今日は治療編【矮小歯】にお悩みの方。これも一つの正解の出し方。裏側矯正 デジタル矯正②
こんにちは、ワイズデンタルキュアです。
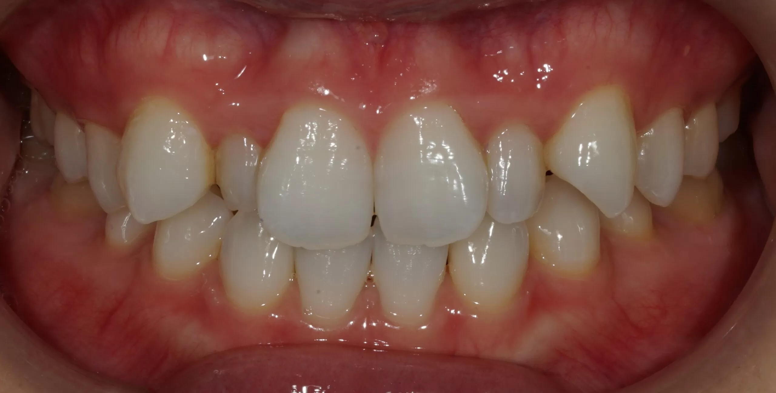
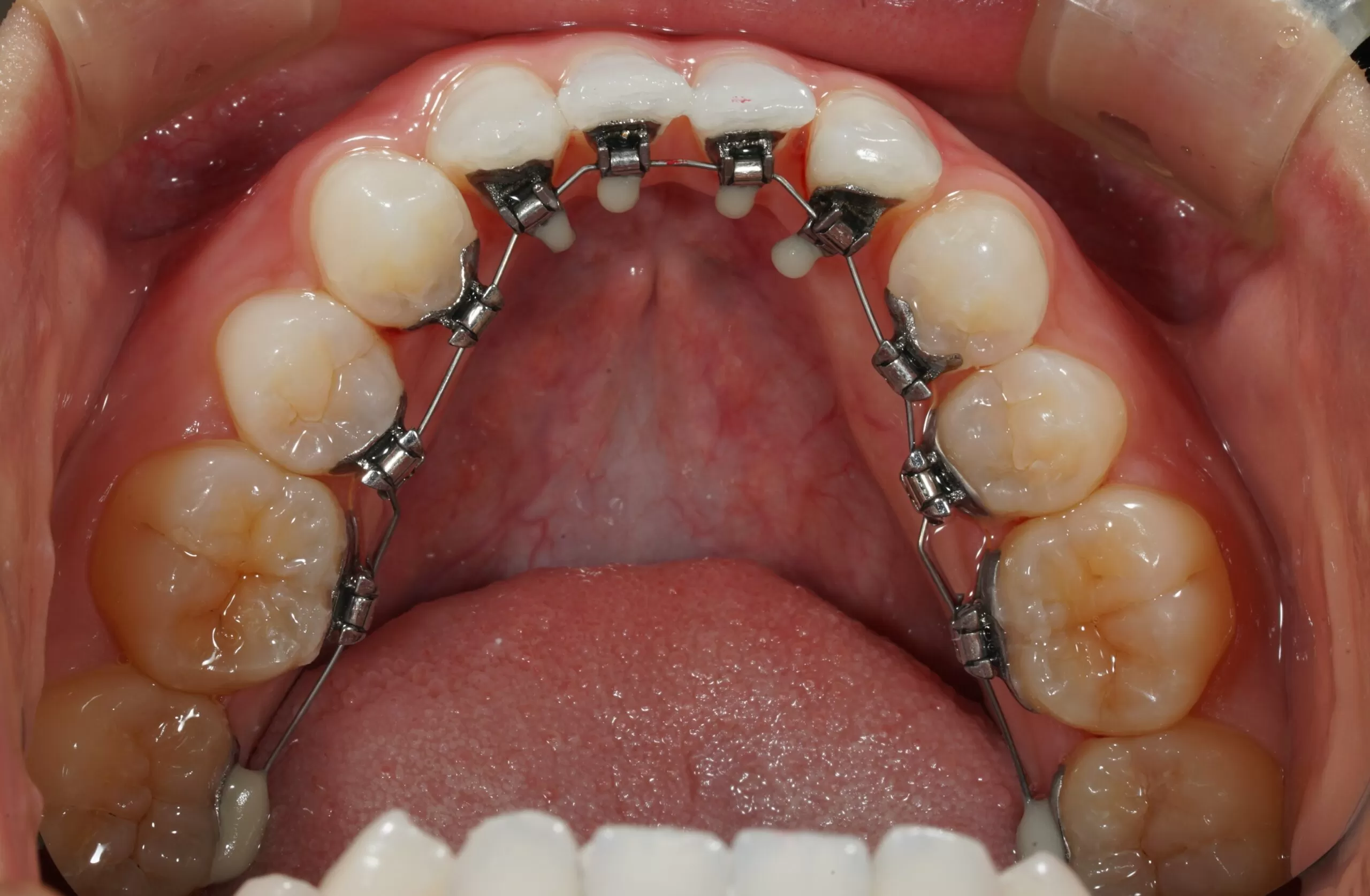
昨日のこの症例です。

