【本当のマウスピース矯正】部分でできそうでも、全体で仕上げたほうがよいメリット【必見】
【矯正の精密検査は無料です
無料カウンセリングでご予約ください】
こんにちはワイズデンタルキュアです。
先日からマウスピース矯正についてお話をしております。
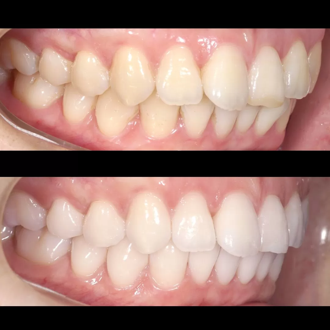
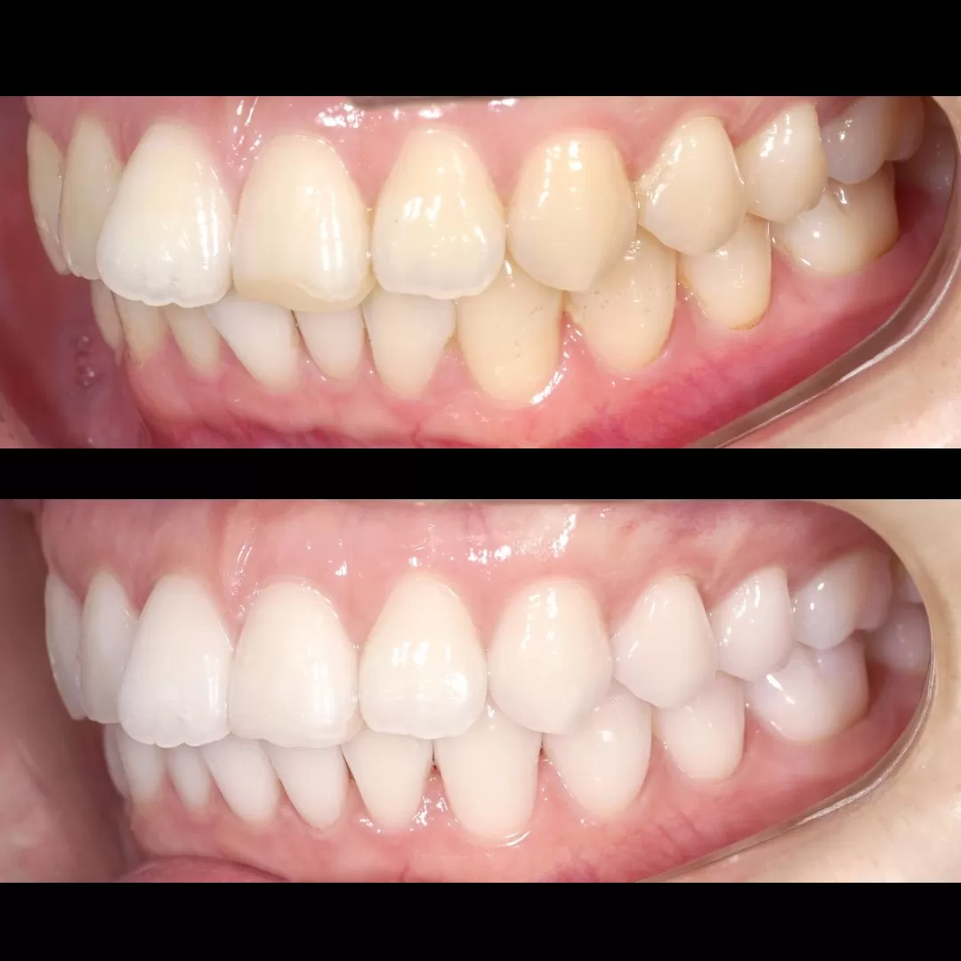
おさらいですが、マウスピース矯正は、拡大を利用して整うとお話しました。

このような、奥歯からの整いを利用すると
次のような変化がおきます。

まずは奥歯の噛む位置と上下の幅径が増えてその分、マイルドに
正中があってきます。
正中が合うという事は、顎の歪みもマイルドに整っているということです。
そうなんです、前歯の歪みは顔の歪みなんです。
歯の正中は絶対的に顎の真ん中ではないこともありますが、一つの目安として考えるといいのです。
特に美容整形的なシンメトリー感覚を基準にしては
いけません。
マイルドに、です。整体的感覚です。


上の前歯と並び方だけに目を取られないで
奥歯の角度や高さの変化を注視してください。
そう考えると、歯列矯正がマイルドではありますが、
顎矯正である側面も見えてきます。
大事なのは顎関節の位置も把握すること。
それはまたお話しします。
どうですか?前歯の歯並びをちょこっと治すのではなく
奥歯のせいで前歯が歪んでいるんだ、と考え直すことで
歯列矯正は無限の可能性にみちていると思いませんか?
これは一つのメリットです。
つづく
インビザライン コンプリヘイシブパッケージ 5年保証 精密検査治療毎調整料含む ¥1100000
