セラミックでの治療を最小限で美しく仕上げる方法①
こんにちは、ワイズデンタルキュアです。
セラミックで前歯を綺麗にしたい!そんな風に考えられる方が毎日カウンセリングに
いらしていただいていますが、
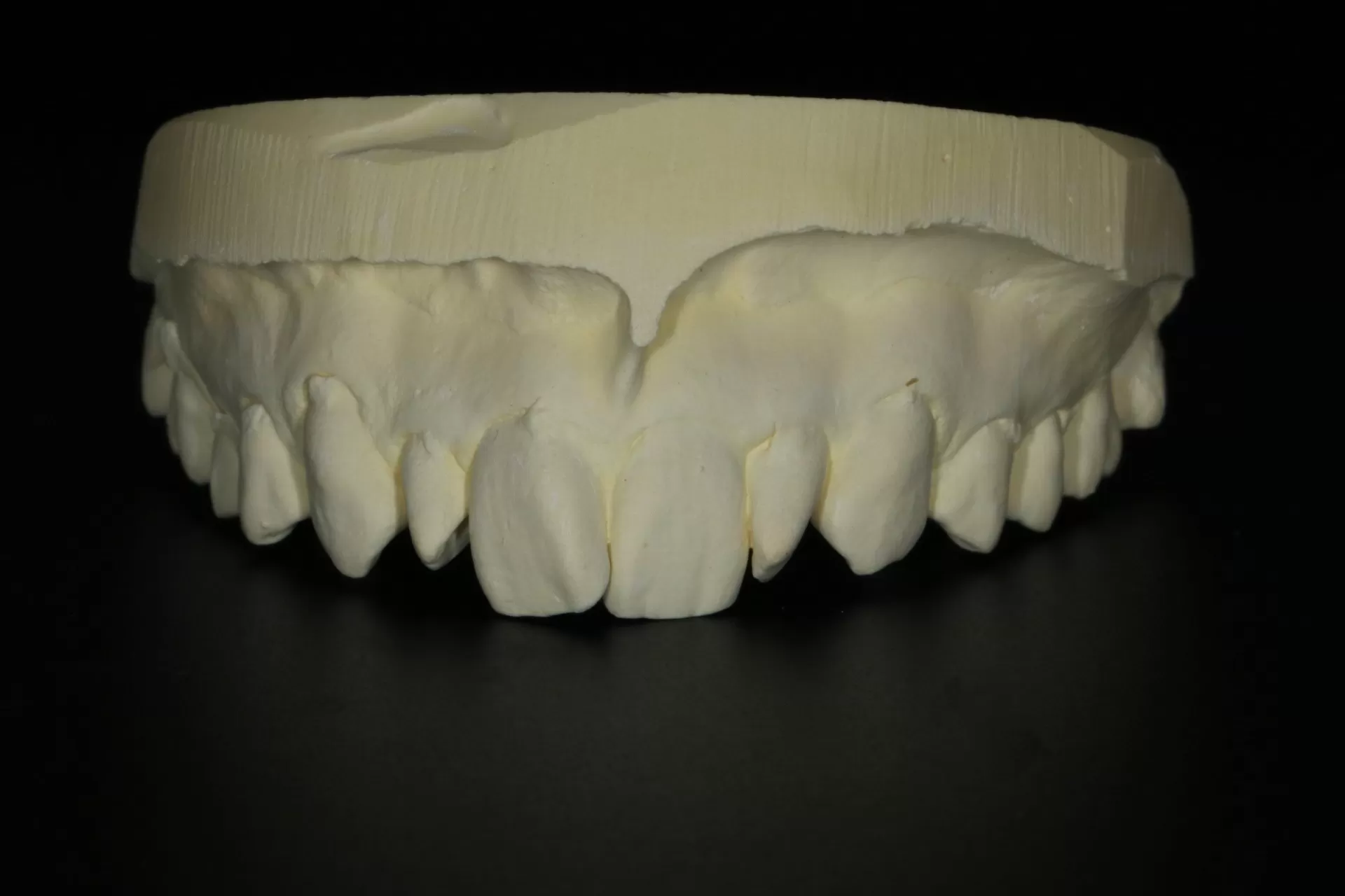
必ずお勧めしているのが、こちら