上の二番目の歯が矮小歯、下の二番目の歯がありません。
奥歯を見ますと


奥歯のかみ合わせが1歯対2歯、下の前歯の本数より
上の前歯は本数が多いことになります。
つまりこのケースの正解は、前歯の本数を揃える、
ということがかみ合わせ上、都合がよいと考えられます。
そんなわけで抜歯部位は、


上顎の矮小歯2本だということです。
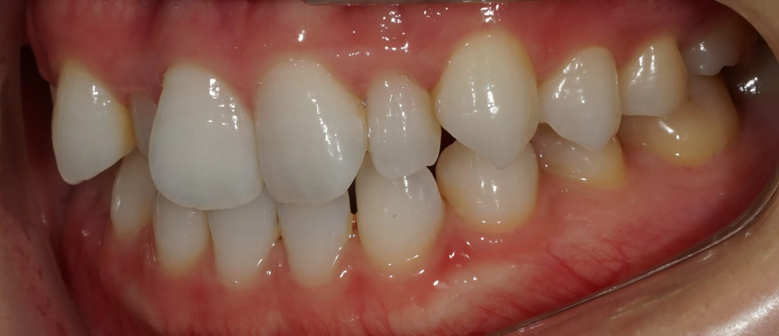
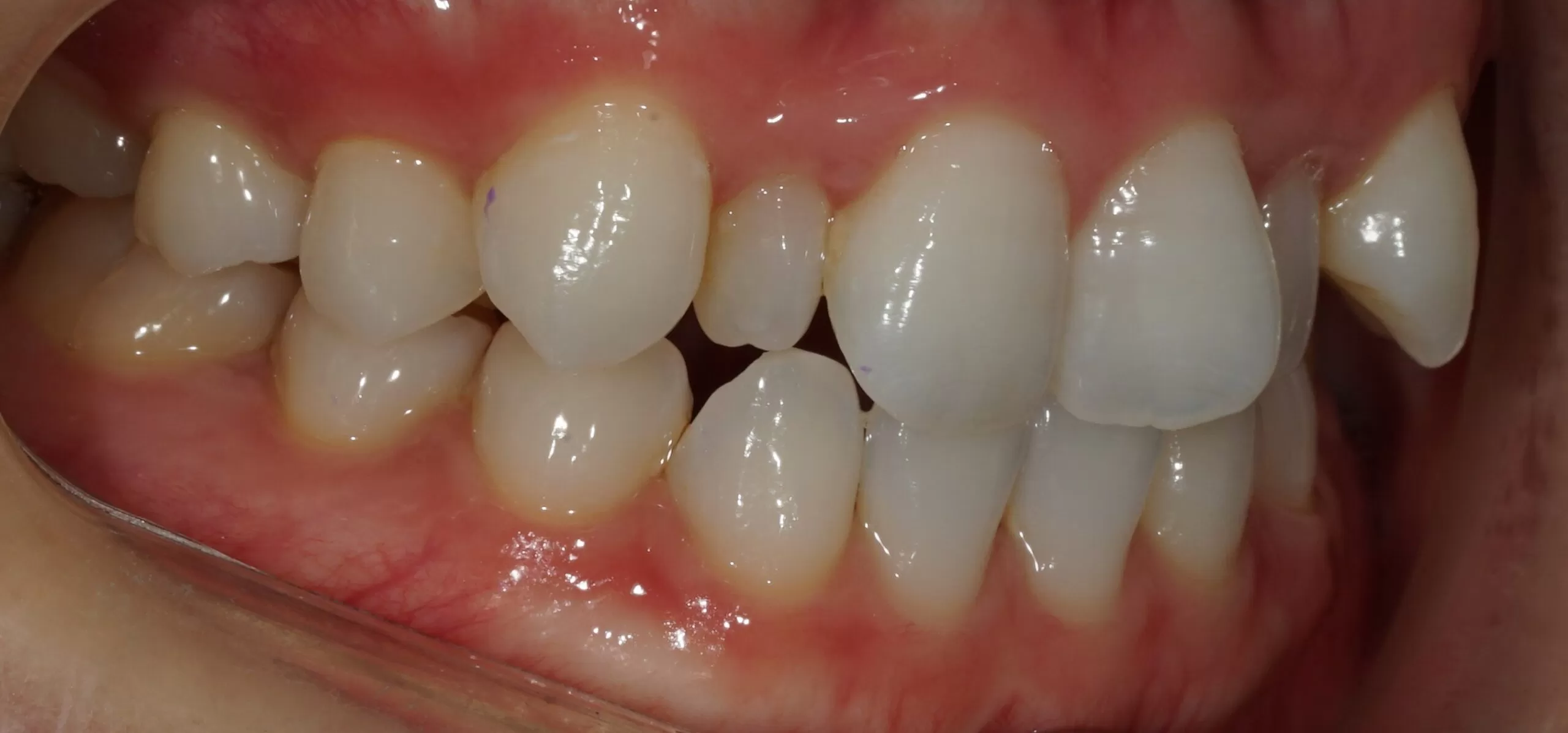
