があります。
これらの症状の発生の有無及び程度は、ご自身の体質や、治療期間中の体調、ご自身の口腔内清掃の状態により異なります。
歯の痛み、虫歯、歯肉炎、口内炎、歯根吸収、顎関節の違和感、歯槽骨吸収、歯周病、アレルギー症状、歯肉退縮2021.11.19