WAX―UP模型です。
これはこのような歯並びの方を

最小限、最小切削量で安全に仕上げるならどのようにするか
ご契約の前にご一緒に検討、理解しあえます。

こちらは

4本が裏側まで、クラウン。
ラミネートべニアが2本。
そんな設定であれば、ここまで治せますよ。という最小限整いプランで
ご案内します。
この計画がなければ
できあがるまで、どんな形で仕上げ、術者もとりあえず削るみたいなやり方しかできないのです。
カウンセリング時にご案内しています。
WAX-UP模型 ¥13200
2025.03.23 セラミック, セラミック矯正, 咬合, 噛み合わせ, 審美歯科, 無料検査・カウンセリング, 虫歯, 顎関節, 顎関節症
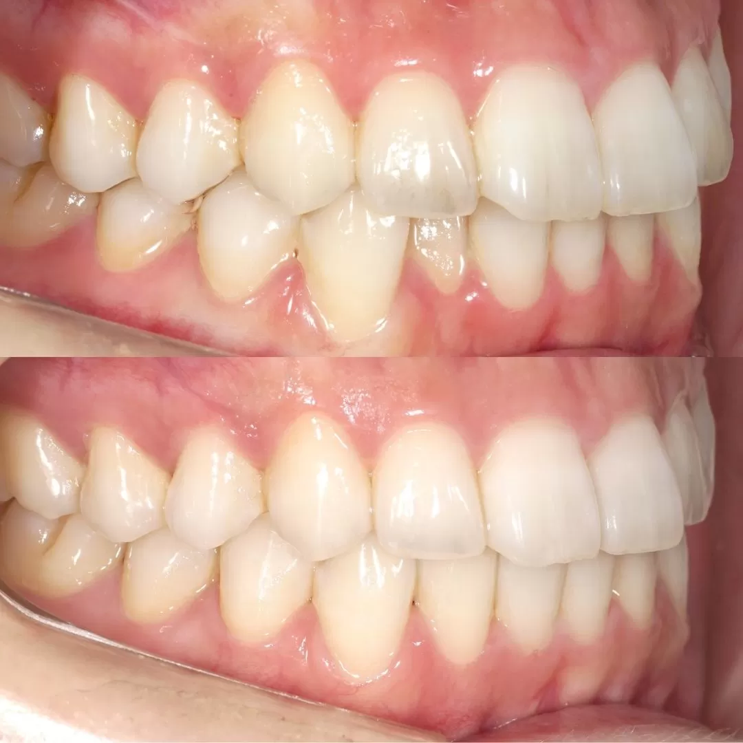
今日は治療編【矮小歯】にお悩みの方。これも一つの正解の出し方。裏側矯正 デジタル矯正②
こんにちは、ワイズデンタルキュアです。
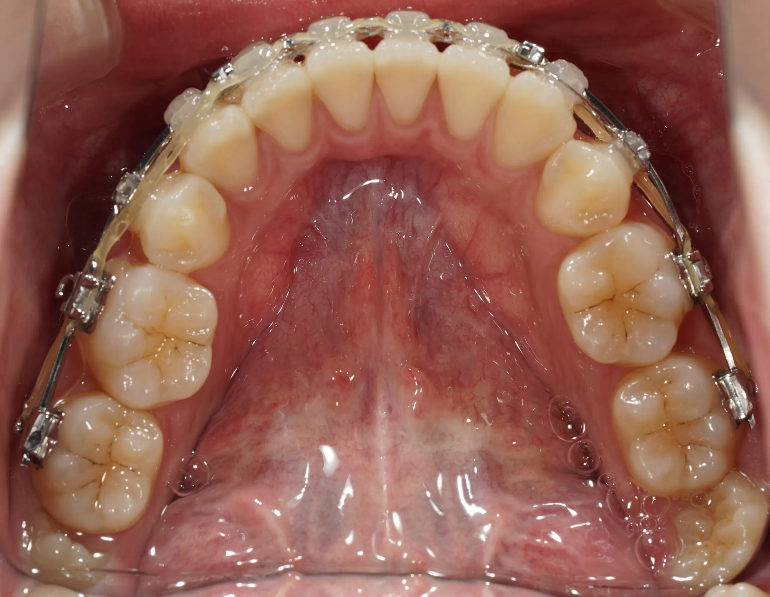
昨日のこの症例です。

上の二番目の歯が矮小歯、下の二番目の歯がありません。
奥歯を見ますと


奥歯のかみ合わせが1歯対2歯、下の前歯の本数より
上の前歯は本数が多いことになります。
つまりこのケースの正解は、前歯の本数を揃える、
ということがかみ合わせ上、都合がよいと考えられます。
そんなわけで抜歯部位は、