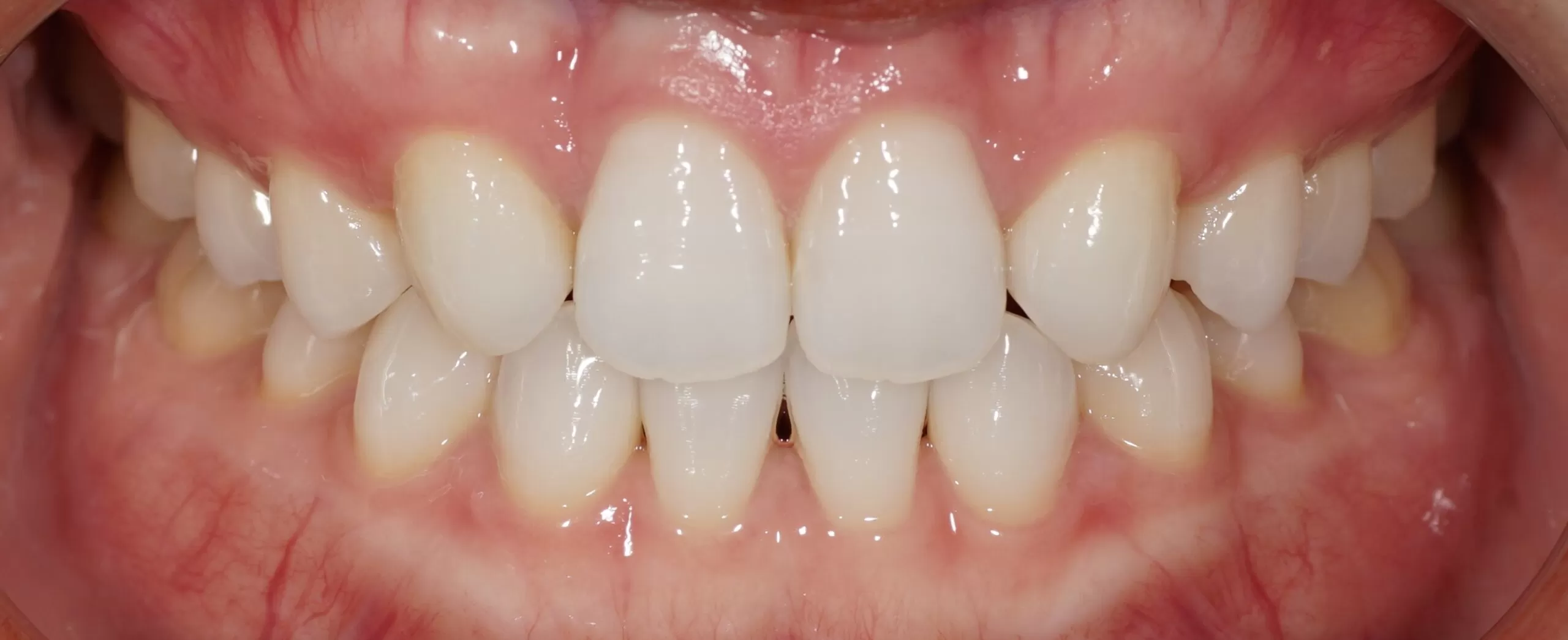
歯列矯正が終了した状態はこちら

マイルドに顎の位置が向かって右に回転していることがみえます。

こちらの欠点は2番目の歯が3番目となっているところです。
2番目の歯の形にしたければここからラミネートべニア処置です。


こちらの方は、気にならないとのことでしたので
これで終了。ご本人の満足が得れればそれでいいのです。

お口元の変化は引っ込むというよりも顎のラインが整いました。
| 裏側矯正(HARMONY) | ¥1,430,000(税込) |
|---|
