こんにちは、ワイズデンタルキュアです。

今日は、抜歯矯正の治療期間についてお話いたします。

このようなケースは当然ながら上下左右4番目の抜歯矯正ということになります。

さて、抜歯矯正の期間はどのくらいでしょうか?

よく聞く歯列矯正の期間は2年といいます。

この症例は3年半はかかっているのです。長いですか?

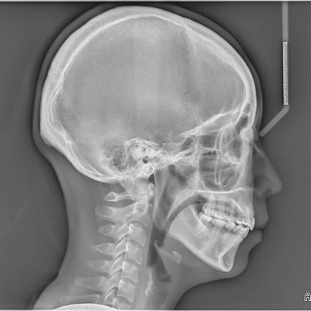
こちらをご覧ください。

かなりの前突と奥歯の噛み合わせの低下による、顎関節の圧迫が

見受けられる症例です。

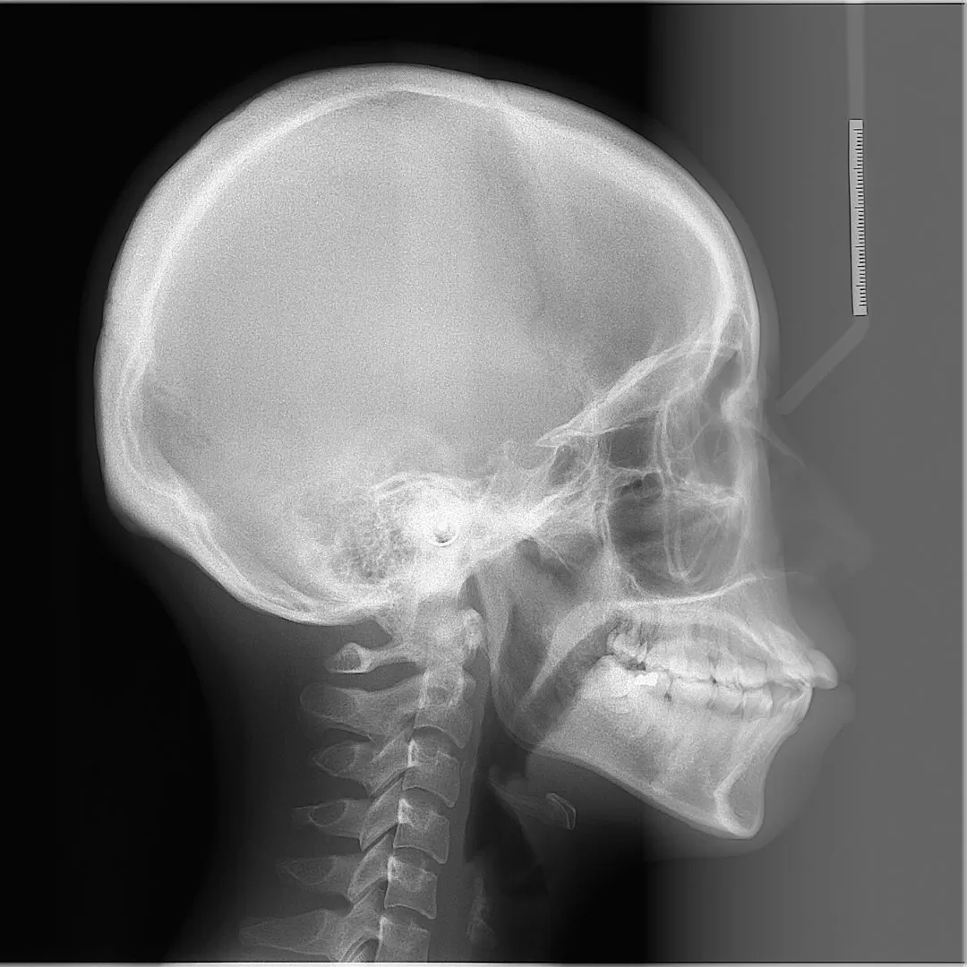
術後を見てください。

前歯がひっこんだ!というのは短絡的です。

当然、顔面の変化はかなりあったでしょう。

奥歯の噛み合わせの上昇がみられていること、

また噛む位置の変化がおきていることで、顎関節の正常化も

見られているのです。

顎関節の正常化はお顔の歪みの正常化につながります。

このように抜歯矯正が必要なケースは特に劇的な変化を

及ぼしますが、大事なのは

引っ込めるための抜歯 という2D感性ではなく

それぞれの歯の位置の並べなおし、という3Dの感性です。

2Dな歯列矯正は、つまり並べばよい歯列矯正は期間が短いです。

それこさ、1年半ということもあります。

3D歯列矯正は2Dの倍動く項目があるのです。

ですので、時間がかかるということになります。

当方が力をいれている、噛み合わせ、顎の位置、そして美しい歯並び

これらを作り上げるのは、並べるだけではない、噛ませるのです。

それが当方が時間をかけている理由です。

次回はもう一つの理由、ロストについてです。