上顎の矮小歯2本だということです。
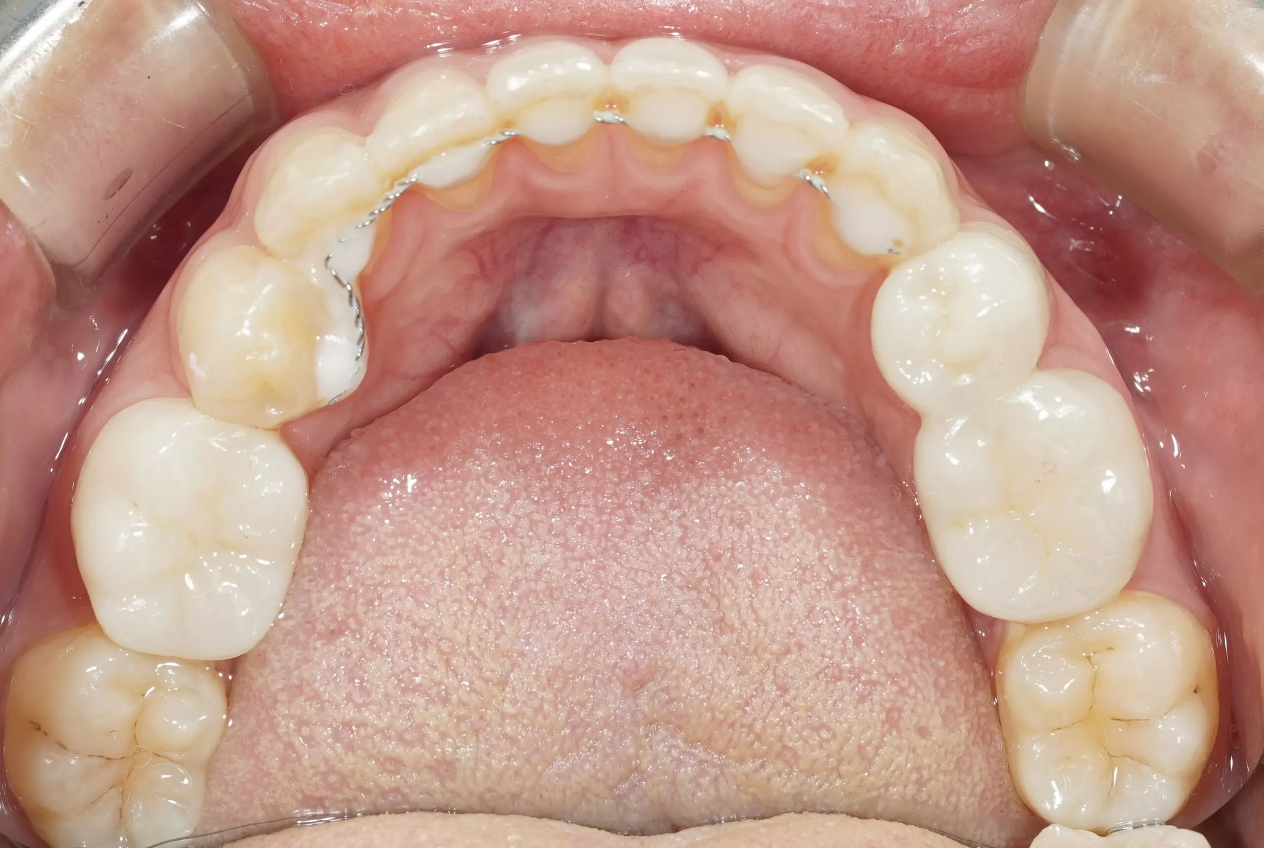
歯列矯正が終了した状態はこちら

マイルドに顎の位置が向かって右に回転していることがみえます。

こちらの欠点は2番目の歯が3番目となっているところです。
2番目の歯の形にしたければここからラミネートべニア処置です。


こちらの方は、気にならないとのことでしたので
これで終了。ご本人の満足が得れればそれでいいのです。

お口元の変化は引っ込むというよりも顎のラインが整いました。
裏側矯正(HARMONY) ¥1,430,000(税込) 2025.03.22 インビザライン, ハーモニー矯正, マウスピース矯正, 咬合, 噛み合わせ, 審美歯科, 歯列矯正, 無料検査・カウンセリング, 裏側矯正, 顎関節
噛み合わせは日によって違う?原因と改善策を解説

東京都豊島区目白の歯医者・審美歯科、ワイズデンタルキュア東京です。
噛み合わせが日によって違うと感じたことはありますか?
朝と夜で違和感があったり、食事のときに噛みにくさを感じたりすることは珍しくありません。
実は、噛み合わせはさまざまな要因によって変化することがあるのです。
今回は、噛み合わせが日々変わる原因や影響、改善策について詳しく解説します。噛み合わせは日によって変化する
噛み合わせは短期間で大きく変わることはありませんが、毎日の習慣や体調によって微妙に変化することがあります。
例えば、寝ている間の歯ぎしりや食いしばりによって顎の筋肉が緊張し、朝起きたときに噛み合わせが変わっていると感じることがあります。
ストレスや姿勢の変化も影響を与え、長時間のデスクワークや片側だけでの咀嚼が続くと、噛み合わせのバランスが崩れることがあります。
さらに、虫歯や歯周病による歯の移動や、詰め物や被せ物の高さの変化も噛み合わせに影響を及ぼします。
このように、日常の些細な要因が噛み合わせを変化させる原因となるのです。噛み合わせが変わる原因
噛み合わせの変化には、いくつかの主要な原因があります。
まず、歯ぎしりや食いしばりによって歯がすり減ったり、顎の位置が微妙にずれることで噛み合わせに影響が出ます。
また、親知らずの生え方によって周囲の歯が押され、徐々に歯並びが変化することもあります。
さらに、虫歯や歯周病によって歯の位置が変わると、噛み合わせの高さが変わることがあります。
被せ物や詰め物の高さがわずかに違うだけでも、違和感を覚えることがあります。
加えて、ストレスや姿勢の悪さが原因で顎の筋肉が硬直し、噛み合わせのずれを引き起こすこともあるのです。噛み合わせの変化による影響
噛み合わせが変化すると、さまざまな影響が現れることがあります。
まず、噛んだときに違和感を感じるようになり、食事中に不快感を覚えることがあります。
また、噛み合わせの変化が顎に負担をかけることで、顎関節症の原因となることもあります。
さらに、噛み合わせのズレが肩こりや頭痛の原因となり、全身のバランスにも影響を及ぼします。
見た目にも影響が出ることがあり、歯並びの変化によって顔の左右差が目立つこともあります。
このように、噛み合わせの変化は口腔内だけでなく、全身の健康にも関わる重要な問題なのです。噛み合わせの違和感を感じたときの対処法
噛み合わせに違和感を感じた場合、まずは生活習慣の見直しをすることが大切です。
片側だけで噛む癖をなくし、バランスよく食事をするよう心がけましょう。
また、ストレスを軽減し、リラックスできる時間を作ることで、無意識の食いしばりを防ぐことができます。
歯ぎしりが気になる場合は、歯科医院でナイトガードを作成し、就寝時に装着することで歯を守ることができます。
もし詰め物や被せ物に違和感がある場合は、歯科医に相談し、適切な調整を受けることが重要です。
早めの対処が、噛み合わせの悪化を防ぐ鍵となります。噛み合わせの改善方法
噛み合わせを改善するためには、いくつかの方法があります。
歯並びの問題がある場合は、歯列矯正によって噛み合わせを整えることができます。
また、スプリント療法を活用し、顎関節にかかる負担を軽減することも有効です。
生活習慣の改善も重要で、姿勢を正し、左右バランスよく咀嚼する習慣を身につけることが噛み合わせの安定につながります。
さらに、定期的な歯科検診を受け、虫歯や歯周病を早期に発見し治療することで、噛み合わせの変化を最小限に抑えることができます。
日々のケアが、健康な噛み合わせを維持するポイントです。少しでも参考になれば幸いです。
最後までお読みいただきありがとうございます。東京都の矯正治療・セラミック治療専門審美歯科
『ワイズデンタルキュア東京』
住所:東京都豊島区目白3丁目4−11 Nckビル 3階
TEL:03-3953-8766
Instagram: ys.dentalcure2025.03.22
一緒に矯正診断しましょう【矮小歯】にお悩みの方。これも一つの正解の出し方。裏側矯正 デジタル矯正①
こんにちは、ワイズデンタルキュアです。
このような歯並びの方のご相談です。
まずは一緒に見てください。



特筆すべきは、八重歯が目立ちます。
下の歯は前歯が2本足りないようです。
お顔の正中にたいしての下の顎のズレが見受けられます。
お口の中を見てみましょう。

上の2番めの歯は、形が小さいのがわかりますか?
これは矮小歯といいます。特徴的な歯です。
この歯がありますと、歯並びは悪くなります。
理由は前歯のスペースの維持ができないからです。

おまけに今回のケースは下の前歯もないのでそもそも下の顎は
狭くなっているのです。これは顎の位置を悪くします。
下の顎のサイズに噛み合わさるように上は成長したので、
矮小歯分、歯並びが狂います。
それが八重歯の理由です。
それならば、矮小歯を抜いて歯列矯正すればサイズは合う。
しかし前歯は6本であるところ、4本になり、見た目上は劣る。
さてどうするか??これが今回の難しいところです。
つづく
2025.03.21 インビザライン, デジタルスキャン, ハーモニー矯正, マウスピース矯正, 咬合, 噛み合わせ, 審美歯科, 歯列矯正, 無料検査・カウンセリング, 裏側矯正, 顎関節, 顎関節症
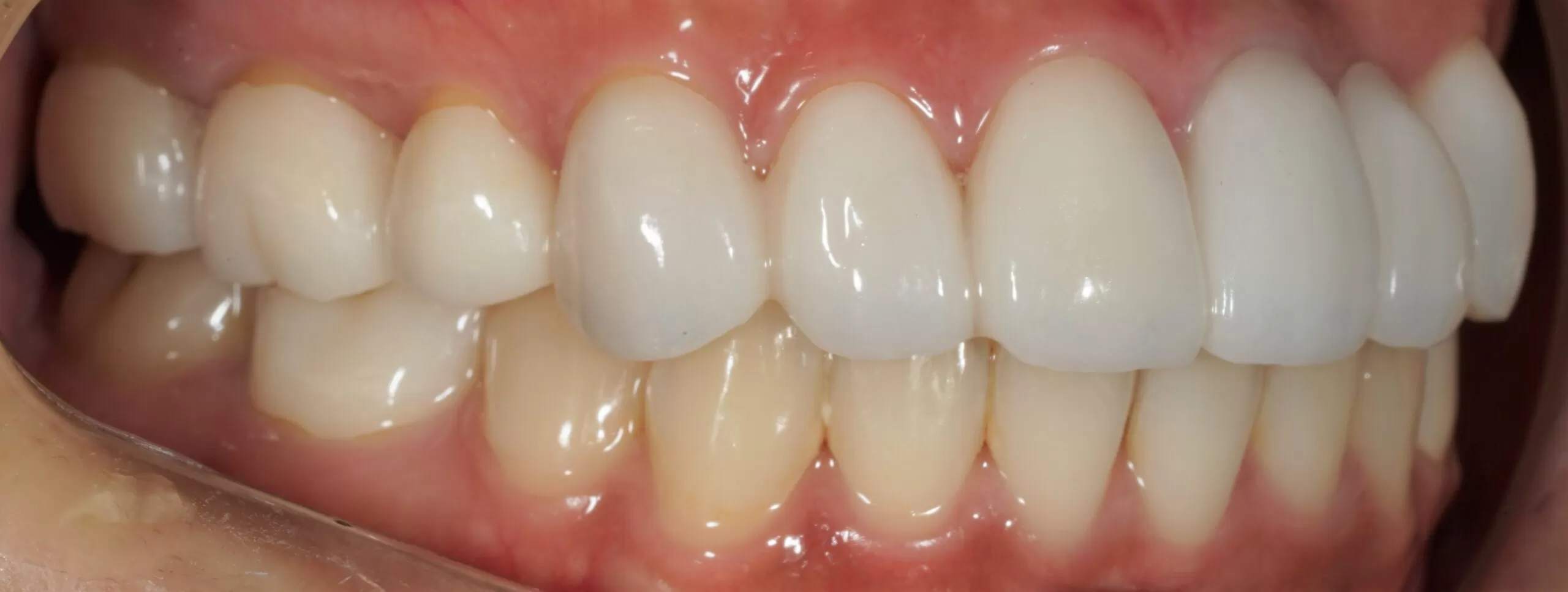
第三話 ワタシのベストを教えてください!歯がグラグラ、歯根は溶けて歯槽骨は溶けて、散々なこのケースの結末 【完成編】審美編
こんにちは、ワイズデンタルキュアです。
歯列矯正を失敗されたケース 完結編です。
結論今回のケースの歯列矯正で起きた状況は
1.噛み合わせを見失った(どこで噛んでいいのかわからなくなった)
2.骨と歯根のロストによる、歯の安定(歯がグラグラである)
3.見た目の悪化
これらが大まかな内容となります。
今回はこの3、見た目の悪化についてです。
これに関しましては、特にお気になさっていた、上の歯はすべて
補綴 セラミックで仕上げますので、いくらでも操作できます。
では見ていただきます。

画像暗めですが、下の状態がファイナルです。

本当は私は、この真っ白な感じをあまり好んでいないのですが
これが患者さんとお話ししたお望みであればそれでいいのです。
お口元がへの字口風である状態が口角が上がり目で変えられました。




このような状態で治療は収束いたしました。
費用に関しましてはハイグレードセラミック治療 一本 187000円
15本
咬合位確立、顎関節治療 495000円
今回、学ぶべきことは、
歯列矯正が下手ということはまずですが、
歯列矯正に頼りすぎた、ということです。
矯正前の状態はわからないので何とも言えませんが
ご本人の望まれるベスト
短期間で!歯並びを整える というニーズに対し
ご自身の医院の唯一の商品である、矯正というものだけで
何かを成し遂げようとしたことがまずはいかがかと思います。
歯列矯正に、明確な期間を要求することは困難です。
目安はできたとしても、必ず1年以内で、など言語同断です。
風邪をひいて、3日で治す、とかはわからないじゃないですか?
多分、1週間ほどでは治るよとはお伝え出来ますが、7日ではなく8日かもしれない。
歯列矯正は、不正歯列というものに対しての治療、であることをお忘れなく。
今回の失敗は、患者さんの短期間ニーズに無理やり答えようとして、無理やり最初から強い力を
歯に矯正力としてかけた先生がよろしくない。
短期間がどうしてもの課題ならば、選択として
1.あきらめてもらう
2.セラミックを使用して補綴的アプローチを勧める
シンプルにこの2つであれば、ここまでのことにはなっていないのです。
SNSではまるで、歯列矯正が善でセラミックを使用した歯並び修正が悪のような論争が続いています。
そんな本当は善悪などないものにとらわれているうちに、変なマウスピース矯正に騙されている患者さんが
続出しているのが、今の日本の歯並び事情です。
実際今回のお話の、短期間をどうしても臨んだ、前歯はもともと一本なくブリッジである
このような状態で数本の補綴で済んだかもしれないものを、
無理やり、短期間歯列矯正で済まそうとしたことは、まったくもって本人のベストではありません。

SNSはいつも善悪でにぎわってしまっています。
気が付くべきは
誰かの善は誰かの悪だということで、ベストは自分にしかないのだということ。
専門家はご本人のお声を必死に聞いて、その方の善を導くということ。
今回は専門家の善を貫いた結果、ご本人には悪となってしまった、ということです。
2025.03.20 SNS, インビザライン, セラミック, マウスピース矯正, 咬合, 噛み合わせ, 失敗, 審美歯科, 歯列矯正, 無料検査・カウンセリング, 顎関節, 顎関節症
第二話 歯がグラグラ、歯根は溶けて歯槽骨は溶けて、散々なこのケースの結末 【完成編】固定ということ
こんにちは、ワイズデンタルキュアです。
ご紹介もこれを入れて2回で終わります。歯列矯正を失敗されたケースです。
結論今回のケースの歯列矯正で起きた状況は
1.噛み合わせを見失った(どこで噛んでいいのかわからなくなった)
2.骨と歯根のロストによる、歯の安定(歯がグラグラである)
3.見た目の悪化
これらが大まかな内容となります。
前回は1をお話いたしましたので、2のお話をいたします。
2.骨と歯根のロストによる、歯の安定(歯がグラグラである)
これに関しましては、咬合の安定化を図り、骨を安定させるための固定ということに
なります。
それでは固定をどのようにしたか、お話いたします。

こちらはこのように

前は6本つないであります。臼歯部は3本ずつです。

下の歯はこのようにしました。

噛み合わせができていない歯をかぶせることで安定させました。
これは3年後の骨の状態です。

穴が開いていた部分は骨ができていました。

反対側

こちらも修復されました。

歯が揺れなくなったからです。
2.骨と歯根のロストによる、歯の安定(歯がグラグラである)
に対してはこのように対応しました。
次回は3です。
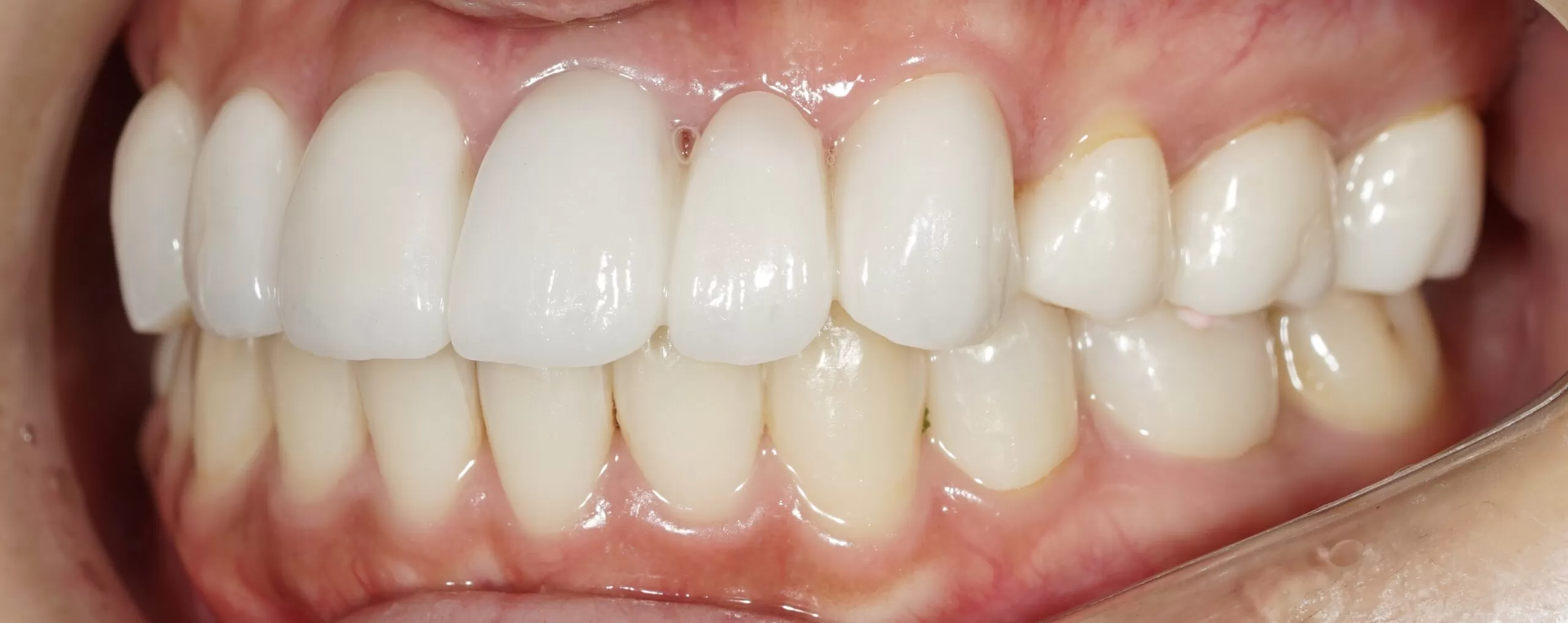
歯がグラグラ、歯根は溶けて歯槽骨は溶けて、散々なこのケースの結末 【完成編】顎 顎関節
こんにちは、ワイズデンタルキュアです。
ご紹介の続いている、歯列矯正の明らかなる失敗ケースの検証の完成編です。
結論今回のケースの歯列矯正で起きた状況は
1.噛み合わせを見失った(どこで噛んでいいのかわからなくなった)
2.骨と歯根のロストによる、歯の安定(歯がグラグラである)
3.見た目の悪化
これらが大まかな内容となります。
これらを打開するものはセラミックによる補綴処置となります。
1に関しましては、
フェイスボウによる顎位検証、スプリントによる顎位決定です。

これは他の方の歯を横から見たところの模型です。
こちらの噛み合わせの時の顎の位置はこちら
そちらをスプリントという器具を作成して夜寝るときにはめていただきます。

これで噛み合わせをリセットすることで、顎の位置はマイルドに整います。
それで導いた顎の位置はこちらです。

下の顎が前方転移して奥歯が噛んできていないことがわかります。
この高さで、奥歯のかぶせ物を作ることが
成功した歯列矯正に近いのです!
このようにして失った噛み合わせは、顎の関節に聞く!ということで
リカバーです。

このようにして、この顎の位置を確立するのです。

奥歯の高さを顎の関節に聞いて、導きました。白い矢印
マイルドに顎は本来の噛む位置に、黄色の矢印
下の顎が前進する形で上の前歯は角度を垂直にできます。
出っ歯っぽいというのも、本当に上の歯がでているのかわかりません。
つづく
2025.03.18 くいしばり, セラミック, マウスピース矯正, 噛み合わせ, 審美歯科, 歯列矯正, 無料検査・カウンセリング, 裏側矯正, 顎関節, 顎関節症
【25年3月19日】 臨時休診のお知らせ
東京都豊島区目白の歯医者・審美歯科、ワイズデンタルキュア東京です。
臨時休診についてお知らせです。3月19日(水)は臨時休診日とさせていただきます。
ご迷惑をおかけいたしますが、ご了承いただきますようお願い申し上げます。
東京都の矯正治療・セラミック治療専門審美歯科
『ワイズデンタルキュア東京』
住所:東京都豊島区目白3丁目4−11 Nckビル 3階
TEL:03-3953-8766
Instagram: ys.dentalcure2025.03.17
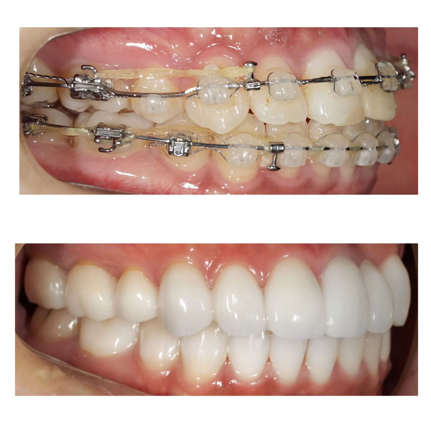
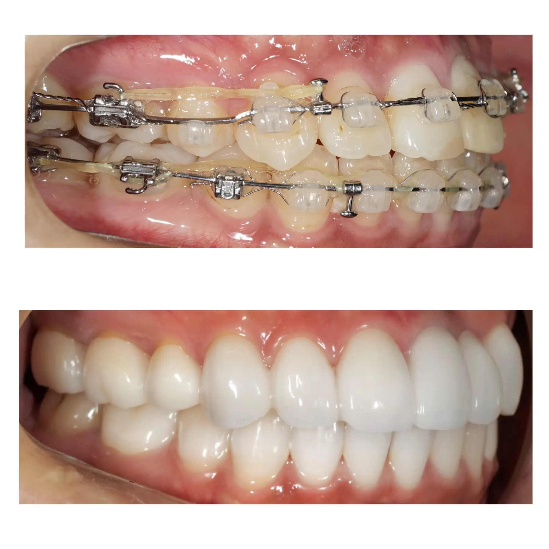
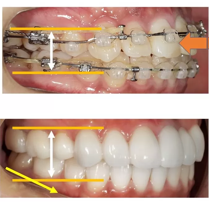
【マウスピース矯正】顔の歪み 矯正!インビザライン【必見です】②歯並び 歯列矯正
こんにちは、ワイズデンタルキュアです。
あまり変わっていない歯並びと見せかけて劇的矯正の最後です。



このような変化がマイルドに歯並びだけではなくおきます。
上の前歯と下の前歯の見える量に注目してください。
下の画像のほうが下の前歯が見える量が増えているはずです。
つまり奥歯の噛む高さが上がったということです。
それがマイルドにお顔の歪みを取ります。

歯列矯正はこういうことを大事にしないと失敗します。
出てる引っ込んでる論だけで歯列矯正をしていることって
多いですが、本当はまちがいです。
インビザライン コンプリヘイシブパッケージ 5年保証 精密検査治療毎調整料含む ¥1100000
2025.03.17 インビザライン, デジタルスキャン, ハーモニー矯正, マウスピース矯正, 噛み合わせ, 審美歯科, 歯列矯正, 無料検査・カウンセリング, 裏側矯正, 顎関節症
【本当のマウスピース矯正】顔の歪み 顔が変わる ①【必見です】
矯正の精密検査は無料です
無料カウンセリングでご予約ください】こんにちは、ワイズデンタルキュアです。
先日から【本当のマウスピース矯正】ということで書かせていただいて
おります。
もう一つの検証として新しい症例です。顔の歪みがとれる症例です。
毎週小顔生体に行っている場合じゃないんです!
歯並びだけをみればそれほどではないのですが、お顔と考えると劇的な症例です。

そして歯列矯正後です。

どんな違いであるかはこちらです。
こちらはインビザラインで治しました。まるで歯並びというより噛み合わせ→顎の歪み矯正という感じです。詳しくは次回お話します。インビザライン コンプリヘイシブパッケージ 5年保証 精密検査治療毎調整料含む ¥1100000
2025.03.13 インビザライン, デジタルスキャン, マウスピース矯正, 噛み合わせ, 審美歯科, 歯列矯正, 無料検査・カウンセリング, 裏側矯正, 顎関節症
